一 一般资料
①吴某某,男,66岁
主诉:反复咳嗽咳痰3个月,间断咯血半个月
既往史:既往体健
体查:浅表淋巴结未扪及肿大,心肺腹可,双下肢不肿。
②相关检查:
三大常规、血生化、肿瘤标记物、凝血常规、DD2、ECG、心脏彩超均正常。
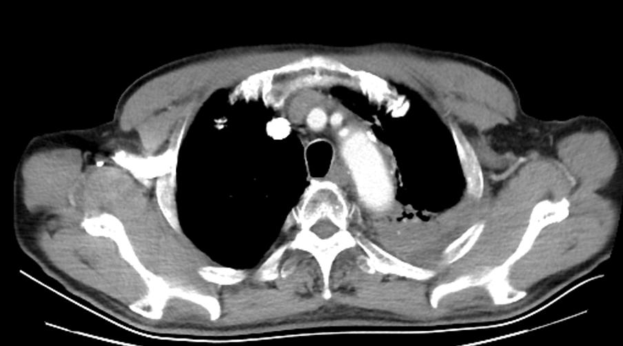
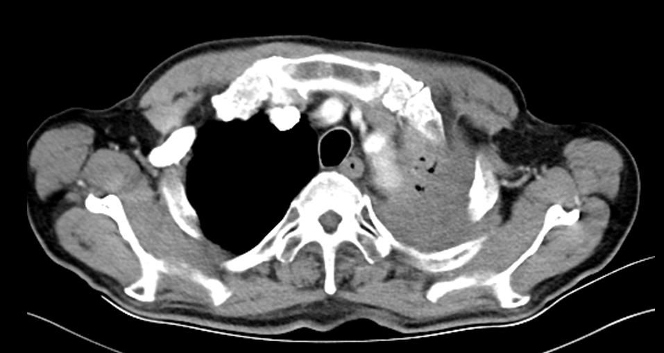
2019-10-16 胸腹部CT示:左肺上叶占位并周围阻塞性炎症、节段性肺不张,纵隔及双肺门多发小及增大淋巴结。肝内小囊性灶,建议增强扫描。考虑双侧壶腹型肾盂。前列腺増生、钙化。肠壁多发钙化:考虑血吸虫性肠道改变。

2019年10月17日支气管镜示:左肺:左上叶尖后前段开口见一菜花样新生物,致尖支、后支未现,前支开口隐约可见,予以该处新生物活检6次,送找病理细胞。病检示:鳞状上皮重度非典型增生,癌变。
2019-10-19 头部MRI示:多发腔隙性脑梗塞、轻度脑萎缩。
2019-10-20 骨扫描示:未见骨转移。
肺癌8基因检测示:未见突变。
二 治疗经过
①根治性放化疗:
2019年10月25日-2020年1月12日行4周期化疗:吉西他滨+顺铂
2019年11月3日行放疗:PTV 66Gy/33f,顺铂 60mg QW
放化疗副反应:Ⅱ-Ⅲ度CINV,Ⅰ-Ⅱ度放射性肺炎。
末次化疗后(2020年1月)疗效评价:CR

②一线治疗:
2021-09-29胸腹部CT示:检查结果左肺上叶占位并周围阻塞性炎症、节段性肺不张:较前进展,相应左肺上叶肺动脉受侵,纵隔及双肺门多发小及增大淋巴结,建议继续治疗及复查。支气管炎、肺气肿伴双肺多发肺大泡同前,右肺下叶少许炎症、右侧胸膜增厚同前,左测少许胸腔积液,建议复查。左侧第4肋骨质破坏,建议结合全身骨扫描。主动脉及部分冠脉钙化灶。左侧颈背部皮下囊性灶较前相仿,建议结合临床。肝内小囊性灶同前;前列腺増生、钙化。提示血吸虫性肠病,建议结合临床病史。

2021-09-28 (HC)头颅MRI平扫+增强检查报告:检查结果1、缺血性脑白质病变,改良Fazekas 1级;2、老年脑改变。
2021-09-30 骨扫描示:检查结果未见明显骨转移征象,建议3个月复查。
2021-10-2 行左上肺肿块穿刺活检,病理示:高-中分化鳞癌。PD-1/L1检测示:CPS 8%。患者拒绝再次行基因检测。
2021-10-10至2021-12-24行4周期治疗:紫杉醇脂质体+顺铂+信迪利单抗。治疗副反应:Ⅳ°骨髓抑制。
2022-1-20、2022-2-12行2周期化疗:紫杉醇脂质体 150mg D1 信迪利单抗 200mg D1,治疗副反应:治疗副反应:Ⅳ°骨髓抑制。
2022年3月至2022年5月在我科日间化疗室先后行2周期信迪利单抗治疗,治疗副反应:无。
末次治疗疗效评价:PD

三 讨论
该患者为ⅢB期驱动基因阴性肺鳞癌老年患者,自2019年10月确诊后行根治性同步放化疗及4周期GP方案化疗,疗效评价为CR,PFS达2年。一线治疗行TP方案联合免疫治疗(信迪利单抗)治疗4周期,因Ⅳ°骨髓抑制,改行紫杉醇紫质体(剂量减少25%)联合免疫维持治疗2周期,又因Ⅳ°骨髓抑制,停用紫杉醇紫质体化疗,行信迪利单抗免疫维持治疗2周期,患者疗效评价为进展(PD)。考虑患者为周围型肺鳞癌且化疗难以耐受,二线治疗拟改行安罗替尼联合信迪利单抗治疗,另外完善肺癌常见驱动基因检测。