
医脉通编译整理,未经授权不得转载。
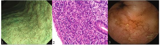
一名24岁女子因持续腹痛、水样腹泻及呕吐三个月而入院。实验室检测显示轻度炎症,c反应蛋白水平为0.72 mg/dL,白细胞计数为7290/mm3。粪便培养未检出致病菌。计算机断层扫描显示小肠黏膜增厚和大量腹水。内镜示大肠黏膜正常,除回肠末端的一些区域,其中窄带成像证明了绒毛消失(图1)。组织学检查示固有层淋巴细胞浸润严重,但未见明确血管炎(图2,H&E,×200)。胶囊内窥镜显示上空肠和盆腔回肠有广泛的瘀点,绒毛消失(图3)。入院1个月后,患者出现蝴蝶疹和关节炎。实验室检测显示抗核抗体的水平增加了640倍,抗双链脱氧核糖核酸抗体水平升高(35.2 IU/L 正常<12.0 IU/L)。患者随后被诊断为系统性红斑狼疮(SLE)和狼疮性肠炎。予以泼尼松龙(每天60mg)和他克莫司(每天2mg),临床症状开始缓解。

系统性红斑狼疮肠炎的发生率据报道为8%-27%。狼疮肠炎表现为黏膜下水肿、单核细胞弥漫性炎症浸润、血管炎从黏膜下向浆膜下延伸,在肠活检中难以发现。从SLE诊断到红斑狼疮肠炎发作的平均时间一般为5年。只有1.3%的患者在SLE发病时出现狼疮性肠炎。像我们的病人,SLE发病时唯一的症状是红斑狼疮肠炎,这样的病例非常罕见。即使没有典型的红斑狼疮症状,也有必要考虑红斑狼疮肠炎的可能性。黏膜水肿最初被报道为小肠病变,内镜检查显示。然而,随着小肠内窥镜检查的最新进展,糜烂、溃疡和疤痕与狼疮肠炎有关。
医脉通编译整理自:Kawai J, Kakimoto K, Miyazaki H, et al. Systemic Lupus Erythematosus from Lupus Enteritis[J]. Journal of gastrointestinal and liver diseases: JGLD, 2019, 28: 147.