CT室来了一位姑娘,母亲陪着来的
一位26岁的姑娘,读高中的时候曾经查出肺结核,已经治愈。
咳嗽10多天,最近两天更厉害了,还开始发烧,会不会是结核复发啊?

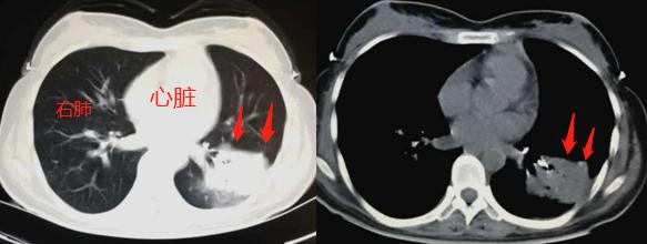
CT片显示:左下肺大片实变影(白色),形态不规则,边缘模糊,近端支气管狭窄。
这种影像从常见病考虑,有几种可能:
1.肺结核(干酪性肺炎);
2.肺炎(细菌、支原体、隐球菌等感染);
3.肿瘤(黏液腺癌或者不典型淋巴瘤),年轻人的肿瘤也不算罕见了。
会是哪一种呢?
要不要住院完善检查,或者抗炎治疗后复查再定?
有经验的医生走到哪里都受欢迎!
放射科没有着急出具报告,先请程主任出来会诊:
老主任在看片子之前,先做了放大和拆薄处理,之后盯着片子看了十多秒钟,指着这里说了5个字:

支气管异物!
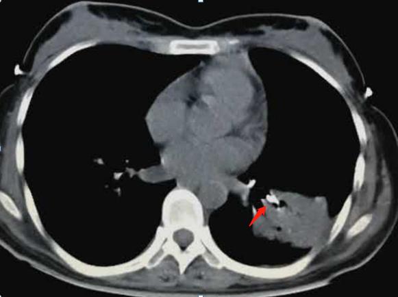
咦?病变近端支气管内有一小块白色的高密度影,这不是钙化?是气管内异物?
把姑娘喊进来问病史,10天前有没有吃过带骨头的食物啊?
大嗓门的母亲在旁边积极发言:
大夫,这不是闺女春节放假了吗,高兴!俺把养了一年的老母鸡给炖了。
姑娘也回忆道,啃鸡块的时候在看《疯狂外星人》,老搞笑了,呛了一下咳嗽过几声……
奥,线索明确了:鸡骨头呛到气管,引起阻塞性肺炎了,不是结核,更不是肿瘤了!
那接下来,就要请支气管镜出马了
在左肺下叶的段支气管里果然发现灰白色异物,顺利钳取:

肺部炎症还需要进一步消炎治疗,不过已经无大碍。
孩子母亲如释重负,埋汰自己闺女:
你都26岁了,怎么还能把鸡骨头吃到嗓子眼里?长点心吧闺女!
无独有偶:
这位姑娘其实还算幸运,有些病人误吞异物后反反复复十多年才找到病因。
下图这位女士3个月前受凉感冒,反复咳嗽、咳痰,遇到冷空气时更严重,这期间到诊所输过两次液,时好时坏。
难道是不好的病?
战战兢兢来医院做了肺部CT:

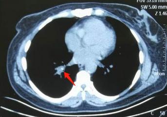
右下肺炎症,多发点片状影,支气管壁增厚,同时肺门去发现高密度影:

考虑支气管异物引发的阻塞性肺炎(病情迁延反复)。
请支气管镜室出面帮忙,钳取骨头一块,都发黑了:

本病例来自网友七彩神仙
吃饭时为何不能大声说话?
有些人嗓门大,吃饭的时候也不消停,说话时声门会开放,与食管上段相通,此时吞咽食物容易进入气管,大多可以咳出,但有些会落到支气管内,严重者有窒息危险!
前几天头条有个视频,讲到一位孩子被呛住,紧急送往医院,最终仍旧未能挽回生命……
对于气管异物,海姆立克急救法很有价值,关键时候可以救命,有心的朋友可以搜索学习一下!

生命千般美好,但意外总是突如其来!
食不言寝不语,要听老人言!
这里是影像科豪大夫,谢谢您的阅读,希望本文能起到某些警示作用!