
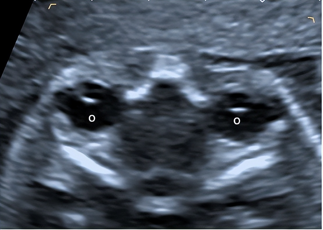
近期1.双眼球横切面
切面要求:同一平面上显示最大径线的双侧眼球(图1)。
观察内容:双侧眼球呈近圆形无回声,左右基本对称。

图1 孕23周双侧眼球横切面 显示双侧眼球(O:眼球)
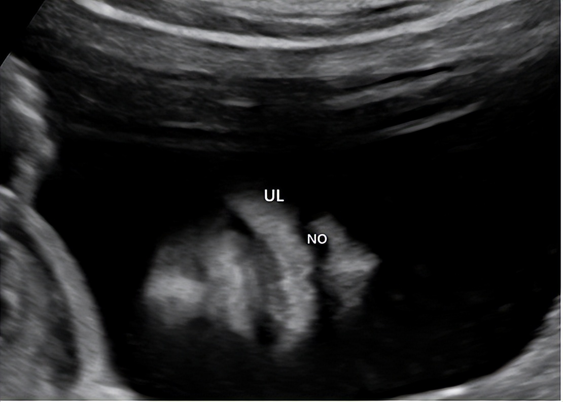
2.鼻唇冠状切面
切面要求:显示双侧鼻孔、上唇(图2)。
观察内容:双侧鼻孔对称,上唇连续。

图2 孕22 周上唇冠状切面 显示双侧鼻孔、上唇(NO:鼻孔;UL:上唇)
3.脊柱矢状切面
切面要求:显示脊柱全长及其表面覆盖的皮肤(图3),可以分段留存图像。
观察内容:脊柱呈自然生理弯曲,表面皮肤覆盖,椎体及椎弓排列整齐。

图3 孕23周脊柱矢状切面 A和B分别显示脊柱及其表面覆盖的皮肤(SP:脊柱;箭头所示为脊髓圆锥)
(摘自《超声产前筛查指南2022》)