随着年龄的增大,我们身体的各个部件多多少少都会出现不同程度上的损坏,而在我们骨科有一个常见且多发的疾病,这个疾病我们称之为‘膝关节骨性关节炎’,一提起这个病很多人不陌生,甚至有的人对还他恨之入骨,因为得过这个病的人都知道,这个病太折磨人了。这个病为什么这么常见还这么折磨人呢?今天我们就讲讲这个病。

骨关节炎是最常见的关节炎之一,是一种 非对称性 、非炎症性、无全身性征象的疾病,也称 退行性关节病 、骨关节病或增生性关节炎。由于它是一种退行性病变,就觉得了它的多发性,为什么呢?退行性指的是随着年龄的增大,器官也会变老的,这是一种不可避免的结局,就像人终究会变老一样,只不过有的人不显老而已,就像林志颖和郭德纲老师一样,岁数一样,但容貌却相差很多,膝关节也是如此,每个人都会变老,只不过有的人老的程度不同罢了,其特征是 关节软骨 发生原发性或继发性退行性改变,并在关节边缘有 骨赘 形成,病理变化以 软骨变性及软骨下骨质病变为主 。多发生在50岁以后, 女性 多于 男性 。最常受累的是 膝 、髋、手指、腰椎、颈椎等关节。


既然这样常见那么这个病的症状是什么呢?主要 临床表现为关节疼痛,常常发生于晨间,但是它有一个特点就是 活动后疼痛反而减轻,但如活动过多 , 疼痛又可加重 。另一症状是关节 僵硬, 常出现在早晨起床时或白天关节长时间保持一定体位后。检查受累关节可见关节肿胀、压痛,活动时有摩擦感或“咔嗒”声,病情严重者可有肌肉萎缩及关节畸形。这样的症状你们有过吗?岁数大也可以对照的看看。

我们很多人由于对这个疾病认识不清,常常导致我们采取错误的治疗方法,最终可能会适得其反,加重了病情,因此对于这个疾病如何治疗,我详细的告诉大家。
骨关节炎的 治疗目的 是 缓解疼痛,延缓疾病进展,矫正畸形,改善或恢复关节功能,提高患者生活质量 。 治疗原则 阶梯治疗 ,即根据疾病的严重程度、发病时间的长短,选择适合的保守治疗或手术治疗。

保守治疗
1、 改变现有的生活方式:刚刚有症状,症状间断发生,程度较轻的时候适合保守治疗。比如调整生活习惯和运动方式,避免膝关节负重增大的动作或运动,例如爬山、爬楼、下蹲、跪地等等。同时加强大腿肌肉力量的训练,比如直腿抬高练习。再辅助物理治疗,比如热敷、烤电,很多轻症的病人通过上述治疗就可以达到减轻症状、延缓发展的目的。
2、药物治疗: 对于通过上述治疗后疼痛症状缓解不满意的病人,可以间断加用消炎镇痛类的药物,再辅以拐杖减轻关节的负重。如果通过上述这些保守治疗措施能够缓解或控制关节疼痛,能够满足个人对日常工作生活的需要的话,就不需要手术治疗。

手术治疗
在基础治疗及药物治疗效果不佳或病情恶化的情况下可以考虑手术治疗, 手术治疗又有很多方法,主要包括微创关节镜清理术、截骨畸形矫正术、单髁表面置换术和全膝关节表面置换术,每个手术都有适应症,主要参考骨性关节炎的严重程度。
1、 微创关节镜清理术: 关节镜兼具 诊断和治疗 的作用,适合伴有关节内游离体或 半月板 损伤等症状的患者,通过关节镜游离体清理、半月板成型等,能减轻部分早、中期患者的症状。对于 晚期 患者,单纯行关节镜手术 治疗效果差 。

2、 截骨畸形矫正术:主要适用于关节退变程度轻,但关节 内翻或外翻畸 形明显的病人,这样的病人通过截骨矫正畸形,恢复关节正常的负重后疼痛会随之减轻。

3、 单髁表面置换术:这是保留自己膝关节的一种手术方式,我们称之为保膝手术,但是这种手术具备一定的条件,主要适用于中到重度关节磨损,但磨损尚且局限于胫股关节的前内侧间室、畸形较轻的病人,单髁表面置换术手术相对较小,不改变关节的运动学方式,恢复快,效果好。

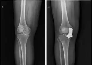
4、 全膝关节表面置换术: 全膝关节置换可以 彻底 消除关节疼痛,改善关节功能,是一种成熟且有效的治疗方法, 应用日益广泛。这也是一招解决疼痛的终极治疗方法。 但膝关节置换手术也是对手术技术和经验要求极高的手术,手术效果和手术技术的好坏关系很大,还是要找专业医生做这样的手术。

既然这是一种多发病那么我们日常上如何进行预防呢?虽然说这是一种退行性病变,但是如果我们平常加以预防或者采取一些保护措施,是完全能有效的延缓膝关节骨性关节炎的进展的。那么我们应该采取什么措施呢?请看下面。
(1)注意膝关节保暖,尽量穿着长裤(对老年人也可以带护膝,一方面保暖,一方面防止膝部受伤),不要把膝关节直接暴露在冷空气中。
(2) 发作期减轻受累关节的负荷,可使用手杖、助步器等协助活动。
(3) 建立合理的日常活动方式 :避免关节过度负重,长时间处于某一体位,特别是小于90°,不要久坐、久站。应适当活动关节,如多游泳,坚持多骑自行车,少走路,尤其是少上下台阶及走不平路。
(4)减轻体重:对肥胖人应节制饮食,减少体重,减少关节的承重,多摄取含蛋白质,维生素及矿物质食物。
(5)热敷:以改善血液循环,减轻膝部不适,缓解膝部疼痛和肌肉痉挛,减轻肿胀。热敷以湿敷为好,如热气浴、温泉浴。也可用热毛巾湿敷,但注意如果关节有红肿时应停热疗。高血压、心脏病者慎用,夏天气温高时更需注意(急性期停止热敷)
总结: 膝关节炎是逐渐进展的慢性疾病,除药物治疗以及手术治疗外,患者的基础治疗尤为重要,具体包括改变生活及工作方式、运动治疗、关节功能训练等。尤其对于早期患者进行有效日常生活管理可明显减轻疼痛症状、维持关节功能,延缓病情进展。