1,Nature重磅成果!科学家在自闭症小鼠模型中实现社交行为恢复
来源:小柯生命

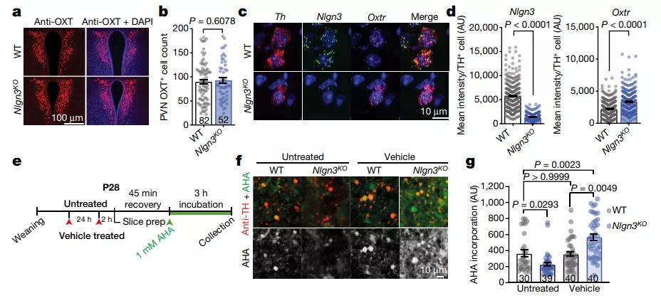
瑞士巴塞尔大学Peter Scheiffele小组在自闭症小鼠模型中实现催产素反应和社交行为的恢复。研究成果于2020年8月5日在线发表在《自然》上。
研究人员发现,突触粘附分子Nlgn3中的自闭症相关突变会导致多巴胺能神经元的催产素信号转导受损,并改变小鼠对社交新鲜感测试的行为反应。用一种新的、高度特异性的脑渗透性MAP激酶相互作用激酶*制剂抑**治疗Nlgn3基因敲除小鼠,可重置mRNA的翻译并恢复催产素信号转导和社交新鲜感反应。因此,这项工作确定了遗传自闭症危险因素Nlgn3、翻译调节和催产素信号之间的关联。
阅读链接:
Nature重磅成果!科学家在自闭症小鼠模型中实现社交行为恢复
2,Neuron:精准定位!确定使人体生物钟正常运转的细胞
来源:中国生物技术网

8月8日,发表在《Neuron(神经元)》上的一项新研究中,来自美国德克萨斯大学西南医学中心(UTSW)的研究团队开发了一种生物发光的昼夜节律基因工程小鼠和相关成像系统,可以使小鼠细胞的生物钟波动可视化。这让我们对哪些脑细胞在维持人体生物钟中的重要作用有了新的认识。该团队表示,这种方法也可以广泛用于解答有关全身细胞日常节律的问题。
阅读链接:
Neuron:精准定位!确定使人体生物钟正常运转的细胞
3,Nature | 异常扩增的串联重复序列或能解释自闭症发病机制
来源:BioArt

7月27日,加拿大安大略省多伦多市儿童医院的Ryan K. C. Yuen课题组在Nature上发表题为“Genome-wide detection of tandem DNA repeats that are expanded in autism”的文章。
在文中,作者通过整合来自自闭症家系和对照人群的17231个基因组,分析其基序为2-20bp的串联重复序列的全基因组特征,从而确认串联重复序列的扩增与自闭症的遗传病因和复杂表型之间的强相关性。这项研究代表了ASD遗传学领域的重大进步,鉴定出先前使用常规基因组分析方法未能识别的含串联重复序列扩增的许多基因,并提供其序列异质性,基因组分布,遗传风险,以及分子通路相关信息。
阅读链接:
Nature | 异常扩增的串联重复序列或能解释自闭症发病机制
4,Cell子刊:上海免疫所梁启明团队等揭示寨卡病毒导致小头畸形的新机制
来源:Bio生物世界

寨卡病毒C蛋白抑制Dicer加工活性,抑制RNA干扰系统并最终导致小头畸形示意图
8月6日,上海交通大学医学院上海市免疫学研究所梁启明课题组联合美国南加州大学医学院赵振课题组在 Cell Stem Cell 杂志上发表了题为:The Zika Virus Capsid Disrupts Corticogenesis by Suppressing Dicer Activity and miRNA Biogenesis 的探究论文。
该研究表明,寨卡病毒C蛋白(Capsid protein)能够和Dicer酶相互作用从而抑制Dicer的miRNA的加工活性,尤其是抑制了一些神经发育相关的miRNA的产生,最终抑制神经发生并导致小头畸形。
阅读链接:
Cell子刊:上海免疫所梁启明团队等揭示寨卡病毒导致小头畸形的新机制
5,体重对大脑功能的影响是惊人的
来源:阿尔茨海默病

根据8月4日发表在《阿尔茨海默病杂志》(Journal of Alzheimer’s Disease)上的一项新的大脑成像研究,当一个人的体重增加时,大脑所有区域的活动和血流都会下降。
作为肥胖与脑功能障碍有关的最大研究之一,科学家使用单光子发射计算机断层扫描(SPECT)对来自17,000多个个体的35,000多次功能性神经影像扫描进行了分析,以测量脑血流量和大脑活动。脑血流量低是预测一个人患阿尔茨海默病的头号脑影像学指标。它还与抑郁症、注意力缺陷多动症、躁郁症、精神分裂症、脑外伤、成瘾、自杀和其他疾病有关。
从体重过轻、正常体重、超重、肥胖和病态肥胖的大脑中,几乎所有区域都发现了明显的逐渐减少的血流模式。这些都是在参与者处于休息状态和进行集中注意力任务时被记录下来的。特别是那些容易患阿尔茨海默病的大脑区域,颞叶和顶叶、海马体、后扣带回和楔前叶,被发现在从正常体重到超重、肥胖和病态肥胖的体重分类范围内血流减少。
阅读链接:
体重对大脑功能的影响是惊人的
6,慢性失眠患者血清交感神经活性标志物水平与睡眠质量和认知功能的相关性研究
来源:中华神经科杂志
研究探讨了慢性失眠患者血清和肽素、α-淀粉酶水平与睡眠结构和认知功能的关系。方法:连续收集2018年9月1日至2019年5月31日于安徽医科大学附属巢湖医院睡眠障碍科门诊就医或住院的慢性失眠患者57例,并收集同期于本院健康体检的正常睡眠者30名作为对照,采用匹兹堡睡眠质量指数(PSQI)、多导睡眠图和睡前觉醒状态量表(PSAS)评估其睡眠质量和失眠易患性,蒙特利尔认知评估量表(MoCA)和九盒迷宫试验评估其总体认知功能和记忆。血清和肽素和α-淀粉酶含量分别用酶联免疫吸附法和比色法测定。
研究结果表明,慢性失眠患者血清和肽素和α-淀粉酶水平升高,且和肽素与慢性失眠患者的起始睡眠困难相关,但与认知水平无关。
阅读链接:
【认知障碍】慢性失眠患者血清交感神经活性标志物水平与睡眠质量和认知功能的相关性研究
7,柳叶刀子刊:失眠新疗法可有效改善睡眠状况,降低睡眠药物依赖
来源:生物探索
最近,《柳叶刀-数字健康》发布的一篇研究报告为广大失眠人士改善睡眠状况指明了方向。挪威科技大学的一支研究团队首次发现,线上进行的数字化认知行为疗法(dCBT-1)不仅能够有效减轻失眠症相关症状的严重程度,而且有助于降低患者对睡眠药物的依赖性,改善患者身心健康。
阅读链接:
柳叶刀子刊:失眠新疗法可有效改善睡眠状况,降低睡眠药物依赖
8,美国科学家挑战学习普通话:一款无创刺激神经的耳塞设备,让语言学习效率提高13%
来源:DeepTech深科技

语言刺激设备的电极
匹兹堡大学和加州大学旧金山分校(UCSF)的神经科学家进行的新研究表明,UCSF 开发了一款简单的类似耳塞的设备,可以通过刺激通关键神经,从而显著提高佩戴者学习新语言的能力。研究发表于 8 月 6 日的《自然》杂志合作期刊《学习科学》(npj Science of Learning)。
研究人员使用了一种称为经皮迷走神经刺激(tVNS)的非侵入性技术,在外耳中放置了一个小型刺激器,并且可以通过微弱电脉冲刺激迷走神经。迷走神经属混合性神经,是人的脑神经中最长和分布范围最广的一组神经,含有感觉、运动和副交感神经纤维。研究人员通过精确实时的无创刺激迷走神经,大大提高了以英语为母语的人区分普通话音调的能力。
阅读链接:
美国科学家挑战学习普通话:一款无创刺激神经的耳塞设备,让语言学习效率提高13%
前文阅读
1,脑科学日报:为什么胖人通过节食减肥很困难?充足睡眠改善记忆力
2,脑科学日报:“乙酰辅酶A”可逆转衰老;维生素D不能预防抑郁症