
肾脏囊性疾病种类较多,产前表现各不相同,遗传方式亦各不相同,有许多病理原因。胎儿囊性肾脏疾病被病理学家按临床、病理及遗传学分类法分为4型,即Potter I~Ⅳ型。
(一)Potter Ⅰ型
常染色体隐性遗传的多囊肾(ARPKD),常称为婴儿型多囊肾,或称为小囊性肾病,但后期更相似于先天性肾病综合征,发病率为1/20 000。本病的特征性表现是集合小管明显伸长,扩张移成无数的小囊。肾皮质内不含有集合小管,所以呈囊状扩张的小管主要集中在肾髓质。本病可合并胆管发育不良,患儿的病理检查还发现有肝纤维化。
早期产前超声将肾脏增大伴有回声增强、囊肿、羊水过少者即认为是婴儿型多囊肾。但现在认为许多其他疾病亦可表现为肾脏增大,回声增强,可伴有或不伴有明显囊肿及羊水过少。有这些表现的肾脏畸形,许多最后确诊不是ARPKD,实际上ARPKD是极其罕见的,最终确诊可通过基因来诊断。
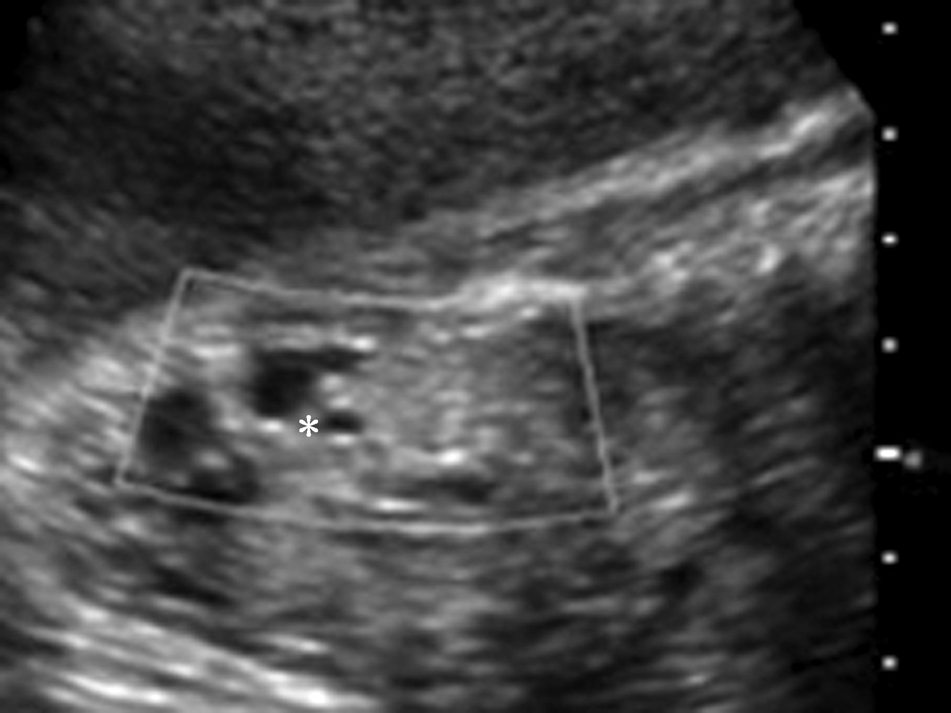
ARPKD产前超声的主要表现有:双侧肾脏对称性、均匀性增大:双侧肾脏回声增强:肾脏回声增强主要在肾髓质部分,而周围皮质部分则表现为低回声(图1A);羊水过少。有研究发现孕12~16周时就可以发现肾脏回声增强,但肾脏形态大小正常。但很多病例在20周前并无异常发现。故有学者提出,孕24周前发现肾肿大并出现肾脏回声增强,即可作ARPKD的诊断。但也应警惕少数胎儿期肾脏回声增强原因可能为正常性的肾脏变异,可能为肾脏皮质和髓质分化增强引起,没有不良临床结局。

图1胎儿婴儿型多囊肾(A)及成人型多囊肾(B)
本病预后与肾脏病变的严重程度有关。有严重肾脏病变者,预后最差,多数患儿在新生儿期死亡。囊肿在出生后可能会进一步发展,婴儿期和儿童期肾脏可以不对称受累,另一些病例在出生后肾脏会缩小。远期合并症有高血压、尿路感染和门静脉高压等。本病的复发危险性为25%。
(二)PotterⅡ型
多囊性肾发育不良性肾病(MCDK),其发生率约为1/3 000,以男性多见,常为单侧发病,对侧肾脏多发育正常,但双侧发病者亦可高达23%。这种类型的疾病通常不会遗传,由不相通的囊以及相间于其中的纤维组织、初级小管、软骨灶组成,通常合并输尿管发育不良、粗大扩张或缺如,少数有输尿管异位。常以大体病理解剖学变化为特征,超声检查可以诊断。由于早期宫内梗阻,输尿管芽发育受阻,干扰了输尿管芽与后肾原基之间的相互作用,导致肾发育异常,梗阻发生时间越早、越完全,对肾脏发育的影响越大。典型的多囊性发育不良肾,由于早期输尿管完全闭锁,同时肾盂亦常呈漏斗状闭锁,肾单位诱导停止,集合小管分化受损。因而导致几乎无正常肾单位发育,无尿液生成。结果,集合小管增大,小管末端部分随意发育成异常的囊腔。肾动脉常较细小或缺如。其他梗阻,如输尿管肾盂连接处梗阻、输尿管膀胱连接处梗阻等,也可导致肾囊性病变的形成。如果这些梗阻发生早且严重,也可形成前述典型的多囊性发育不良肾。如果肾脏萎缩、囊肿较小或破裂者,产前诊断相对困难。
Potter ⅡA型多表现为肾脏肿大或正常大小的多囊性肾脏。Potter ⅡB型仅有极少数的囊肿或小囊肿。超声表现为肾脏有多个大小不等的囊性暗区,囊肿之间不相通,看不到肾皮质或仅有少部分肾皮质(图2)。可累及重复肾的上部肾组织,也可累及异位肾。应用彩色多普勒超声有助于MCDK的诊断,表现为受累的肾脏肾血流减少,肾动脉细小或缺如,多普勒频谱出现显著异常,肾动脉收缩期波峰减小,并缺乏舒张期血流。有特征性超声表现者,产前诊断较容易,但有肾脏萎缩、囊肿较小或破裂者,产前诊断相对较困难。

图2胎儿多囊性肾发育不良
单侧受累的多囊性肾发育不良患者,预后较好。如果对侧肾脏异常,则预后取决于这个肾脏畸形的严重程度。双侧多囊性发育不良肾预后不良,因常伴羊水过少,引起肺严重发育不良而导致新生儿死亡。单侧受累者在出生后应定期随访观察,一般认为1岁内每3个月1次,然后每半年1次,随访至3岁,以后应每年1次超声检查随访。
(三)Potter Ⅲ型
为常染色体显性遗传的多囊肾(ADPKD),又称做成人型多囊肾,本病发生率约为1/1 000,主要病理特征是肾单位的囊状扩张及肾脏增大,为常染色体显性遗传。其特点为具有家族聚集性,男女均可发病,两性受累机会相等,连续几代均可出现患者。患者常表现为双侧肾脏肿大,皮质、髓质有多个液性囊肿形成并不断增大,继发肾功能损害,最终导致肾衰竭。可累及多个系统,如消化系统、心脑血管系统、中枢神经系统、生殖系统、形成肝囊肿、脾囊肿、颅内动脉瘤、心脏瓣膜异常等。此病具有迟发显性,常在30~50岁才发病,因此又称“成人型多囊肾病”。但根据最新研究表明,包括胎儿在内的任何时期均可发病。90%ADPKD患者的异常基因位于16号染色体的短臂,称为ADPKD1基因,基因产物尚不清楚。该区域的许多编码基因已被阐明并被克隆,在不久的将来,ADPKD1可望被确认。另有10%不到患者的异常基因位于4号染色体的短臂,称为ADPKD2基因,其编码产物也不清楚。两组在起病、高血压出现以及进入肾功能衰竭期的年龄有所不同。
本病超声表现与ARPKD相似,亦表现肾脏增大,回声增强,以及肾皮质改变程度与囊的大小程度很不一致(图1B)。但与ARPKD相反的是,ADPKD可较好地显示肾髓质,且肾髓质无明显增大。由于ADPKD不引起胎儿肾功能不全,因此,羊水量在正常范围。
本病的早期诊断可根据家族史及使用阴道超声以显示胎儿泌尿系统病变。很多学者做了大量的研究,认为早期诊断是可行的。ADPKDI临床上多是成人期才表现出临床症状,开始出现症状的平均年龄约为40岁,有的直至晚年仍然维持良好的肾功能。但本病亦可在小儿甚至胎儿期表现出来,此时仅有轻度肾脏疾病表现,而ARPKD患者出生后很快死亡,很少存活至成年期。ADPKD患者父母有一方常有此病。因此,当怀疑ADPKD时,应对父母双方均进行检查,如果父母一方患有此病,则对本病诊断很有帮助;如果父母双方均无此病,则ADPKD可能性不大。
产前诊断本病者,约43%病例在1岁内死亡,存活者中69%发生高血压,约3%在3岁内出现严重肾功能衰竭。本病的多数成人患者在40岁之前可无任何临床症状,50岁后可出现高血压和肾功能不全。本病复发危险性为50%。
(四)Potter Ⅳ型
此型是尿路梗阻所致的囊状肾。Potter认为,Potter Ⅳ型肾病是由于尿路闭塞而发生的,如尿道瓣所致梗阻使胎儿泌尿道中尿量增加,对肾单位产生压力而引起肾盂扩张和被膜下囊肿。严重者膀胱极度扩张,并合并肾盂扩张。胚胎发育时期上尿路完全梗阻将导致严重囊性发育不良的无功能肾,这种损害的结果与先天无肾畸形相似。由于超声检查能非常精确地发现病理改变的充液性病变,因此,很容易发现胎儿泌尿道梗阻。
Potter法是基于显微解剖学研究而制定的分类方法,各分类方法间有重复,也有一些疾病并未归入此法。
1987年美国儿科学会将肾脏囊性疾病分为遗传性肾脏囊性病变和非遗传性肾脏囊性病变。这种方法对超声医生也很重要,可以对人类胎儿期、婴儿期、幼儿期以及成人期各阶段肾脏囊肿进行检查。