说起深覆合,可能你会有点懵,这名词太专业了。但要提起“龅牙”,相信你脑海里会立马浮现出龅牙的形象。
相较于“地包天”,“天包地”——深覆合真的是非常“安静”。
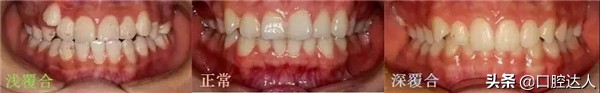
【恒伦口腔】提示:深覆合指的是上前牙切缘盖过下前牙牙冠长度1/3以上,或下前牙咬合于上前牙舌侧1/3以上,也就是“在垂直方向上,上下门牙重合的部分超过牙长的1/3”了。

从正面来看,似乎下门牙被上门牙遮住了很多,甚至完全露不出来。
这是一种前牙及前牙槽高度发育相对或绝对过度,后牙及后牙槽高度发育相对或绝对不足导致的错颌畸形,简单来说就是“前牙太长了,后牙太短了”。

【造成深覆合的原因有哪些呢?】
常见的原因有:
①遗传,上颌骨或者下颌骨的发育问题;
②后面磨牙的倾倒、锁合或者过度的磨耗,使得垂直距离降低了;
③不良的口腔习惯;
④乳磨牙早失。
有这种错颌畸形的人群正面看面部呈凸面型,自然状态下双唇不能闭合,开唇露齿,可能还会出现一笑就露牙龈的现象。侧面看,下巴可能会后缩,更加重了嘴突的情况。

除了美观,深覆合还会大大增加颞下颌关节紊乱、颈椎融合等疾病发生的可能性,严重的还可能出现上气道的狭窄,威胁着全身健康。
【深覆合的牙齿与面型的“独特”表现】
有些深覆合的面型表现很“独特”,有时甚至靠“脸”就能看出这个人有没有深覆合。比如:
方面型的脸型:闭锁性深覆合
这种深覆合的上前牙是直立的,而下颌(就是下巴)是后缩的。
如果有闭锁性深覆合的人,脸型是方面型,脸部下方1/3的高度会较短。
这类人的下嘴唇会外翻,上嘴唇看起来很短。
凸面型的脸型:龅牙
这是我们比较熟悉的龅牙。有龅牙的人,上排的前牙向嘴唇方向倾斜,下排前牙也会比一般人的长。
从正面看上去,有龅牙的人嘴唇是打开的,总是露出牙齿,如果要他们把嘴唇闭上,会有困难。
从侧面看上去,他们的下巴往后缩,而上嘴唇会往前凸。面型很突。
【深覆合会带来哪些危害?】
深覆合毁掉的不仅仅是一个人的颜值,还有牙齿。
1.深覆合经常导致上排和下排前牙拥挤,上排前牙直立而且往内倾斜,也会导致牙齿咬合紊乱等。
2.严重闭锁型深覆合,会经常咬伤上排前牙靠上颚一侧的牙龈或下排前牙靠嘴唇一侧的牙龈,从而引起急性、慢性牙周炎,甚至会造成牙床(牙槽骨)吸收,牙齿松动等。
3.深覆合会导致下排前牙的切端(切缘)被过度磨耗。
【深覆合要怎么办呢?】
一般来说,深覆合可以通过牙齿矫正来解决,通过压低前牙或者升高后牙使牙齿建立正常的咬合关系。
在接受牙齿矫正后,很多深覆合的问题得以解除或改善。在矫正后,牙齿建立了正常的咬合关系,也不怕咬破自己的上牙龈。
如果你发现牙齿因深覆合出现了牙齿磨损、咬破上牙龈、关节损伤......
如果你怀疑自己也有深覆合,不要慌,可能还有救!先询问下医生,看是否还能矫正,早发现早治疗。