今年56岁的刘先生,4个月前不慎摔伤了头部。当时有口鼻流血,治疗几天后好了,出院了,这几天来出现了头痛、头晕、右眼痛、眼球突出、视物模糊的,还充血。另有一个特殊的情况,脑袋里面好像经常火车在叫一样,信了迷信,做了CT也没有发现什么问题。找神经外科专科医生仔细检查:触摸其右眼眶部有轻微震颤,听诊可听到吹风样杂音,按压右颈总动脉杂音可减轻。诊断考虑为外伤所致少见颈内动脉海绵窦瘘可能性大。需要做脑血管造影才能明确。

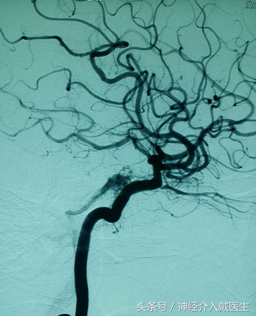
经脑血管介入造影术。果然,右侧颈内动脉海绵窦瘘这个真凶被清楚地展现出来,主要是由于车祸伤导致的颅骨骨折,刺破颈内动脉,导致血流冲向海绵窦内所致。在海绵窦有动静脉,有许多脑神经。

找到了病因,就要治疗,医生为其进行了微创的海绵窦瘘栓塞术。

手术后效果正位像。

手术后效果侧位像
介入手术顺利完成,瘘口完全封闭,脑血流恢复正常,颅内杂音立即消失,眼结膜充血逐步消失。
颈内动脉海绵窦瘘是指多种病因使颈内动脉与海绵窦间存在一直接瘘道,使动脉血直接经瘘道进人海绵窦,从而产生一系列循环紊乱的临床症候。其病因分为外伤性、自发性、先天性,其中前者占80%。尤以头面部外伤中颅底骨折居多。典型表现有:结膜充血、水肿;眼压升高,眼眶或眶后疼痛,视力障碍,搏动性眼球突出,眼眶或颅骨表面血管杂音。
此病发病率较低,许多患者病史不明确,早期临床表现轻微,体征隐匿。加之经验不足,一般会去看眼科医师,
由于对该病的临床表现认识不足,检查条件有限,导致患者长期误诊。所以一旦出现上述症状时一定要到神经外科或者介入科找专科就诊。过去颈内动脉海绵窦瘘的治疗主要依靠神经外科的开颅手术,这类手术一般难度大,效果也不理想,因而致死、致残率高。随着神经介入医学的发展,使得颈内动脉海绵窦瘘的治疗有了新的手段,也使该病成为一种可以用介入放射学技术取代外科手术的疾病。
更多专业,系统脑血管疾病健康知识园地,请关注☞神经介入戴医生头条号,欢迎转发。科普健康,传播正能量也是一项功德。如疑问,欢迎咨询。
以诗为志,以词为铭,以之为励。