作者:谭友文
江苏大学附属镇江三院
临床常将病因未明的疾病冠以“不明原因”,笔者觉得,不明原因欠妥,会误解为是新的未知疾病,事实上,我们常遇到的疾病只是由于我们自己的认知能力有限,病因是已知的,只是我们未找到,称呼“未知的”更合适。今天,笔者就将交流一例这样的病例。
病例介绍
患者,男性,55岁,因“乏力、纳减、腹胀伴尿黄12天”入院。
入院时查肝功能:TBiL 128.1 μmol/L,DBiL 95.6 μmol/L,ALT 1046 U/L,AST 937 U/L,ALP 203 U/L,GGT 1048 Ul/L。
全腹部增强CT提示:肝门汇管区肝总管及胆总管上段管壁增厚伴强化,左半肝管扩张。
考虑梗阻性黄疸,肝门部新生物可能,住院后9月12日行ERC+EST+ENBD术,肝内胆管部分显影不扩张,未见结石与占位性病变,放置鼻胆管引流。引流胆汁清亮。
术后黄疸继续加重,一周后TBiL 260.7 μmol/L,DBiL 192 μmol/L,ALT 698U/L,AST 953 U/L,ALP 185 U/L,GGT 490 U/L。
上腹部MRI增强提示:肝门汇管区肝总管管壁增厚伴狭窄,左半肝管扩张伴胆管炎。住院过程中查抗HEV-IgM、IgG双阳性,诊断急性戊肝。

图1 患者影像学检测结果
入院后查游离三碘甲状腺原氨酸 7.31pmol/L、游离甲状腺素 37.39pmol/L、抗甲状腺球蛋白抗体 405.7IU/mL、抗甲状腺过氧化物酶抗体 442.3 IU/mL。考虑甲状腺功能亢进。
入院坚持内科降黄保肝与鼻胆管引流治疗。一个月后,患者消化道症状加重,胆红素水平继续上升。TBIL 390.7 μmol/L、DBIL 330.9μmol/L、ALT 94 U/L、AST 90 U/L、GGT 265 U/L、总胆汁酸 13.8 μmol/L、胆固醇 5.74 mmol/L;肾小球滤过率评估值:68.18 mL/min;尿素 9.11 mmol/L、肌酐 106.0 μmol/L、甘油三酯 5.10 mmol/L、高密度脂蛋白 0.21 mmol/L、载脂蛋白A 0.46g/L、载脂蛋白B 2.94g/L,余正常;甲胎蛋白(AFP) 71.84 ng/mL。
患者病情除肝功能转氨酶下降外,无任何好转。除戊肝双抗体二次检查均阳性外,其他病毒性肝炎、自身免疫性抗体、免疫球蛋白、IgG4等检测均正常。
10月7日,重新调整方案,包括:(1)拔除鼻胆管引流;(2)肝穿刺病理检查;(3)加用甲泼尼龙20 mg/天;(4)人工肝治疗(DPMAS+PE)。
第二天,病情好转,症状消退,黄疸减轻。一周内的总胆红素(TBIL)变化如图2。

图2 患者一周内的总胆红素(TBIL)变化
(请注意横坐标的时间)

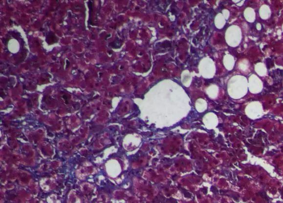
图3 患者的病理切片(HE染色)

图4 患者的病理切片(Masson染色)
患者肝脏病理解读(图3、4):肝细胞少许灶性坏死和炎症,轻度界面炎,毛细胆管、肝细胞、胆小管均有淤胆,波及3、2、1区,汇管区无水肿、散在中性多核细胞浸润,未见大量单核细胞,CD38阳性细胞相对较多。未见胆小管的明显异常。汇管区无明显纤维化,中央静脉及窦周纤维化。
病理诊断:急性炎症,胆汁淤积症,非酒精性脂肪性肝炎(NASH)。
目前临床诊断为急性戊肝合并甲状腺机能亢进。
胆汁淤积性肝病
胆汁淤积性肝病的病名和诊断存在诸多问题,缺乏规范和统一。2009年的欧洲肝病学会(EASL)指南,以及2015年的中华医学会肝病学分会、消化病学分会、感染病学分会联合制定的胆汁淤积性肝病诊疗共识,均推荐将ALP超过正常上限的1.5倍,且GGT超过正常上限的3倍作为诊断胆汁淤积性肝病的标准。
胆汁淤积性肝病以肝内胆汁淤积多见,但不限于肝内疾病。根据胆汁淤积发生的部位不同,胆汁淤积可分为肝内胆汁淤积和肝外胆汁淤积。
肝内胆汁淤积与肝细胞功能障碍或肝内胆道病变有关。根据细胞学损害的部位不同,可将肝内胆汁淤积分为肝细胞性、胆管细胞性和混合性。
(1)肝细胞性胆汁淤积的病因主要包括:病毒性肝炎、药物性肝损伤、酒精性肝病、非酒精性脂肪性肝病、妊娠期肝内胆汁淤积、遗传性疾病和各种原因所致的肝硬化等。
(2)胆管细胞性胆汁淤积的病因主要包括:自身免疫性肝病、药物性胆管病、管壁发育异常和各种原因所致的继发性硬化性胆管炎等。
肝外胆汁淤积症主要由胆、胰、十二指肠乳头及其周围病变和毗邻脏器肿瘤侵犯所致。结石、寄生虫、粘蛋白分泌物、假性囊肿等阻塞或压迫胆道,肿瘤侵犯、炎症、手术损伤、肝移植术后胆道并发症、十二指肠乳头病变、胆胰管先天性畸形、胆胰汇合异常等因素会阻塞胆管,引起黄疸,常导致感染、内毒素血症、肝功能损害、营养不良、肝纤维化、甚至肝硬化,临床表现为肝胆组织损害和全身各系统发生一系列病理生理变化症候群。
混合性胆汁淤积则指肝细胞和胆管细胞均有损害。
诊疗体会
对于本病例,我们给出的诊断是急性戊肝合并甲状腺机能亢进,此诊断可以解释患者病情的变化,尤其肝功能的明显异常与快速恢复。肝脏病理也支持急性的肝细胞损伤与胆汁淤积——急性戊肝和甲亢均可以造成肝内的胆汁淤积。
此外,调整治疗策略后,DPMAS+PE的应用取得奇效,我们也曾将这项技术应用于甲亢导致的严重肝功能衰竭,并得到了同行认可(World J Clin Cases. 2019 May 26;7(10):1184-1190)。
但该患者明显的左肝内胆管的扩张并不能以此诊断解释。反复多次的影像学检查,ERCP并未发现梗阻性病灶。而患者目前的肝功能已接近正常,尤其是ALP已在正常范围内,TBIL、GGT接近正常,似乎也不支持肿瘤性病变诊断。可扩张的左肝内胆管也难以用肝内胆汁淤积来解释,在此留下了疑问。
另外,该例患者影像学未提示明显的脂肪肝,但肝脏病理学有明显的窦周纤维化,脂肪性变>5%,且气球样变、小叶炎等,NAS 5分,可支持NASH的诊断。
参考文献:
[1] European Association for the Study of the Liver. EASL Clinical Practice Guidelines: Management of cholestatic liver diseases[J]. J Hepatol. 2019 51(2): 237-267.
[2] 中华医学会肝病学分会, 中华医学会消化病学分会, 中华医学会感染病学分会. 胆汁淤积性肝病诊断和治疗共识(2015)[J]. 中华消化杂志, 2015, 35(12):39-51.
谭友文
主任医师 博士
江苏大学硕士生导师
江苏大学附属镇江三院肝科主任

医脉通专栏作者
欢迎投稿│tougao@medlive.cn