来源: 朱晓晓心电资讯
形形色色的T波倒置,该如何鉴别呢?
首先,我们一起来重温一下T波相关的基本概念:
T波代表着心室肌复极过程中未被抵消的心室复极电位差。根据T波的极性、形态可分为倒置、直立、双相和低平。
1.正常T波形态:前支上升缓慢,后支下降较快,波顶呈圆钝状。
2.正常T波的方向与振幅:多与QRS主波方向一致,如以R波为主导联T波直立 (III、aVL导联可浅倒) ,且其振幅≥1/10R;V1~V4导联T波振幅逐渐增高或倒置者应逐渐变浅,一般以V4、V5导联T波振幅最高,可达1.2~1.5 mV;V1导联T波振幅应<0.4mV,若其振幅≥0.4 mV,应警惕后壁心梗可能。
3.T波时限:一般<0.25s。

根据与心室除极的关系可分为原发性T波改变 (心室除极正常而复极异常者) 、继发性T波改变 (心室除极异常而导致复极异常者) 和电张调整性T波改变 (心室异常除极消除后恢复正常除极一段时间内仍存在明显的T波改变者) 。
那么,第一个问题来了~在临床工作中,T波倒置常见的原因有哪些呢?
T波倒置常见的原因,可分为心源性因素和非心源性因素。心源性因素最常见的有缺血、心肌病、急性心包炎、T波记忆、继发于除极的异常;而非心源性因素最常见的有脑血管意外、肺栓塞或者其他原因。
再考考大家以下几幅心电图~~
下面的8份心电图中的T波倒置,分别对应的是哪些疾病呢?是不是有种傻傻分不清的感觉~

图1:各种疾病与T波倒置
那么,最重要的问题来了,T波倒置的鉴别流程是什么呢?

图2:T波倒置的鉴别流程
鉴别流程第一步:判断有无除极的异常。
我们先来看一些病例:
病例1:19岁男性,因“突发心悸2小时”入院;
入院后经电复律恢复窦性心律,行心电图检查如下 :

图3:心室预激
可见心室预激波,后经电生理检查证实为预激综合征。
由于预激综合征患者的心室除极顺序与正常经房室结下传的除极顺序不同,故心室肌的复极顺序也会与正常的复极顺序相反,在心电图上就表现为了继发性的ST-T改变。
病例2:起搏心律

图4:心室起搏
如图4所示为左室后侧壁单极起搏,可见起搏信号后QRS波在V1-V3导联呈R波,V4与V5导联呈Rs型, QRS波时限为190 ms ,胸前导联T波倒置。
起搏心电图特点:QRS波群宽大畸形,时限120 ms;心室的除极异常导致了复极改变,T波多与QRS波群的主波方向相反。
病例3:束支阻滞

图5:完全性右束支阻滞
当发生完全性左、右束支阻滞时,心室除极顺序的改变可引起继发性复极变化。
病例4:心脏的记忆现象

图6: 心脏的记忆现象
如图6是一例预激综合征患者的心脏记忆表现:
A:心室预激的心电图表现;
B:接受射频消融后1小时的心电图,显示T波记忆现象;
C:术后1月心电图,T波恢复正常。
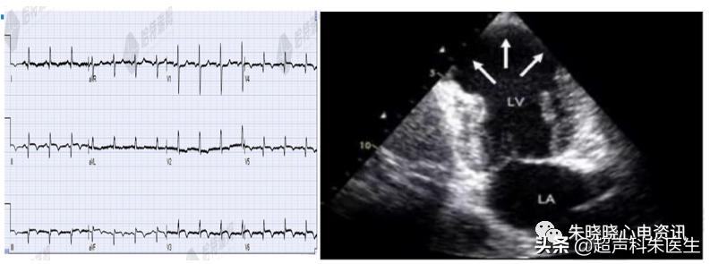
病例5:左室肥厚
如图7所示,为52岁女性,主动脉瓣狭窄,冠脉无病变,超声示左室质量指数274 g/m2,心电图显示为左室肥厚相关的ST-T改变。
T波倒置多出现于I、aVL、V4~V6导联 (左胸导联) 。
左室肥厚相关的T波倒置的心电学特征:J点压低、T波不对称及升支陡峭、T波终末部高于等电位线。

图7:左室肥厚与T波倒置
下一个问题,心室肥厚相关的ST-T改变与心梗的ST-T改变,该如何鉴别呢?
如图8所示:患者,男,73岁,患有高血压、冠心病。

图8:心电图的动态变化
A图:可见左室肥厚典型的ST-T 改变,左胸导联ST段下斜型压低,V5、V6导联T波倒置;
B图:为患者第二天胸痛发作后, 心肌酶升高。QRS波形未变, 但ST段接*平近**直,所有胸前导联T波对称倒置,符合心肌缺血引起的T波改变。并且QTc间期从A图的404 ms 增加至B图的466 ms。
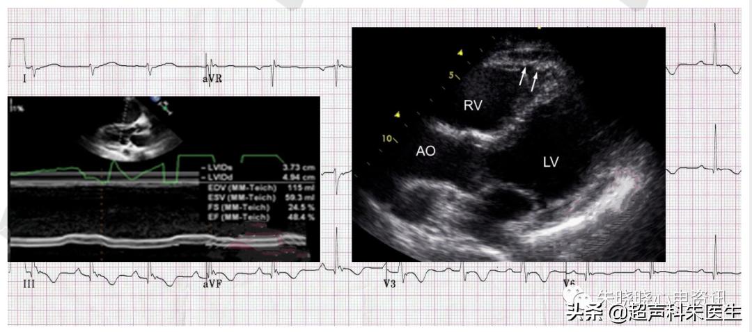
病例6:心尖肥厚型心肌病
如图9:76岁老年女性,两个月前爬山时感胸闷、憋气,无放射性疼痛,休息几分钟后缓解。1周前因搬家劳累再发胸骨后闷痛,憋气 。既往高血压、高脂血症10余年,心房颤动2年。入院后行常规心电图示广泛导联T波倒置。

图9:广泛导联T波倒置

图10:患者的心脏彩超
患者的心脏彩超见:左房增大,室间隔及左室壁厚度呈渐进性增厚,心尖为著 (中间段厚 18 mm,心尖部厚24.5 mm) ,室间隔运动幅度轻度减低,LVEF正常
冠脉造影示:右冠状动脉中段 (RCAm) 管腔不规则,狭窄50%,并取左室室壁处行心肌组织活检。
心肌活检示:组织学染色下可见排列紊乱、肥大的心肌细胞。

图11:肥厚型心肌病的病理特点
心尖肥厚型心肌病心电图可见:左胸导联高大R波伴巨大倒置T波;
可能的机制:心尖部心肌局部肥厚导致QSR波向量向左前增大,造成左胸导联R波增高,同时伴有复极异常,呈明显的心前区 (V3~V4导联) T波倒置。
而心肌缺血时,无明显R波增高,T波倒置常位于广泛胸前导联,无特异性。
病例7:致心律失常右室心肌病(ARVC)
如图12为68岁男性,活动耐量进行性下降。心电图可见Epsilon波,右胸导联T波倒置;心脏彩超提示左室长轴切面右室壁菲薄,右室扩大,右室壁活动明显降低;患者的心肌活检示,病变心肌被脂肪细胞取代。

图12:V1导联可见Epsilon波
致心律失常性右室心肌病 (ARVC) ,可以使病变区心肌细胞延迟缓慢除极,造成室壁动作电位持续时间不一致,出现除极异常、复极障碍。

图13:ARVC患者的心脏彩超
ARVC特征性的心电图表现为Epsilon波。右胸导联T波倒置是ARVC常见的心电图表现,也是ARVC早期和敏感性指标之一 (48%~85% ARVC患者存在右胸导联的T波倒置) 。

图14:ARVC的病理特点
鉴别流程第二步:有无心肌损伤迹象

图15:T波倒置的鉴别流程
我们再来看一些病例:
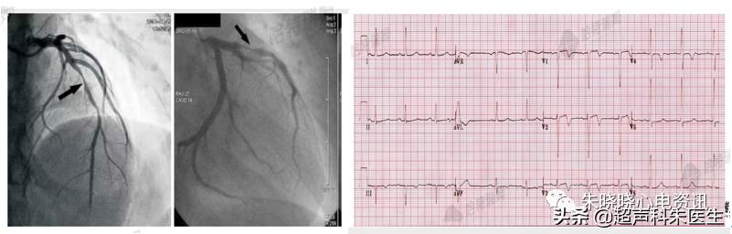
病例1:左主干病变或等危症
如图16所示,89岁男性,因胸痛1周,加重1小时入院。心肌损伤标志物增高,急诊室考虑急性冠状动脉症状 (ACS) ,遂予急诊冠状动脉血管造影 (CAG) ;冠脉造影示:左主干近端严重狭窄 (箭头所指) ,右冠完全闭塞,由左冠脉发出的侧枝循环供应 (未见图像) 。

图16:广泛导联T波倒置及左主干近端严重狭窄
心肌缺血引起的T波倒置主要与动作电位时限延长有关。在心梗 (MI) 急性期,广泛导联的T波倒置往往能提示出现了大范围的心肌顿抑,部分病人可伴有QT间期延长或aVR导联ST段抬高。
病例2:应激性心肌病
患者女性,69岁,主因“发作胸痛、胸闷1年,再发加重8小时”入院。既往史:1年前不稳定性心绞痛,CAG示双支病变,一直予药物治疗,高血压病史20年,1年半前*房行**颤射频消融术,入院前1天其子跑步后猝死。经心脏彩超及左室造影后,证实为应激性心肌病。

图17:广泛导联T波倒置伴QT间期延长

图18:入院后心脏彩超
Takotsubo心肌病又称心尖球形综合征,表现为一过性心尖或心脏中段收缩功能障碍,但缺乏冠脉狭窄证据。其机制尚不清楚,可能与儿茶酚胺引起的心肌顿抑等因素有关。
应激性心肌病的特征性心电图表现:广泛导联的ST段抬高,但缺乏对应导联的ST段压低,多出现在胸前导联,ST段抬高在前,进而出现T波倒置,QT间期延长,较急性冠脉综合征更为明显,可持续数天至数周。
病例3: 急性心包炎
如图19所示,39岁男性,因“发热伴胸痛3天”入院,入院后显示肌钙蛋白正常, 心脏彩超示心包积液。因患者年轻,有感染史 , 且无冠心病危险因素,故诊断心包炎,出院1月后心电图恢复正常。

图19:广泛导联T波倒置1月后恢复正常
病例4:Wellens综合征
如图20所示,67岁男性,因“胸痛持续性加重4小时”入院。冠脉造影示:前降支重度狭窄。

图20:Wellens综合征
1982年, Wellens等人提出Wellens现象,即前降支近端狭窄者存在着特征性的T波改变。此后,人们将其命名为Wellens综合征。
1型Wellens综合征: ST段位于等电位线,或呈水平型或稍弓背抬高 (<1 mm) ,紧接对称性倒置T波,通常见于V2~V3导联,也可见于V1~V4导联。
2型Wellens综合征: 主要为V2~V3导联,T波呈正负双相。

图21:Wellens综合征的分型
病例5:心尖部室壁瘤

图22:心尖部室壁瘤T波向量示意图
如图23所示,急性下侧壁心梗患者,2个月后复查心电图示下侧壁导联Q波形成,下壁导联和V3~V6导联中ST段抬高伴T波倒置,心脏彩超提示室壁瘤形成。

图23:室壁瘤与T波倒置
心尖部室壁瘤通常为急性心梗后室壁反复反向牵张,引起持续性ST段抬高与左室心肌反常运动。最常见的心电图表现为:ST段抬高,全导联或对应梗死部位的导联T波倒置;
病例6:脑血管意外
如图24,73岁女性,诊断急性缺血性脑卒中,头颅核磁共振 (MRI) 示急性细胞毒性脑水肿,梗死区血供来自右侧大脑中动脉下支,入院心电图可见V2~V4导联巨大倒置T波, 经治疗后随访6个月,该T波消失。

图24:脑血管意外与Niagara瀑布样T波
Niagara瀑布样T波:一般多见于发生脑血管意外时,心电图上出现了深大倒置的T波。其机制可能为自主神经功能紊乱,交感神经兴奋产生儿茶酚胺风暴,使心肌一过性电功能障碍、心室复极延迟、离散度增加,产生Niagara瀑布样T波,易导致恶性室性心律失常发生,但可持续数日或数月后自行消失。
病例7:肺栓塞
急性肺栓塞引起的T波倒置,最常发生在右胸V1~V3导联,常有III导联并存;T波多呈双支对称性倒置,多在急性肺栓塞后1~2个小时发生,随着病情的发展呈动态变化。

图25:肺栓塞与T波倒置
其机制可能为:其一,急性肺栓塞时右室压力负荷迅速增加,导致右室扩张及收缩、舒张功能不全,引起牵张力增加,使T波倒置;其二,肺栓塞也可导致右室心外膜下急性心肌缺血,形成T波倒置。
病例8:洋地黄效应
治疗量的洋地黄即可产生T波倒置或低平、U波明显、PR间期延长、ST段鱼钩样压低及QTc间期缩短等心电学特征,并非洋地黄中毒的表现。

图26:T波倒置与洋地黄效应
小结