
神经介入在线原创文章,如需转载请留言

作者|洪全龙,张义森,姜鹏,马宁
单位|首都医科大学附属北京天坛医院
本
周我们汇报一例右椎动脉V4段长段重度狭窄血管内介入治疗过程,具体如下。

病例详情
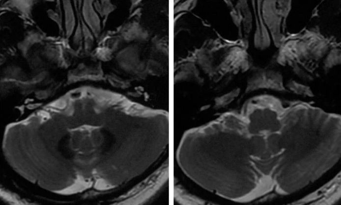
患者,男,46岁,主因“头晕3个月,眩晕伴恶心呕吐2个月”入院。患者3个月前突发头晕,伴头部昏沉感,持续时间短,程度轻,初未予重视。2个月前出现眩晕,伴恶心呕吐,就诊当地医院,行头颅MRI:左侧小脑小灶梗死,右椎动脉V4段狭窄,基底动脉远段显影欠佳,左椎动脉V4未见显影(图1,2)。

图1

图2
外院DSA:右椎动脉V4段次全闭塞,基底动脉有顺向显影,前向血流减慢;左椎动脉V3段闭塞,见基底动脉经脊髓前动脉代偿显影(图3,4)。

图3

图4
予以双抗及降脂药物治疗后,患者症状缓解,为进一步治疗收入我院。
既往史:高血压病,吸烟。
体格检查:NS(-)
化验检查:血栓弹力图:AA 97.1% ,ADP 70.1%。
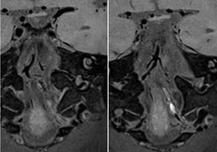
头部CTA+CTP:右椎动脉V4段长段重度狭窄,左椎动脉V3段闭塞,基底动脉近端见开窗(图5);后循环分布区低灌注(图6)。

图5

图6
高分辨磁共振:左椎动脉闭塞,管腔可见高信号血栓,负荷量较大。右椎动脉管壁增厚,管腔狭窄(图7)。

图7
入院后继续予双联抗血小板(拜阿司匹林肠溶片100mg 1/日+氯吡格雷75mg 1/日)、降脂(瑞舒伐他汀钙片10mg 1/日)等治疗
术前讨论
●1.患者后循环缺血症状入院,左椎动脉V3段及右椎动脉V4段考虑系本次犯病责任血管,左椎动脉血栓负荷量大,闭塞长度长,开通困难。而右椎病变经过抗栓治疗后病变严重程度有所改善,拟处理右椎动脉V4段病变。
●2.治疗策略:小直径长球囊扩张后再放置自膨支架。
● 3.相关风险:穿支闭塞事件及后循环区域术后高灌注。
治疗过程简述
全麻下右股动脉入路, 将6F导引导管放至右椎动脉V2段远端,造影示右椎动脉V4段重度狭窄,狭窄率约为95%,狭窄长度13mm(图8)。

图8
路径图下沿导引导管送入Transend微导丝(0.014″,300cm)越过病变至基底动脉中段,沿微导丝送入Gateway球囊(2.75mm×15mm)于狭窄处预扩张(图9)。

图9
其后送入XT-27微导管,释放Neuroform EZ (4.0mm x 20mm )自膨式支架,造影提示支架释放后支架贴壁良好,前向血流TICI 3级(图10)。

图10
术后查体同前。
术后立即复查头CT未见出血(图11)。

图11
术后复查头颅CTA:右椎动脉V4段支架内通畅(图12)。

图12
讨论
对于颅内动脉狭窄,狭窄程度较长病变,经充分预扩张后,也适合再放置尺寸较长的Off-label自膨支架。本例预扩后,血管弹性回缩明显,放置完支架后因狭窄程度明显改善,遂未继行后扩张治疗。类似病例的远期疗效还有待长期随访观察。
欢迎大家在下方留言区讨论关于本病例的看法~
