随着生活水平的提高,越来越多的孩子开始出现各种口腔问题。其中又以龋病、牙外伤、错牙合畸形这三种疾病最为常见。昨天是儿童龋齿,今天,来看第二个常见的牙外伤!
儿童牙外伤:
有些孩子户外活动量大并且生性好动,缺乏自我保护意识。由于前牙的位置较为突出,因此儿童的牙外伤十分多见。如果处理不及时或者处理不当,可能会导致牙齿的错位、牙髓坏死、颌骨发育异常等情况。

儿童牙外伤
那么,如果发生意外的时候,家长们能够做些什么?
牙外伤的处理
1、要先确定孩子的全身状况:孩子有无呕吐、昏迷、晕厥等紧急情况的发生,如有,应立即前往医院就诊,待全身条件好转的情况下再做口腔的处理。

全身状况优先
2、根据牙齿的损伤程度对症处理:牙外伤大致可以分为牙震荡、牙折裂、牙脱位三种情况。每一种损伤有不同的处理办法,最终的目的是尽力保留牙齿和牙髓的活力。
- 牙震荡:牙齿的外观没有明显的缺损,但牙周膜,常伴有牙齿的轻度松动。这种情况家长们很容易忽略就医。对于牙震荡的孩子,需要定期到医院复查牙髓的活力,以便出现病变后能得到及时治疗。

牙震荡
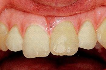
- 牙折裂:很容易辨认,一旦出现牙齿的缺损,建议带上牙齿,立即就医。牙冠折裂没有暴露到牙髓,可以直接修复,但需要定期复诊。倘若折裂造成牙神经暴露,那就需要进行牙髓治疗了。

牙折裂
- 牙脱位:即牙齿完全脱落,乳牙脱落,家长不需要做什么,及时就诊,排除牙槽骨甚至颌骨骨折即可,而恒牙脱落,及早将其复位则是关键所在:在找到脱落的牙齿后,迅速用流水冲去表面的脏污(避免使用自来水,因其含有的氯化物会“杀死”牙齿根面细胞、影响后期愈合),即刻安回原来的位置。如果没有复位的把握,家长应妥善保存牙齿,如含在嘴里或浸泡在牛奶中(切忌擦洗、刷洗),在30分钟内带孩子前去就诊,最晚不应超过2小时。

牙脱位
牙外伤的预防
- 可以给孩子定制防护牙托,在儿童运动是佩戴可以大大降低牙齿、嘴唇、面颊部受伤的风险。

护齿套
- 平时要教育儿童注意自我保护。儿童在做剧烈运动时要做好防护。骑车时戴安全帽。