我在临床上看门诊时经常遇到来自全国各地说是角膜坏了不能再做白内障手术的患者,但是他们又总是不愿意放弃,抱着最后的一丝希望来找我,期待我帮助他们实现已经破灭的光明梦想。我记得自从独立做手术以来,不知道遇到了多少这样的病例,我就拿最近的一个案例开始和大家聊一聊这个话题吧。
数月以前的一个周二上午我看专家门诊时,一家人推着一位看起来年龄非常大的老太太走进了我的诊室,我心头一热,期待她是否会是我的第6个超过100岁的白内障患者,所以当即就问家属老人是否有100岁?她们回答我老人今年95岁,再等5年就100岁了。接着家属告诉我“老人双眼于20多年以前因为眼睛痛做了青光眼手术,但是手术以后视力一直不断下降,10多年以前完全看不见了。这么多年以来我们一直推着她到处求医,但是医生都说她的眼睛不仅白内障太老,而且角膜也坏了,没有办法治疗了。

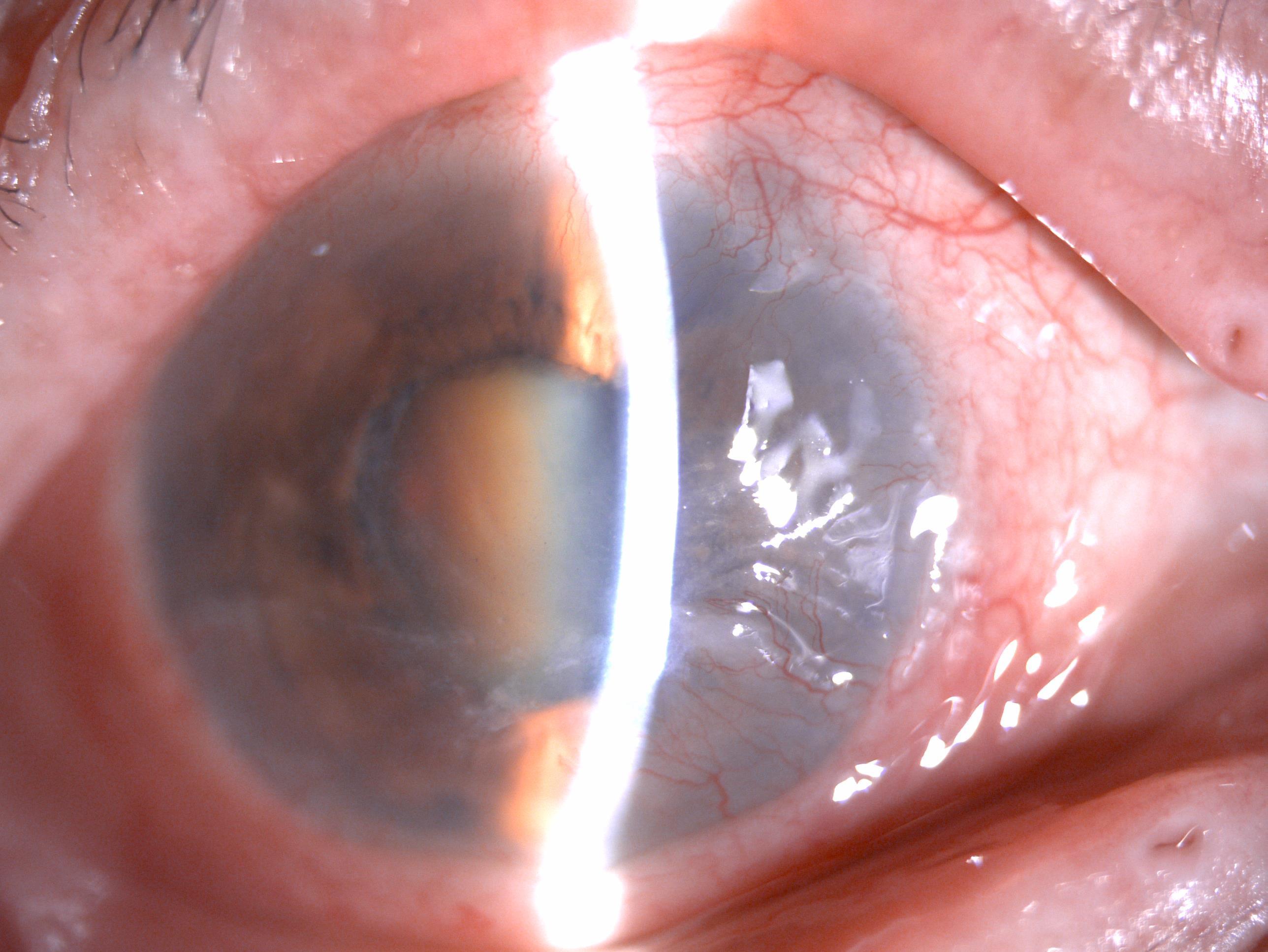
角膜浑浊
前段时间我们听说李院长曾经治好过很多像我奶奶这样的病人,所以特地外地赶过来请您给我奶奶看看还有没有希望。我们知道来李院长这里就诊是她今生最后一次看得见的机会,所以哪怕是只要有一点点希望,我们都愿意冒风险给她最后争取一下,否则她多年以来一直生活在黑暗之中,非常痛苦,太可怜啦!”
我一方面听着家属的诉说,一方面边检查边打量着眼前这个精神矍铄的老太太。她虽然有95岁,但是透过她高而挺拔的身材和轮廓分明的五官告诉我她年轻的时候肯定是一位漂亮的大家闺秀。
我详细检查下来的结果与其他以前检查的医生结果一样,不仅白内障很严重,达到了我们医生常说最难的五级超硬核,瞳孔后粘连,关键是角膜全混浊,特别是其中一个做白内障手术最关键指标即内皮细胞不仅数量测量不出来,而且形态也完全模糊了,应该说角膜已经完全失代偿了。

角膜细胞计数与形态完全异常
坦白地说,这么严重的病例我虽然没有做过精确统计,但是近30年下来至少有超过数百例的经验,这些病人手术以后视力多多少少都有提高,角膜也没有进一步变坏,甚至多数情况下还变好,在我的记忆中还没有失败过的案例。
但是我又不能跟家属保证这个老太太手术以后就一定好,只能告诉她们死马当作活马医,竭尽全力大家都不留遗憾。
在家属的信任与坚持下,星期三上午老人终于躺到了手术床上。但是当我在手术显微镜下仔细观察她眼睛情况时就有一点后悔接这个硬骨头了,为什么呢?一是老太太的眼睛不会注视显微镜的灯光,一直往下看,不配合;二是老太太年龄太大,耳朵也不好使了,没有办法交流,担心她在手术中乱动导致手术出现严重并发症而失败;三是在显微镜下观察到的角膜混浊比门诊裂隙灯下观察到的混浊情况要严重得多,一方面担心手术以后角膜进一步变坏,另一方面由于很难看清楚晶体前囊膜,手术失败的可能性也就大大地增加了。
我后悔归后悔,既然病人及家属这么信任我,我哪里有半途而废放弃的道理,剩下的唯一一条路就是拼尽全力挽救她的光明。由于我采用了两步麻醉法,老人家没有疼痛,所以配合还可以,主要是严重的角膜混浊导致手术中视野不清晰,即使是我进行了晶体前囊膜染色以后也只能凭着感觉做手术,再加上晶状体核特别硬,我每一步手术操作都如履薄冰、如临深渊,最终我在95%超声能量下经过26分钟小心翼翼、与晶状体核斗智斗勇地搏斗下终于把它清除干净了。特别令我欣喜的是手术结束时感觉角膜比手术以前亮多了,意味着整个手术过程对角膜影响小,这样手术以后视力恢复的可能性就大些。
果然手术以后第一天上午查房时角膜水肿比我们想象的要轻,前房也没有明显的反应,视力居然从手术以前的光感恢复到了0.04左右,老人家高兴得合不拢嘴,一个劲夸我们医术好!

手术以后恢复光明
出院以后一个月我们通知她来复查,家属说老人家看得见了,很高兴,而且年纪太大不方便来复查了。
还有我昨天下午刚刚完成了因为晚做白内障手术引起急性青光眼大发作的一个病例,手术以前眼压52mmHg,看不见东西,眼痛和头疼都非常厉害,而且角膜内皮细胞计数因为角膜水肿只有0。今天上午白内障手术以后检查眼压下降到了只有14mmHg,视力恢复到了0.2。如果我们选择放弃的话,又增加了一个失明患者。
大家一想到角膜坏了,应该做角膜移植手术,而不是做白内障手术。确实,如果患者的角膜坏了,同时还有白内障的话,最好的方法肯定是同时做白内障手术和角膜移植的联合手术,但是现实生活之中由于各种各样的原因只有极少一部分患者能够同时接受白内障手术和角膜移植的联合手术,那么,棘手的问题来了,剩下的绝大多数患者即使在角膜坏了的情况下到底能不能只做白内障手术呢?
目前研究认为,由于人眼角膜内皮细胞无再生能力,损伤后主要由周边内皮细胞滑行和延伸来补偿,如果角膜内皮细胞损失过多,轻者会导致角膜水肿,严重者可致角膜内皮失代偿引起大泡性角膜病变甚至失明,最终需行角膜移植,给患者带来巨大的打击。因此业界一般认为,角膜内皮细胞计数低于1000/mm2,即不建议行白内障超声乳化手术;而当角膜内皮细胞计数低于500/mm2时,残留的内皮细胞负荷过重,已难以保证正常生理功能的需要,最后必将导致长期的角膜水肿及大泡性改变,故被视为内眼手术的临界值。因此,术前掌握手术适应症,了解角膜内皮细胞的储备功能,对保证手术安全非常重要。

由于临床上像老奶奶这样角膜不好的病人,业界对做白内障手术基本上持非常慎重甚至是反对的态度,一般情况下就是能不做就不做,所以我经常会遇到来自四面八方错失治疗机会的类似病例也就不足为奇啦。
因此,我认为很有必要来讨论和科普一下这个问题:眼睛角膜内皮细胞计数少于500甚至只有0,到底该不该做白内障手术?因为这样的病例临床上可以说非常常见,关系到相当多患者的视觉质量和生活质量问题。
白内障是全球排名首位的致盲性眼病。相关数据显示,因白内障致盲的患者人数占盲人总数的 46%,我国因白内障致盲需手术的患者已达500万人。并且随着社会人群老龄化,白内障患病率逐渐上升,80岁以上达到100%。随着眼科显微手术技术的发展,近50年以来开展的白内障超声乳化手术通过超声能量乳化和吸除混浊的晶状体,由于它具有切口小、反应轻、术后恢复快等优势已成为目前临床应用最广泛的一种手术方式,也是被世界公认为最成熟的治疗白内障的主流手术方式。白内障超声乳化手术美中不足的缺点是对角膜内皮细胞的影响。
首先我们来认识一下角膜内皮细胞的结构和功能。角膜内皮是角膜内表面呈六角形单层细胞,它是特化的、扁平的、富含线粒体的细胞,排列在角膜的后表面并面向眼前房的一层细胞,其主要生理功能是允许溶质和营养物质从房水渗漏到角膜的更浅层,同时将水以相反的方向从基质泵入房水,一句话其功能就是维持角膜的透明性。内皮细胞总数约100万个,成人角膜内皮细胞密度约为2400-3200个细胞/mm2,正常人群角膜内皮细胞存在每年0.6%的丢失率。随着年龄的增长,角膜内皮细胞密度逐渐降低, 代偿能力也随之下降,当角膜内皮细胞密度低于500~800/ mm2时,内皮细胞就会失代偿从而引起角膜混浊 。因此, 临床上一般建议当内皮细胞数低于1200/ mm2时避免行超声乳化手术 ,这样引起失代偿的可能性较小,对病人来说比较安全。

左眼角膜白斑
除年龄、种族、长期配戴角膜接触镜、原发性角膜病变(如内皮营养不良等)、其它眼部疾病(如虹膜睫状体炎、青光眼、眼外伤、高度近视等)以及全身疾病(糖尿病、高血压、慢性肾衰竭等)本身造成的角膜内皮细胞差异外,内眼手术是角膜内皮细胞损伤的主要因素,尤其是白内障超声乳化手术。
白内障超声乳化手术是导致角膜内皮细胞丢失的常见原因之一,轻微的角膜内皮细胞丢失并不会对患者造成功能性问题,但当角膜内皮细胞丢失率≥12.3%,即严重丢失时,角膜组织会出现水肿、混浊、透明性差等情况,严重的甚至会导致角膜内皮功能障碍,增加大泡性角膜病变发生风险,严重影响老年性白内障患者的术后恢复。
研究表明白内障超声乳化术对角膜内皮细胞数目、密度及面积、六角形细胞比例均有较为明显的影响。它对角膜内皮损伤的因素是多因素的叠加,如:眼轴长、前房深度、核硬度、术中用药、超声能量、人工晶状体的植入、后囊膜破裂、晶状体碎片的损伤、灌注液、黏弹剂等。因此对于白内障手术的患者来说,如何进一步减少手术对角膜内皮的损伤,应该对不同人群的角膜内皮进行术前评估和术中保护,了解角膜内皮细胞的愈合储备能力,对保证手术安全极其重要。
那么,是否有办法解决超声乳化手术的这个不足之处呢?飞秒激光辅助白内障手术(简称为“飞白手术”)的出现为部分解决这个难题带来了曙光!根据国内徐贺等2022年的研究表明,飞白手术的应用可以明显降低白内障超声乳化能量并减少超声能量作用的时间,术后早期角膜内皮细胞丢失明显减少,对角膜内皮具有一定的保护作用,减少术后角膜水肿的发生,更加适用于角膜内皮细胞计数较少的患者。既往研究也表明,飞白手术可以有效缩减超声乳化时间,降低术中的超声使用能量,对于硬核或乳白色白内障、白内障合并浅前房、晶状体不全脱位及角膜内皮细胞数量少的患者具有明显的优势。
从以上分析可知,如果我们严格按照业界的共识,即角膜内皮细胞计数低于500/mm2甚至1000/mm2都不建议做白内障超声乳化手术的话,还不包括像上面这样角膜内皮细胞计数为0到500/mm2之间的病例,由于这些病人之中绝大多数患者都不可能有机会接受角膜移植手术(还不讨论角膜移植手术的风险),不知道将会有多少病人因为角膜坏了不得不生活在黑暗之中,就像上面的两个病人一样。但是从一个方面来说,由于我给这样的病人做手术是冒着非常大风险的,违反了业界的共识,也就是违反了所谓的医疗护理常规,只要病人或者家属一提告我就百分之百倒霉,所以我相信这也应该是绝大多数眼科医生不愿意冒风险做这样病人的原因。结果呢?就是因为角膜坏掉以后生活在黑暗之中的病人越来越多。可见,最终倒霉的还是病人。

简而言之,根据我个人至少做过1000例以上角膜内皮细胞计数低于1000/mm2以下甚至是0而没有发生1例角膜再变坏的情况,个人建议为:
一、角膜内皮细胞计数低于1000/mm2以下甚至是0不是白内障超声乳化手术的绝对禁忌症,可以根据自己的手术水平和设备条件考虑手术;
二、手术以前要在录音录像前提下和患者及家属进行充分的沟通,特别是一定要强调若手术以后角膜继续变坏,需要做好角膜移植手术的准备;
三、一方面考虑到角膜内皮细胞计数低于1000/mm2以下甚至是0的病人属于高危患者,而且多数情况下是独眼患者,容易出现并发症和医患纠纷,尤其是对手术医生要求极高;另一方面考虑到目前紧张的医患关系,如果对自己的手术技术没有十足的信心和把握,一般情况下不要尝试;
四、手术中要尽量做好角膜的保护,首先应该把超声能量的应用降到最低水平,其次可以应用软壳技术,第三要尽可能缩短手术时间;
五、这些病例手术以后出现角膜水肿甚至是严重的角膜水肿是常见情况,手术以后处理重点在于减轻角膜水肿。
以上只是个人建议,不是放之四海而皆准的真理,仅供大家参考而已。
最后祝这些所谓角膜坏掉了的白内障患者尽可能早一点做白内障手术,恢复光明!