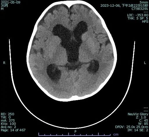
2岁的悠悠(化名)最近间歇性呕吐,家长刚开始以为孩子只是消化问题,可是随着悠悠开始出现头晕、走路不稳、精神差,并伴随间断性肢体无力的现象,家长才慌慌张张赶到医院做了检查。 CT显示:鞍上池囊肿、幕上脑积水。
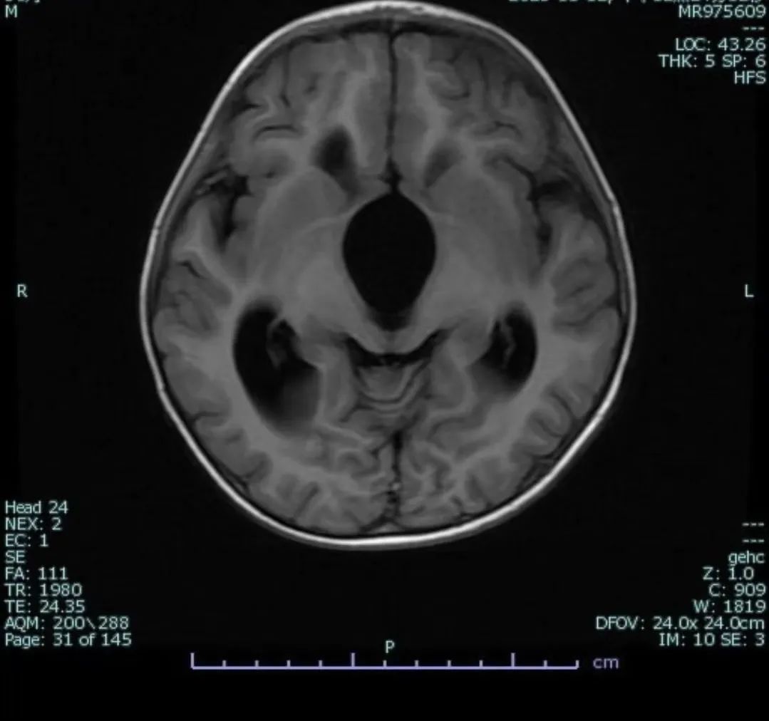
心急如焚的家长急匆匆来到了郑州大学第三附属医院(河南省妇幼保健院)神经外科。主任医师 张云鹤对悠悠进行了仔细检查后,指着片子对家属说:“看这张片子的构图像不像个‘米老鼠’?正常的片子是不会呈现这种影像的。这两个‘米老鼠’的耳朵,是扩大的侧脑室额角,‘米老鼠’的大鼻子(脸),是囊肿不断长大后,被其撑大的三脑室,这是典型的鞍上池囊肿的影像学表现。”

张云鹤说:“鞍上池囊肿治疗方式有两种,传统治疗方式是显微镜下手术切除囊肿,因囊肿周围解剖结构复杂且非常重要,手术创伤相对较大,手术中稍有不慎,可能会出现昏迷、癫痫、电解质紊乱等并发症。另一种治疗方式就是行微创手术,在脑室镜的辅助下进行鞍上池囊肿造口术。对周围组织创伤小,并发症少。你们不用担心,这个病一般预后良好,不会影响孩子的生活。”
悠悠的父母听到了张云鹤对病情耐心的解释和分析后,决定采取第二种手术方式——微创手术。
在充分的术前讨论及准备后,悠悠被送往了手术室,进行“ 脑室镜下鞍上池囊肿造口术 ”。术中脑室镜下,医生发现囊肿阻塞了室间孔,并与周围脑组织粘连紧密。他们用双极电凝小心的灼烧囊肿壁,造口大小约1cmX1.5cm,开通了囊肿内部与脑室系统的桥梁。张云鹤带领王迎宾主治医师、刘金瑜主治医师,在手术室麻醉科的大力配合下,手术顺利完成。

手术后,悠悠没有出现任何并发症,在神经外科医护团队精心的护理下,肢体运动很快恢复了正常,活泼好动的他又恢复了往日的生活,现已康复出院。

妇幼健
郑州大学第三附属医院神经外科专家提醒家长:
鞍上池囊肿 是指位于颅底鞍区的囊性病变,多见于儿童。囊肿较小,一般无明显阳性体征的,不需手术治疗,长期随诊观察,定期测量头围,监测神经系统发育,定期进行影像学检查。而囊肿较大,有神经系统症状,则需要手术干预。
1、鞍上池蛛网膜囊肿 较常见,占幕上蛛网膜囊肿的第二位,好发于儿童,5岁之前占比约50%,男性稍多于女性。
2、临床表现:
(1) 脑积水,婴幼儿主要表现为头围增大、生长发育迟缓、甚至智力低下。大多数病例伴有脑积水。
(2) 内分泌功能紊乱,如性早熟、生长激素水平低下等等。约10%-60%病例出现。
(3) 视力下降、视野缺损等。约1/3左右病人出现。
(4) “玩具样点头”综合征,头部无规律不自主的前后运动,约10%左右病例出现。
(5) 步态共济失调、角弓反张。
3、治疗:
(1) 开颅囊肿切除和开窗术(目前临床已少用)
(2) 囊肿-脑室-腹腔分流术(效果差,需终身带管,不推荐)
(3) 神经内镜导引开窗术(疗效确切,创伤小,目前为主要手术治疗方式)
悠悠采取的就是微创手术。近年来,郑州大学第三附属医院鞍上池囊肿脑室镜微创治疗病例越来越多,技术逐步成熟。郑州大学第三附属医院神经外科团队将会继续紧跟颅脑疾病治疗的前沿发展方向,精进医治技术,不断为患者解除病痛。
( 部分图片源自网络,如有侵权联系删除。 投稿邮箱zdsfy@126.com )
文图:神经外科 陈鹏 王迎宾 谌婧
审稿专家:单峤
编辑:冀冰冰
责编:张利民
审核:华小亚