4月6日,经过24小时的留观治疗,孕妈妈何女士终于在家人的陪伴下平安出院了。回想起这短短一天时间的紧张、煎熬,以及常德市妇幼保健院产科医护人员对她的贴心照顾和用心服务,何女士一家内心都充满了感激之情。
时间回到前一天。4月5日上午,何女士起床后发现自己排尿困难,并且下腹持续性胀痛,在丈夫的陪同下,夫妻俩来到常德市妇幼保健院就诊。产科主任杨御华见何女士左手按着下腹部且面色痛苦,便优先接诊了何女士。经检查后怀疑是“尿潴留”,迅速开具了B超单并标明加急,第一时间为何女士安排了B超。经影像诊断科童立里副主任医师B超检查:膀胱过度充盈,子宫明显后倾后屈位,宫内见胎儿回声,胎心胎动存在。确诊子宫箝闭症。

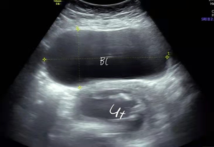
膀胱明显充盈表现细长,后方见妊娠子宫回声

子宫明显后倾后屈,宫颈细长
尿潴留是指膀胱内充满尿液而不能正常排出。按其病史、特点分急性尿潴留和慢性尿潴留两类。其中,急性尿潴留发病突然,膀胱内充满尿液不能排出,胀痛难忍,辗转不安,有时从尿道溢出部分尿液,但不能减轻下腹部疼痛。何女士的症状正属于急性尿潴留,且发病原因为子宫位置改变压迫膀胱颈导致尿液排出不畅,即子宫箝闭症,是产科急诊中罕见但又非常严重的并发症,发病率为 1/3000~1/10000。若未能识别或及时处理子宫循环障碍,可导致自然流产、早产、胎儿生长受限、甚至膀胱破裂、子宫破裂,胎儿损失率约 33%。

尿潴留缓解,子宫位置已转前位,宫颈远离尿道
尽管病因非常少见且病情凶险,但专家们还是凭借丰富的从医经验,迅速且精准地为患者找到了病根,并第一时间制定了治疗方案。当天上午,首诊杨御华主任为何女士插上导尿管,引流出500ml尿液后,何女士明显感觉疼痛缓解。随后,何女士被送往产科门诊观察及护理,夹闭后15分钟再次放出500ml尿液。观察半小时后,生命体征平稳,于下午再次引流出尿液1000ml,杨御华为其行手复位后在病房留观。4月6日,何女士顺利出院,杨御华嘱其行膝胸卧位一周,观察排尿情况,如有不适随诊。4月7日,经电话回访,目前何女士排尿正常,没有任何不适,母子平安。
常德市妇幼保健院专家提醒孕产妇,子宫箝闭主要为增大的子宫压迫周围脏器,不同孕周可表现不同临床症状。一旦妊娠期间出现逐渐加重的盆腔不适、下腹胀痛,排尿困难、尿频、尿急,反常性尿*禁失**,便秘,阴道流血、胎膜早破等症状,一定要及早就医,以免错过最佳治疗时机!