点击「神经介入在线」可快速关注

吕明,男,神经介入科主任医师,副教授,医学博士,首都医科大学硕士研究生导师。专门从事神经系统血管病的介入治疗,主攻颅内动脉瘤、脑血管畸形、颈动脉海绵窦瘘、硬脑膜动静脉瘘、脊髓血管畸形等出血性脑脊髓血管病。承担天坛医院部分协作单位的会诊工作,带动和促进了国内多家省市医院神经介入技术的开展。目前科研方向致力于颅内动脉瘤介入治疗的规范化和个体化,受北京市科技新星计划、北京市优秀人才项目和北京市卫生系统高层次卫生技术人才培养计划资助。

病例信息

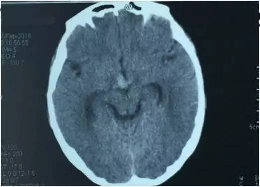
基本信息:患者女性,52岁,SAH第11天行血管内治疗。术前一般情况好,无明显阳性体征。
▼CT显示脚间池出血

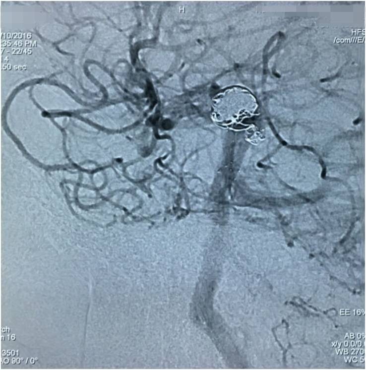
以下图像为DSA,显示基底动脉顶端动脉瘤,左侧小脑上动脉瘤,左侧PCA P1段微小动脉瘤,双侧颈内动脉眼动脉以远闭塞,前循环靠后循环通过后交通动脉代偿。
▼左颈总动脉造影正位

▼右颈总动脉造影正位

▼左椎动脉造影正位

▼左椎动脉造影侧位

▼左椎动脉造影三维重建,这个角度可以窥清基底动脉顶端动脉瘤和左小脑上动脉瘤,可见基底动脉顶端动脉瘤顶端的子瘤,考虑是SAH的责任动脉瘤。

▼这个角度可以看到左PCA P1段的微小动脉瘤

▼基底动脉顶端动脉瘤和载瘤动脉测量

▼左小脑上动脉瘤测量

血管内治疗策略:处理基底动脉顶端动脉瘤(责任动脉瘤)和左小脑上动脉瘤,左PCA P1段微小动脉瘤不处理。步骤:先将第一枚支架置于基底动脉-左PCA,在该支架保护下栓塞左小脑上动脉瘤; 再将第二枚支架置于基底动脉-右PCA,在Y型支架保护下栓塞基底动脉顶端动脉瘤。
具体操作过程如下所述:
▼左椎动脉工作位造影,可以清晰暴露基底动脉顶端动脉瘤及其子瘤、左小脑上动脉瘤。

▼Headway17导入左PCA P2段,用于备放LVIS JR支架;Echelon10微导管送入基底动脉顶端动脉瘤瘤腔内,送入第一枚弹簧圈QC-4-12-3D,弹簧圈送出约一半长度,在瘤腔内盘旋,一定程度上能有助于防止后续释放的支架陷入瘤腔。

▼经预置的Headway17送入LVIS JR 3.5*23支架,跨瘤颈释放入左PCA-基底动脉内,蒙片显示支架张开良好。

▼Headway17完成支架释放后,经支架网眼导入左小脑上动脉瘤内。这里要说明的是,LVIS JR的网眼是比较容易穿过的。

▼经Headway17送入弹簧圈栓塞左侧小脑上动脉瘤。

▼Headway17完成左小脑上动脉瘤的栓塞后,再经支架网眼导入右PCA,将第二枚LVIS JR 3.5*23支架跨瘤颈释放入右PCA-基底动脉,如此完成了Y型支架的释放,为基底动脉顶端动脉瘤的栓塞工程摆好了脚手架。

▼微导丝经支架内部弓背进入右PCA,Headway17微导管跟进,目的是加强第二枚支架(穿过了第一枚支架的网眼)的扩张性和贴壁性。

▼在Y型支架保护下经预置于瘤腔内的Echelon10微导管栓塞基底动脉顶端动脉瘤。

▼依次填圈,由于管头是朝向瘤腔右侧的,所以弹簧圈主要聚积在瘤腔右侧。

▼瘤腔左侧部还有空虚。

▼用微导丝将Echelon10的管头调整到瘤腔左侧空虚处继续“填空”。

▼瘤腔左侧部的空虚被填实,从整体看填塞的效果还是不错的。

▼然而,意外的是,造影评估显示动脉瘤顶端的子瘤还显影。

▼继续填实瘤腔的左半部,离天衣无缝还有一定差距。

▼继续填,瘤颈左侧已经被填塞出了“犬耳”形状。

▼然而,子瘤仍然顽固地显影。

▼从侧位上继续填瘤腔左后部的缝儿!多亏是双C臂,可以同时观察两个角度。

▼然而,子瘤仍然嚣张地显影,大家知道,子瘤显影是动脉瘤术后再破裂的高危因素!

▼侧位造影上子瘤的显影尤其显著。

造影剂到底是从哪里漏进子瘤的呢?已经填塞到这种程度了,大造影是定位不了漏洞了,那就微量造影找吧!既然微导管从瘤腔的左后部填塞没达到消灭子瘤的目的,那么,反其道而行之,毅然撤出微导管,从支架网眼穿入瘤腔的右前部,看看漏洞是不是在此处?
▼影像资料

▼微量造影侧位显示子瘤显影。

▼空白路图填圈,惊喜地发现圈进入子瘤了,这是侧位空白路图。

▼这是正位空白路图,充分显示了双C臂的优势。

▼乘胜追击,子瘤被完全填满,这是侧位蒙片。

▼这是正位蒙片,子瘤被填塞,术者心里才踏实。

下面是术后各个角度的左椎动脉造影,可见基底动脉顶端动脉瘤和左小脑上动脉瘤完全栓塞,载瘤动脉畅通。基底动脉顶端动脉瘤的子瘤终于被消灭。
▼术后左椎动脉造影正位反汤28度。

▼纯正位。

▼侧位。

▼正位汤46度。

病例小结
1. LVIS JR的穿过性极佳,为Y型支架辅助技术的首选支架。
2.栓塞破裂性动脉瘤时一定重视子瘤的处理,先栓子瘤再栓母瘤可以避免陷入本手术所遭遇的困境,如果弹簧圈实在无法进入子瘤,则必须保证母瘤的致密填塞!子瘤显影标志着母瘤仍未得到致密栓塞,就此罢手则有可能陷入术后再出血的更大的困境。

欢迎广大医生积极投稿,分享经典病例。
投稿邮箱:sjjrzx@hh-medic.com