牙齿坏掉了,如果不及时把坏的地方修补上的话,牙齿不会自行愈合的。时间长了一定会坏到牙齿的神经,一定会让你痛的睡不着觉。
传统方法方便快捷,能一次完成,但在由于因为传统的补牙是在口内一次性完成的,整个的操作过程受到口腔唾液,以及医生在口腔内操作空间太小等等一些客观的,并且很难避免的因素的影响,最终使得补上去牙齿寿命不长,很可能引发脱落和继发龋。而且像那种面积较大的龋坏和特殊部位的龋坏进行补牙也不耐用。
现在就有另外一种补牙方法--嵌体。想要将来不种牙,就可以选择嵌体补牙!

北京精德口腔补牙
近些年,随着人们生活水平的提高,以及对口腔保健意识的提高,嵌体渐渐在临床的治疗中普遍开来。同时使用过嵌体的患者,他们也渐渐认识到了嵌体对牙齿硬组织的保留上显现出来它独特的优势。
嵌体和传统的补牙不同之处是:嵌体是在口外石膏模型上由专门的牙科技师制作出来的,然后再由临床医生将其戴入患者口内,最终粘固形成的。
嵌体的优点:
1、因为它的整个制作过程是在口外完成的,所以它还可以很好的恢复原来牙齿的外形,恢复原来牙齿的咀嚼效率。而这一点,是传统补牙无论如何都无法比拟的。

北京精德口腔补牙
2、嵌体的整个的制作过程中完全避免了在口腔内部操作的干扰因素。这就使得嵌体的制作比传统的补牙要更精细。技师在制作嵌体的时候,会控制它与牙体的弥合程度,这样就尽可能的避免了牙齿在日后的使用中再次出现龋坏。
这些嵌体,在最终戴如患者口内的时候,真是的非常的完美。在使用上没有任何的影响和不适,而且坚固耐用。做嵌体修复的时候,好的材质也对嵌体的修复效果产生影响。
补牙选嵌体,它的优势你要知道
“嵌体,顾名思义就是是一种嵌入牙体内部的修复方法,是为牙齿量身定做的修复体,通过黏合剂将其黏在有缺损的牙齿上。”新密小白兔牙科钱俊霞医生称,由于嵌体在形态、硬度等各方面与牙齿吻合度很好,所以,它不仅解决了牙齿缺失部分容易变大的难题,也减轻了患者频繁补牙的痛苦。

北京精德口腔补牙
嵌体的优点:
1、牙体预备量较少,能够保持牙齿外形的完整,减少牙髓刺激;
2、牙体预备过程中,容易去净牙齿龋坏部分,保持牙齿长期健康;
3、边缘位于龈上自洁区,可高度抛光,不易附着菌斑,易清洁,利于牙周组织的健康;
4、保护牙齿薄壁弱尖和隐裂,防止牙齿折裂和纵折;
5、邻面龋坏造成的缺损,能正确的恢复邻面接触点的部位,大小,松紧等;
6、其中瓷嵌体和树脂嵌体具有更好的美学功能;
7、嵌体的另一个优点是,因为它的整个制作过程是在口外完成的,所以它还可以很好的恢复原来牙齿的外形,恢复原来牙齿的咀嚼效率。而这一点,是传统补牙无论如何都无法比拟。

北京精德口腔补牙
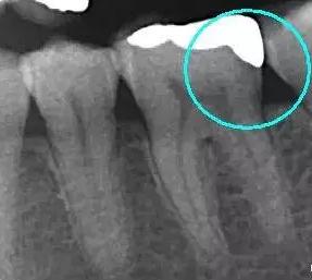
从下面这张X线中可以看出,嵌体远中边缘没有悬突,与牙体边缘密合相接。

北京精德口腔补牙
那么,你为什么不试一试呢?这些嵌体,在最终戴入患者口内的时候,都是非常完美的,在使用上没有任何的影响和不适,而且坚固耐用。

北京精德口腔补牙
北京精德口腔是北京乃至全国最早的民营口腔诊疗机构,提供更科学更严谨的修复方案。
北京精德口腔采用数字化显微诊疗,在德国蔡司显微镜可以将龋齿放大30倍,清除常规视野下看不到的龋坏组织,确保没有龋坏残留,有效降低继发龋发生的概率。
精德口腔“精益求精,医德至上”