丁香诊所:聂顺利
类风湿关节炎(rheumatoid arthritis, RA)是最常见的炎性关节病之一。世界范围内的患病率约1%,不过中国只有0.36%。随着类风湿关节炎(RA)诊疗的进步,过去经常看到的关节破坏、关节功能下降、甚至残疾的情况在减少。

严重畸形的RA

严重畸形,功能丧失的RA
类风湿关节炎(RA)不仅仅是损伤关节!一项1994年的研究对3501例RA患者进行了最长达35年的随访,发现死亡率增加至2倍,寿命缩短了7-10年。发生过早死亡的机制包括:心脏病、淀粉样变性、因颈椎不稳定导致的脊髓横断损伤、以及肺损伤的呼吸衰竭。当然这一切也与共存疾病有关,特别是心脑血管疾病、感染、淋巴瘤、以及胃肠道出血。
因此,RA治疗的目标不仅仅是消炎止痛、关节保护,更重要的是重要脏器的保护。而最关键的脏器是:
-
1,呼吸系统
-
2,肾脏
-
3,心血管
-
4,神经系统
那么后面我就对4个脏器损伤的特征、如何保护来讨论。
一,呼吸系统
不同类型RA相关性呼吸系统疾病的患病率难以估计。针对不同人群会有不同结果,例如病程早期与完全病程、住院病人与门诊病人,甚至有矿区或特定职业史等。采用不同方法也有很大影响,例如采用肺功能分析、胸片到高分辨率计算机断层扫描(high resolution computed tomography, HRCT)。最后,很多患者的疾病呈亚临床表现,可能会使确切流行病学评估进一步复杂化。
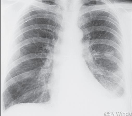
RA所致的胸膜病较为常见。但其通常为亚临床性疾病。例如,尸检研究发现38%-73%的RA患者存在胸膜疾病,而这些受累患者中仅有5%-21%曾主诉胸膜炎表现,仅有刚超过5%存在胸腔积液的放射学证据。所以,RA所致胸膜病变往往影响并不大。

RA的胸膜病变,也可看到类风湿结节、弥漫性肺间质病变
而RA的呼吸系统损伤里最影响患者生活质量和预后的是:间质性肺疾病(interstitial lung disease, ILD)、闭塞性细支气管炎(obliterative bronchiolitis, OB)、药物反应和感染。
导致ILD的危险因素是:更严重的RA病情、抗环瓜氨酸化肽抗体(ACPA)阳性、男性、年龄较大和吸烟。最简单有效的措施是戒烟、避免二手烟。多数的RA所致的ILD发生在50岁后的病人。但症状往往是隐匿起病,最初仅仅表现为劳力性呼吸困难和干咳。由于关节病变可限制患者的运动,所以劳力性呼吸困难的发现可能延迟。虽然医生检查时可以听到双肺底爆裂音,但没有的患者不意味着没有ILD。高危患者定期行胸部HRCT、肺功能检查都是必要的。

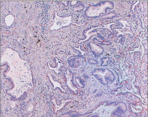
RA所致肺间质病变的活检表现
闭塞性细支气管炎( OB):常可致命的罕见疾病,特点为膜性细支气管呈进行性向心性狭窄。OB更常见于女性及类风湿因子检测阳性者。通常表现为急性发作的呼吸困难和咳嗽。起病迅速度和症状严重性往往不符合其他大多数肺病的特点,因此应怀疑此诊断。一般不会出现提示机化性肺炎的表现,包括:发热、体重减轻和不适。体格检查结果包括:吸气性爆裂音和典型的吸气中段吱吱声。HRCT可能会发现支气管壁增厚、小叶中央型肺气肿、有马赛克征的低衰减区域,以及支气管扩张。

RA相关的OB(图片来源见注解4)
RA相关的肺部病变还有:上呼吸道梗阻、支气管扩张、肺内类风湿结节等。因此,针对高危、及有肺部症状的病人予以筛查是必要的。为减少RA相关的肺部感染风险,所有RA病人应接种肺炎链球菌疫苗和流感疫苗等;
二,肾脏受累
RA对肾脏的直接相对少见。如局灶性肾小球肾炎(通常为系膜增生型肾炎)、膜性肾病和类风湿血管炎肾损伤;少数长期炎性病变的患者可出现(继发性)淀粉样变性。
但是,由于RA治疗时长用到一些肾毒*药性**物,例如NASID、环孢素、金制剂和青霉胺等。再考虑到RA治疗的心血管风险,因此RA相关的慢性肾病并不少见。心血管、肾脏的互为一体,这类治疗带来的副反应最终增高RA患者的远期死亡率。

警惕环孢素的肾毒性
三,心血管系统受累
RA患者中粥样硬化性冠状动脉疾病(coronary artery disease, CAD)的患病率显著增加。已很明确,RA患者的过早死亡风险显著增加。而这主要是由于心血管疾病,特别是CAD所致。
RA的慢性炎症促进动脉粥样硬化的发生。可能是细胞因子、免疫复合物、C反应蛋白(CRP)水平升高、内皮功能紊乱或罕见情况下冠状动脉血管炎所介导的作用的结果。治疗RA时用到糖皮质激素,非甾体类抗炎药(NSAIDs)和选择性环氧合酶-2(COX-2)*制剂抑**等抗炎药可能促使冠脉血栓形成的风险增加。

RA增高CAD风险,而CAD带来缺血性心脏病
一般人认为,RA所致的心脏死亡根源是CAD带来的缺血性心脏病风险。多个研究证实,校正年龄、性别、已知心血管危险因素和有无缺血性心脏病之后,RA仍直接增加心力衰竭(heart failure, HF)风险!这可能是由于RA带来的炎症除损伤冠脉外,也可直接损伤心肌细胞。治疗RA的一些药物具有类似效果,比如糖皮质激素、非甾体消炎药。这些药物可增加血容量、促进血管硬化、增加心脏后负荷等方式增高HF风险。
尤其需要提到的是靶向TNF-α*制剂抑**、抗IL-6的使用可能与心力衰竭相关。其具体机制可能较为复杂。但医生应该保持足够警惕。

心衰症状

心衰的心脏改变,来源见5
为改善RA患者的长期预后,风湿科医生应该从一开始即考虑到做相关风险评估和筛查。包括血压、血脂、心脏功能等。在使用TNF-α*制剂抑**、抗IL-6时高度警惕心功能衰退风险,定期行心脏功能评估是必要的。同时应避免高剂量TNF-α*制剂抑**、抗IL-6。
四,神经系统
RA对神经系统损伤的主要机制:
1,类风湿滑膜炎和血管翳可能会压迫或侵害相邻结构(包括脊髓和外周神经),导致脊髓病变、神经根病变和卡压性神经病变。
2,类风湿血管炎可能导致缺血、梗死或出血,这些最终可能导致短暂性脑缺血发作(transient ischemic attack, TIA)、脑卒中、四肢瘫或下肢轻瘫。
3,RA慢性心血管损伤带来的卒中风险增高。
随着RA治疗的进步,前两者的情况逐渐减少,RA的房颤、脑血管硬化等等所致卒中成为主要表现形式。控制RA病情的同时,应该考虑到对神经系统的保护。
总结:
类风湿关节炎(rheumatoid arthritis, RA)是一个全身受累的疾病。医生不应局限对RA的关节保护,应从患者整体情况出发,做好RA患者的全面保护,减少治疗副反应,达到全面改善RA患者预后的目的!
注解:
1,《KELLEY & FIRESTEIN’S Textbook of Rheumatology》(第10版)
2,《Rheumatology》(第6版)
3, uptodate文献数据库
4,摘自欧洲呼吸病学会网站:http://erj.ersjournals.com/content/17/6/1294
5,摘自:http://www.fairview.org/HealthLibrary/Article/82055ZH