心脑宁胶囊是临床常用于治疗冠心病、脑供血不足的常用中成药之一,临床疗效表明其具有活血行气,通络止痛的作用, 可以显著改善心脑血管功能,从而有效治疗冠心病、脑梗死、脑供血不足等多种心脑血管疾病,但临床上有很多患者对于本药的适应症不熟悉,导致没有对症下药,导致药效不佳,因此今天就和大家聊一聊这款大品牌的中成药。

冠状动脉粥样硬化性心脏病,临床也被称为冠心病、缺血性心脏病等,是临床常见的心血管疾病之一,其本质是由于冠状动脉粥样硬化导向血管管腔变窄或者阻塞,从而导致心肌供血、供氧不足而诱发的心脏病。冠状动脉粥样硬化性心脏病好发于中老年人,根据统计我国70岁以上老年人中有60%以上有不同程度冠状动脉粥样硬化,而长期的供血不足会导致心脏损伤,诱发心肌梗死、慢性心衰、心律失常等多种疾病,危险老年人的健康。

临床是针对冠心病的防治是采取抗血小板聚集药联合降脂稳定斑块药作为二线防护,常用的药物包括阿司匹林、氯吡格雷、阿托伐他汀等,这些药物对预防冠心病的加重和发作具有重要意义,但是也有很多人不能耐受药物的副作用,从而求助于中医药,其中心脑宁胶囊就是临床常用于防治冠心病的中成药之一,临床研究表明其可以改善冠状动脉的硬化程度,减轻心肌缺血,从而有效缓解冠心病患者的临床症状,预防疾病加重,同时临床也被用于治疗脑动脉供血不足、脑梗死等多种脑血管疾病,今天就和大家聊一聊这款中成药。
一、中医对于冠状动脉粥样硬化心脏病的认识

中医临床上将冠状动脉粥样硬化心脏病归于心悸、心痛等疾病的范畴,中医认为其病位在于血脉,主要的病因病机是由于气机郁滞、瘀血内停或痰浊中阻,从而导致血脉闭塞、气机不畅,久而久之导致血瘀内停,血脉闭阻,因此中医临床上常将其归于血瘀证的范畴,并且将活血化瘀作为治疗冠状动脉粥样硬化心脏病的主要原则。
二、心脑宁胶囊的组成和作用
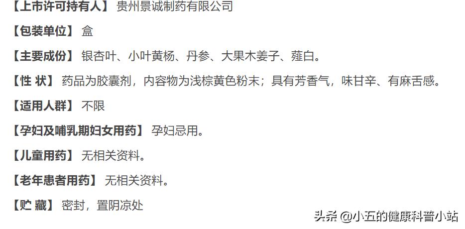
心脑宁胶囊是由银杏叶、丹参、黄杨、薤白、大果木姜子等5味中药组成,活血行气并重的特点,具有活血行气,通络止痛的功效,临床主要治疗气滞血瘀型的胸痹、头疼、眩晕等疾病。
君药

全方以银杏叶为君药,具有活血行气、通络止痛的作用;
臣药

丹参为臣药,主以行气活血,化瘀通络,凉血消痈,可以助君药以活血化瘀;
薤白为臣药,具有行气通络,化瘀散结的作用,可以助君药行气活血;
佐药
黄杨为佐药,具有祛风除湿、活血通络、行气止痛的功效,加强君药和臣药的作用;
大果木姜子为佐药,具有活血定痛的功效,可以迅速缓解冠心病患者的临床症状。
三、心脑宁胶囊的药理学研究
药理学研究表明心脑宁胶囊中含有银杏内酯、银杏酮酯、丹参酮、大果木姜子油等数十种活性物质,这些物质对于改善血管功能,减轻血管硬化具有多重作用,是心脑宁胶囊可以有效治疗多种心脑血管疾病的基础。
1、减轻粥样硬化,改善血管状态

动物研究表明心脑宁胶囊可以有效改善冠状动脉粥样硬化模型大鼠的血管状态,降低其动脉硬化的指数,同时可以减轻粥样硬化斑块的大小,从而有效改善血管供血,改善对于心肌细胞的营养,维持心脏功能。
2、提高心肌耐受力,保护心脏功能

相关研究表明心脑宁胶囊可以提高心肌细胞对于缺血缺氧的耐受性,降低心肌的耗氧量,同时可以增强心肌的供能,增加心肌供血,从而有效保护心肌细胞完整,维持心脏供能。
3、保护血管,改善微循环
心脑宁胶囊对于血管内皮细胞具有保护作用,可以减轻动脉粥样硬化对于血管壁的损伤,保持血管完整性,从而改善心脏、大脑等多处器官的微循环;其次,心脑宁胶囊具有一定的抗凝作用,可以抑制血栓或者粥样硬化斑块的形成,保证血管通畅。
四、心脑宁胶囊的临床应用
心脑宁胶囊中医临床用于治疗气滞血瘀型的胸痹、头疼等疾病,这种证型的临床表现多为胸闷刺痛,心悸不宁,头晕目眩等,现代研究表明心脑宁胶囊可以有效治疗下列疾病。
1、冠状动脉粥样硬化性心脏病

临床研究的结果表明心脑宁胶囊可以有效防治冠状动脉粥样硬化性心脏病,改善患者的胸闷、心慌、胸痛等临床症状,同时可以改善患者预后,减少心绞痛的发作次数,临床可与阿司匹林、阿托伐他汀等二线药物联合使用,其被收录于《中成药治疗冠心病临床应用指南(2020年)》等指南中。
2、脑动脉供血不足

临床研究结果表明对于存在脑动脉供血不足的患者,心脑宁胶囊可以快速透过血脑屏障,改善椎动脉和基底动脉的供血,同时可以促进大脑微循环,改善大脑供血,从而有效减轻患者头晕、头痛等临床表现。
3、脑梗死

临床研究表明心脑宁胶囊可以用于治疗脑梗死恢复期和后遗症期,可以有效改善脑梗死患者的临床症状,加快其运动功能和语言功能的恢复,并且可以改善其记忆力和协调性,从而尽可能的恢复脑梗死患者的生活能力。
4、颈动脉粥样硬化

临床上在常规治疗的基础上加用心脑宁胶囊,可以稳定颈动脉粥样硬化斑块,降低其破裂的风险,促进斑块硬化和消解,从而有效改善颈动脉的供血状态,改善大脑供血,同时降低血栓脱落的风险,对于预防中风、心肌梗死具有重要作用。
五、使用心脑宁胶囊的注意事项
1、心脑宁胶囊属于中成药,其主要针对的是气滞血瘀型的心脑血管疾病,对于其他证型的疾病治疗效果不明,因此建议需要的患者在医生指导下用药;
2、孕妇和哺乳期妇女禁用;
3、药物过敏者禁用;
4、具有一定的抗凝效果,与抗血小板聚集药联用时要注意定期监测凝血功能;
5、常规服用方法:口服,一次2-3粒,一日3次。
六、心脑宁胶囊的循证建设

心脑宁胶囊是2002年上市,目前是国家药品目录的乙类中成药,2015年被收录于《中国药典》。相较于麝香保心丸、速效救心丸等经典中成药而言,心脑宁胶囊的循证证据是不足的,特别是上市后的大样本再评价研究相对缺乏,这导致其未能被相应的临床指南收录。其次,心脑宁胶囊的安全性评价相对缺乏,例如不良反应、禁忌症、禁忌人群等关键信息缺失,因此未来需要大量数据对其安全性进行客观评估。
七、聊一聊对心脑宁胶囊的感受
心脑宁胶囊的开发和上市较早,因此许多临床证据和研究的时间较早,但是后期的上市后再评价研究没有能够跟上,导致缺乏大样本、高质量的临床研究证据,因此未来需要更多证据对心脑宁胶囊的安全性和有效性进行证明。
#心健康信科普#