世界很「奇妙」,人类的「口腔」也很奇妙,很多口腔情况你未必见过,甚至连听都没有听说过,当然有些做了半辈子的「牙医」可能都没碰到过这些情况。
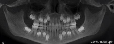
一、儿童换牙时期的头骨:这个阶段「恒牙」未萌出,和「乳牙」同时存在。所以剥离「骨壁」以后可以同时看见乳牙和隐藏在乳牙之下等待萌出的恒牙。
小时候你看见自然脱落的乳牙没有「牙根」,其实是因为乳牙在脱落前「牙根」被吸收,为恒牙的萌出腾出骨内空间。


二、严重磨牙导致的牙齿缺损:磨牙一般不会影响到日常生活,但是长期的严重的「磨牙」,会导致牙齿咬合及邻面的「严重缺损」。如果有夜磨牙的情况,可定制夜磨牙垫减少磨损。

三、牙齿表面的牙菌斑(黄色):这种黄色东西是人类口腔中繁殖的大量「细菌」,跟「口腔卫生」有直接关系。它会在牙龈部位「扎营繁殖」,产生一种「酸性」物质,这种酸性物质会「腐蚀」牙齿导致蛀洞,另外,还会导致牙周炎。

四、一根使用过的牙刷刷毛:刷毛放大图像,可以看到刷毛的表面被「牙菌斑」牙菌斑覆盖了。每次使用完之后都应当「冲洗清洁」牙刷,并「头朝上」放置在空气中进行「风干」。大约每隔3~4个月就应当更换新牙刷。

五、阻生智齿:因「颌骨」没有足够的空间,导致「智齿」被阻生在颌骨内并向其他方向生长,最后与邻牙成死角发生「龋坏」。

六、蛀牙过程与婚姻结束过程对照:有了蛀牙千万不能拖,就跟「婚姻」一样,一开始只是小吵小闹,「及时沟通」就能消除危机,如果一直不解决问题,矛盾就会升级,最后面临的就是感情破裂、离婚。蛀牙发展也是如此,如果不及时治疗,最后只能拔除了。

七、口腔念珠菌病(鹅口疮):近年来,「抗生素」和「免疫*制剂抑**」在临床的广泛应用,导致菌群失调,免疫力降低,从而使口腔粘膜被真菌感染。

八:牙结石分度:牙结石「有多有少」,不同的「牙齿部位」其数量不一样,我们可以根据牙结石的多少「测量」自己刷牙的质量,为清洁口腔作参考。

九:洗牙前后:洗牙如同洗澡,医生通过专业工具将牙齿表面牙垢清除赶紧,恢复牙齿本色。另外,洗牙时将牙结石这种「假性保护」清洁掉,所以会觉得牙缝变大。

十、扁桃体结石:听说过胆结石,牙结石,肾结石,听说过扁桃体结石吗?其实,有些「慢性口臭」就与此相关。

十一、多齿症:一般成年人拥有28-32颗牙齿,超过此数即为多齿症,多出来的牙齿可能长于「骨骼内」,进而挤压「牙床」,影响其他牙齿的生长。它的成因可能属「基因遗传」基因,也有可能是「后天环境」影响。

十二、味觉:准确来说,辣味并不是一种味觉,而是一种痛觉。

十三、古代的牙齿矫正方法:不止现代人追求「牙齿整齐」,就算在古代也是如此,考古学家发现公元前2500年埃及木乃伊上的「牙科手术」。

十四:各色奇怪的牙根

十五、牙周炎:是不是感觉自己的牙缝越来越大,牙齿越来越长,甚至牙齿出现松动了?

十六、名副其实的牙科诊所:

十七、蛀牙蛀洞下的结构改变。

十八、舌头:下图为人类「舌头」的显微照片,每个突起都是一个「味蕾」。人类舌头拥有的「味蕾数量」在2000-8000之间。令人惊奇的是舌头划分了许多不同的「区域」,每个区域负责一种特别的味道。事实上,每一部分都能够探测到所有已知的五种味道。

十九、刷牙时的牙齿情况。

二十、新生儿严重黄疸后牙釉质翡翠色改变
