6 月 10 日,记者从深圳国家感染性疾病临床医学研究中心 / 深圳市第三人民医院(南方科技大学第二附属医院)获悉,该院骨二科成功救治了一名多发骨结核患者。该患者刚到医院时呼吸困难、走路无力、胸背疼痛难忍,生活受到严重影响。深圳市三院骨二科为她量身定制手术方案,一次性完成胸椎等多个部位病灶清除的高难度复杂手术,耗时 5 个小时,出血量仅为 300 毫升。手术难度极高,在深圳尚属首例。

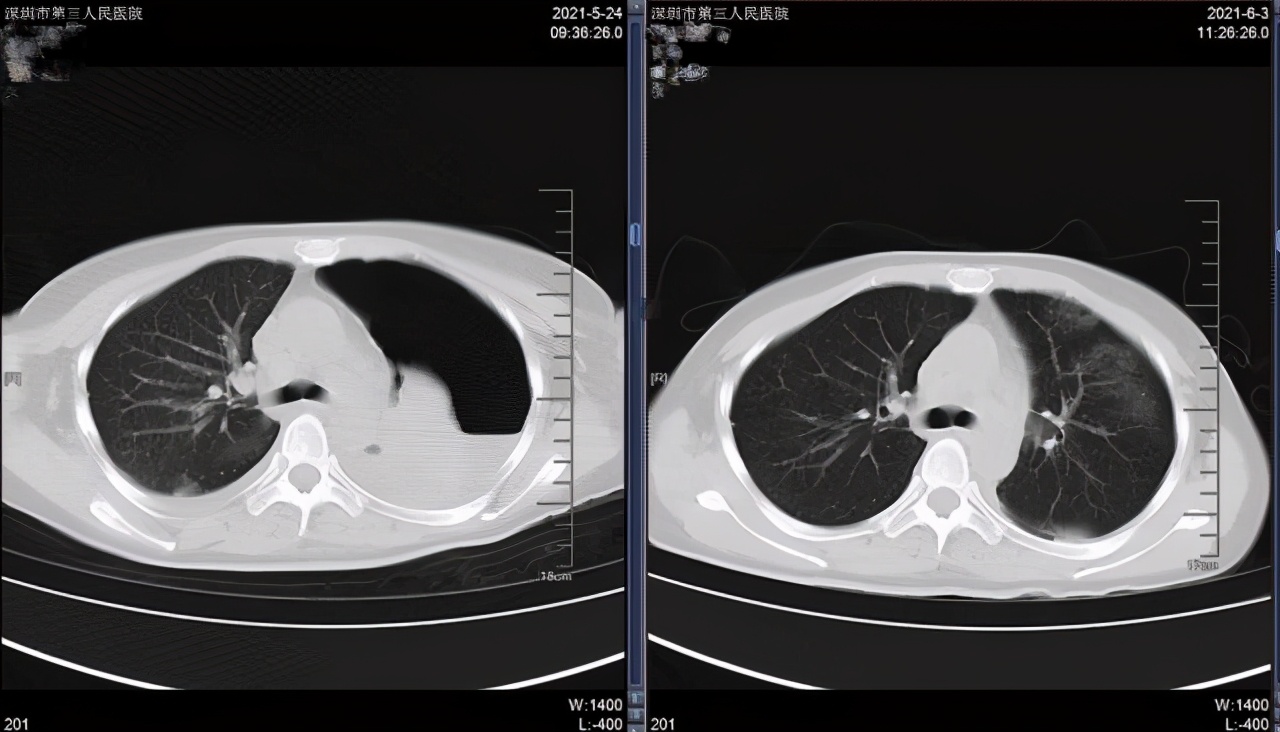
▲袁女士肺部治疗前后 CT 对比图
现年 36 岁的袁女士因严重的胸背疼痛,在今年 5 月份来到深圳市三院骨二科就诊,被确诊为跳跃型脊柱结核(即两处或两处以上不相邻的椎体都发生了结核),而她在此前 2 个月才刚被确诊为肺结核及支气管内膜结核。
袁女士入院时身体状况差,自身抵抗力低下,左侧支气管内膜结核使她出现了严重的左肺不张(即各种原因引起的肺组织塌陷)。左肺被压缩到只剩 10% 至 15% 在正常工作,加上脊柱结核带来的疼痛感,她每一次的呼吸都相当困难。
医生认为,首先要缓解袁女士的呼吸问题,解除左侧支气管阻塞使左肺复张,增加袁女士的呼吸容积,再进行下一步的治疗。经过纤支镜室两次支气管镜下治疗,袁女士左肺复张到了 60%,呼吸困难症状明显好转。
根据袁女士的病情,相关科室经过会诊,决定对她进行手术治疗。骨二科主任李宏伟提出,要一次完成 3 个手术:胸椎后路固定植骨融合术、经左侧第十肋开胸胸 11 椎体病灶清除椎管减压植骨融合术、经前路颈 7 椎体结核病灶清除减压植骨钢板内固定术。
"她的情况不能再拖下去了。"李宏伟介绍,袁女士目前已经出现了胸背疼痛及下肢无力的症状,如果结核继续进展,脊髓压迫进一步加重,会造成下肢瘫痪和大小便*禁失**。一次完成所有手术也有利于袁女士肺部康复的,同时也能减轻袁女士经济上和精神上的双重负担。
这台手术对骨科医生的技术要求很高,同时完成胸椎前后路及颈椎前路手术风险很大,而且不仅要把控风险,还要尽力减少出血量。此前深圳尚无先例。
手术由李宏伟指导,黄志刚副主任医师治疗组进行,用时 5 个小时顺利完成,术中出血仅 300 毫升。术后,袁女士的胸背疼痛及下肢无力的情况完全缓解,精神状况和食欲都改善了许多。
此后,袁女士继续在纤支镜室进行了支气管镜镜下治疗,改善支气管阻塞的情况。经过 3 次治疗,左肺已经复张至 90% 左右。
"很谢谢我的管床医生刘金柱医生,我来看病的时候只是想解决背疼和走路无力的问题,做完手术后本来不想再治肺了,但他耐心地给我讲道理,一直鼓励我,每次去做支气管镜时都陪着我一起。"袁女士表示,经过治疗,她的呼吸已经恢复了正常。
目前,袁女士恢复情况良好,已经顺利出院。
深圳晚报记者 王宇 通讯员 深三院