妊娠期牙龈炎的高发原因
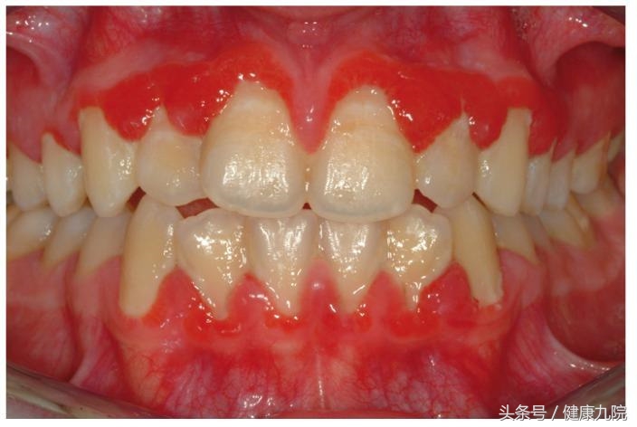
妊娠期牙龈炎是指妇女在妊娠期间,由于女性激素水平升高,原有的牙龈慢性炎症加重,使牙龈肿胀或形成龈瘤样的改变(图1,2),分娩后其可以自行减轻或消退。这里需要解释一下什么是慢性龈炎,慢性龈炎指细菌堆积在牙面上,释放各种内毒素刺激牙龈,产生牙龈炎症。患者自觉刷牙或咬硬物时牙龈出血,同时有可能伴有牙龈局部痒、胀等不适症状以及口臭。

图1 妊娠期龈瘤

图2 妊娠期龈炎
需要强调的是,妊娠本身不会引起牙龈炎症,但是对于本身不注意口腔卫生维护,致使大量菌斑牙石堆积于龈缘附近而引起牙龈炎的的患者,妊娠后体内性激素水平升高,牙龈对局部刺激的反应增强,可使原有的牙龈慢性炎症加重。有大量研究发现牙龈是女性激素的靶组织,随着妊娠的不断推进,血液中的性激素水平不断升高,它可以促进牙龈毛细血管扩张充血,血管通透性增加,炎症细胞和液体渗出增加,加重了牙菌斑所引起的炎症反应。同时女性激素的不断增加还可以帮助中间普氏菌的生长,这类细菌会导致牙龈炎症。
预防和控制妊娠期龈炎的重要性
预防和控制妊娠期龈炎,可以阻止牙周疾病进一步发展形成牙周炎。牙周炎是一类更严重的由牙菌斑引起的牙周组织感染性疾病,它可以引起牙齿支持组织破环,导致患者早期拔牙。同时有大量研究表明牙周组织周围的细菌可以释放入血,通过血液循环传播至母体子宫,进而刺激机体产生前列腺素。前列腺素可以引起子宫收缩,促进分娩。因此未加控制的牙周组织炎症还有可能导致早产以及低出生体重儿,会对孕妇以及胎儿的健康产生影响。
如何预防妊娠期牙龈炎
应该让育龄期妇女充分认识到妊娠期龈炎的是由于菌斑导致的,性激素水平的升高只是起到一个放大作用。在怀孕前应该进行详尽的口腔检查,如患有牙龈炎症应及时牙周洁治,控制牙龈炎症。在整个妊娠期应该加强口腔卫生,严格控制菌斑。掌握正确的刷牙方式,每天刷牙两到三次。养成早晚使用牙线的习惯,可辅助使用不含酒精的漱口水。有孕吐的患者在孕吐后,建议马上使用清水或苏打水进行漱口,避免马上刷牙。对于一刷牙就要引起孕吐的患者,建议先使用清水漱口,然后使用不涂有牙膏的牙刷进行刷牙,刷牙后使用含氟的抗菌性漱口水漱口。同时定期进行口腔检查。
如何治疗妊娠期牙龈炎
针对妊娠期牙龈炎,通常进行牙周的基础治疗,即龈上洁治以及龈下刮治,治疗时机通常在妊娠4~6个月的相对安全期进行。目的是去除一切局部刺激因素,如菌斑、牙石以及不良修复体等。由于患者处于妊娠期以及牙龈极易出血,所以操作者应特别仔细,动作轻柔,减少患者的疼痛与不适。其次应该认真做好口腔卫生宣教工作,让患者认识到菌斑控制的重要性。对于体积较大的妊娠期龈瘤患者,若已妨碍进食,在彻底清除局部刺激物的情况下可以考虑手术切除,但务必做好患者的安抚工作,减少患者的疼痛与恐惧,同时选在妊娠4~6个月的安全期进行,以免引起流产和早产。
作者:倪靖 上海交通大学医学院附属第九人民医院 牙周病科
原文刊登于《家庭医学》