原发性纵隔肿瘤的CT诊断

纵隔定义
纵隔是一个腔隙,前为胸骨、后为胸椎,两侧为纵隔胸膜,上连颈部,下止于膈肌。
纵隔解剖
纵隔内有:心脏、大血管、食管、气管、神经、胸腺、胸导管等。
纵隔分区
纵隔九分法:
- 上中纵隔分界线:胸骨柄体交界处到第四胸椎下缘连线
- 中下纵隔分界线:胸骨体第四前肋端水平到第八胸椎下缘连线
- 前中纵隔分界线:心脏、升主动脉和气管前方
- 中后纵隔分界线:食管前缘

肿瘤好发部位图示

胸内甲状腺分类
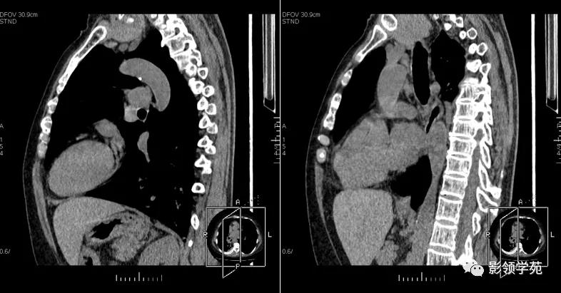
1、胸骨后甲状腺肿:为颈部甲状腺在胸腔内的延伸,因甲状腺自身的重力或其内病变的重力,使其逐渐下坠,至胸廓入口时受到胸腔内负压的吸引作用,使甲状腺部分或完全坠入胸骨后间隙。此类占大多数。
2、真性胸内甲状腺:与颈部的甲状腺仅有血管及纤维相连,或者无任何相连。无任何相连的胸内甲状腺是因胚胎时期残留在纵隔内的甲状腺组织,逐渐发展为甲状腺肿而形成,又称异位胸内甲状腺。
一、胸内甲状腺
X线表现:
- 胸内甲状腺较小时,可无明显X线表现。
- 较大时常见征象有:上纵隔密度增高,纵隔影增宽,气管受压偏移等。
CT特征:
1、多数病灶与颈部甲状腺相延续,多位于气管前间隙,亦可伸入到气管及食道后方,冠状位及矢状位重建有利于显示连续关系。
2、肿块边缘较光滑,密度多不均匀,可见单发或多发低密度区,钙化较常见。
3、平扫CT值较高,增强后强化明显,且延迟较长时间。
4、多数病例纵隔内大血管及气管有推移表现。

矢状位重建显示更清晰

二、纵隔淋巴管囊肿
是一种先天性淋巴管畸形,囊肿壁内衬内皮细胞,内含淋巴液,增长缓慢。
CT表现:
上腔静脉后或气管旁见边缘光滑清楚的囊性肿块,内呈水样密度,囊壁菲薄,厚度均匀,增强扫描无强化。

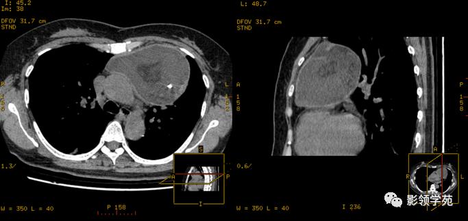
三、胸腺瘤
绝大多数发生在前纵隔,少数可发生于后纵隔或纵隔外,如颈部、胸膜及肺部。
病理表现:
1、良性多见。
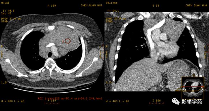
2、恶性少见:可侵犯胸膜、心包膜及纵隔内其他结构,故有人称之为侵袭性胸腺瘤,并可发生远处转移。
CT表现
1、圆形、卵圆形或分叶状软组织肿块,大小不一。
2、多数密度均匀,可有囊变、坏死、出血及钙化。钙化可呈点状、弧形或环形,对鉴别良恶性无意义。
3、增强扫描常均匀强化,囊变及坏死区无强化。
4、恶性征象:侵犯邻近结构,胸膜多发转移结节,胸腔积液,心包增厚或积液,远处转移等。
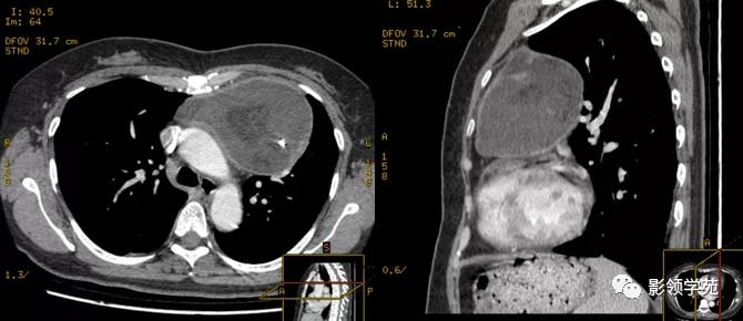
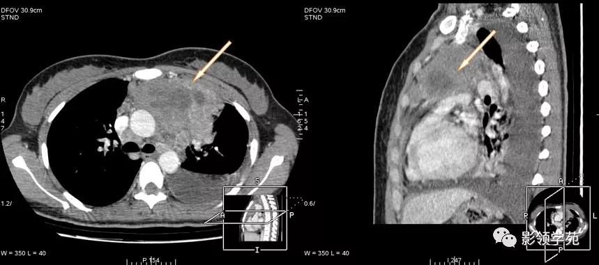
体检发现纵隔肿块


密度均匀,强化均匀
恶性胸腺瘤

穿刺证实恶性胸腺瘤,伴有纵隔淋巴结肿大
四、生殖细胞肿瘤
根据胚层来源可分为:
1、表皮样囊肿(外胚层)。
2、皮样囊肿(外、中胚层),囊性为主。
3、畸胎瘤(含内、中、外三层胚层组织),多为实体瘤。
纵隔生殖细胞瘤好发于青年男性,绝大多数发生于前纵隔,良性畸胎瘤占75%以上。
CT表现
- 良性畸胎瘤多表现为厚壁囊性肿块,其他前纵隔囊性肿块如胸腺囊肿、心包囊肿、淋巴水瘤等囊壁菲薄,有助于鉴别。
- 良性畸胎瘤另一特征表现为病灶内可见脂肪成分及钙化。肿块内出现脂肪特别是脂-液平面时对诊断良性畸胎瘤有特异性。
- 如病灶外缘不整齐,边界模糊,侵犯临近组织,需考虑恶性畸胎瘤。



- 纵隔恶性生殖细胞瘤相对少见,其中以精原细胞瘤最多见,好发于男性青少年。
- 发现时肿块常较大,多为分叶状,边缘不规则,极少含脂肪及钙化成分,如有出血及坏死可表现为密度不均匀,肿块与邻近结构间脂肪间隙消失,常侵犯或推压邻近器官。

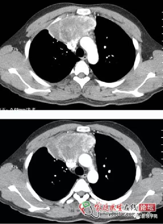
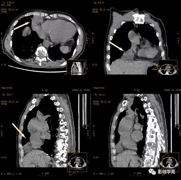
肿块周围脂肪间隙消失,与邻近结构分界不清

分叶状,边缘不规则,与邻近结构脂肪间隙消失
五、淋巴瘤
病理分型:
1、HL:临床上多见,以侵犯淋巴结为主,结外少见,常从颈部淋巴结开始,向邻近淋巴结扩散,文献上提及上纵隔受侵伴有胸内其他 淋巴结肿大者,90%是HL。
2、NHL:多为跳跃式,就诊时病变常已广泛,结外器官多已受累。其恶性程度较HL高,预后较Hl差。
CT表现:
1、可以融合成块,也可以散在存在,常累计相邻多组淋巴结,淋巴结境界较清晰,如有结外浸润可边缘模糊不清。
2、淋巴结的侵犯和分布以前纵隔和气管旁组最常见,其次为气管与支气管组和隆突下组,后纵隔、纵隔下部、心旁组和胸骨后组较少见。
3、常侵犯两侧纵隔或肺门淋巴结,且呈对称性,很少单独侵犯肺门淋巴结。
4、明显增大的淋巴结,特别是融合成团的易侵犯大血管及大气管。
5、肿块很大时可出现坏死和囊性变。
6、增强扫描一般轻度到中度强化,与明显强化的血管形成鲜明对比。

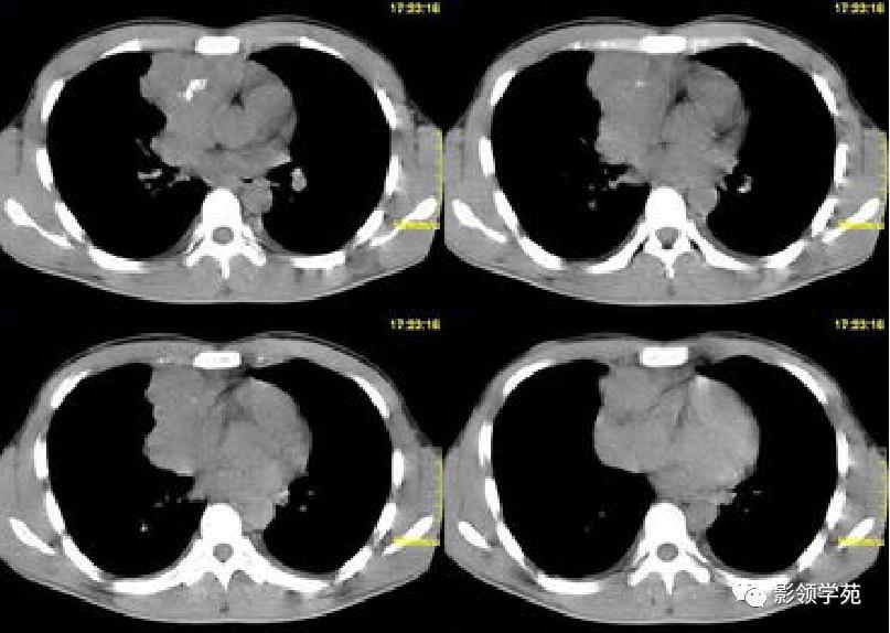
淋巴结肿大融合,压迫上腔静脉,致上腔静脉狭窄


淋巴结肿大融合,轻度强化,与血管形成鲜明对比

融合呈团的淋巴结中央见片状坏死

融合呈团的淋巴结中央见片状坏死
六、心包囊肿
可发生于心包的任何部位,约2/3发生于前心膈角区域,靠近心脏、横隔及胸壁,右侧多于左侧。
CT表现:
轮廓完整,与心包不能分离,圆形或卵圆形,多数为水样密度,囊壁一般无钙化。增强扫描囊壁强化不明显,囊内容物无强化。

多发性骨髓瘤病例:右侧心膈角囊性肿块,与心包紧密相连


上图为第一次检查图像,下图为复查图像,囊性灶明显缩小
七、前肠囊肿
- 包括支气管囊肿及食管囊肿。
- 支气管囊肿绝大多数位于中纵隔内,多位于气管及主支气管周围,可有一细柄与气管、支气管相连,一般两者不交通,囊肿大小多为3-5cm。
- 食管囊肿位于后纵隔,与食管关系密切。
CT表现:
呈圆形或卵圆形,偶有分叶状,轮廓光滑,壁薄,密度均匀,典型者呈水样,含高蛋白时囊肿呈高密度,但增强扫描无强化。囊壁较薄,但是反复感染可导致囊壁增厚,少数病例囊壁可有弧线形钙化,也有囊内钙化的报道。

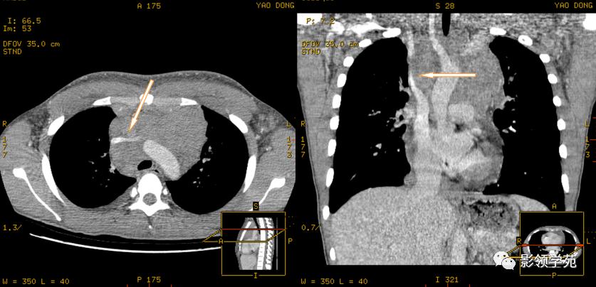
前肠囊肿

食道左侧旁囊性灶

与上图为同一患者,食道左侧旁囊性灶
八、神经源性肿瘤
根据细胞起源分为三类:
1、起源于外周神经的肿瘤,包括神经鞘瘤及神经纤维瘤。
2、起源于交感神经节的肿瘤,包括神经节细胞瘤,神经节母细胞瘤,神经母细胞瘤。
3、起源于神经节的肿瘤,包括副神经节瘤(嗜铬细胞瘤),化学感受器瘤(非嗜铬副神经节瘤)。
成人中最常见者为神经纤维瘤和神经鞘瘤,20-30岁最多见。
CT表现:
1、部位:好发于脊柱旁沟内。
2、形态:大多为圆形或卵圆形,分叶少见,边界较清晰。
3、密度:大多较均匀,略低于胸壁肌肉;如果肿瘤内发生液化坏死,含脂肪或钙化时,密度可不均匀。
4、强化:中度一致性强化,但有个体差异。
5、与邻近结构的关系:最常见为肋骨及胸腰椎受压侵蚀,如出现不规则溶骨性破坏则提示恶性。如相邻椎间孔(神经孔)的扩大表明肿瘤已伸入椎管内形成所谓哑铃状肿块,为胸内神经源性肿瘤的特征改变。另外肿瘤可压迫侵犯气管、食管及血管,使之与肿块融合或将其包绕其中。



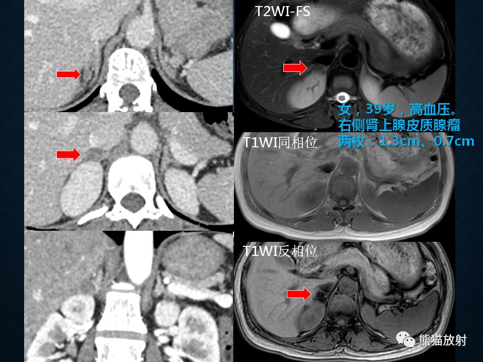
肾上腺常见肿瘤影像诊断





























·也称:肾上腺性性征综合征
·临床上很少见
·皮质分泌过量雄性激素而导致女性假两性畸形或男性性早熟等病因:
>腺瘤:临床表现决定于肿瘤的发生年龄,与 Cushing腺瘤表现相同,但无对侧萎缩改变
>皮质癌:约占30%
>先天性肾上腺增生:双侧肾上腺腺体显著弥漫性增大,程度常明显超过 Cushing综合征的皮质增生





















