
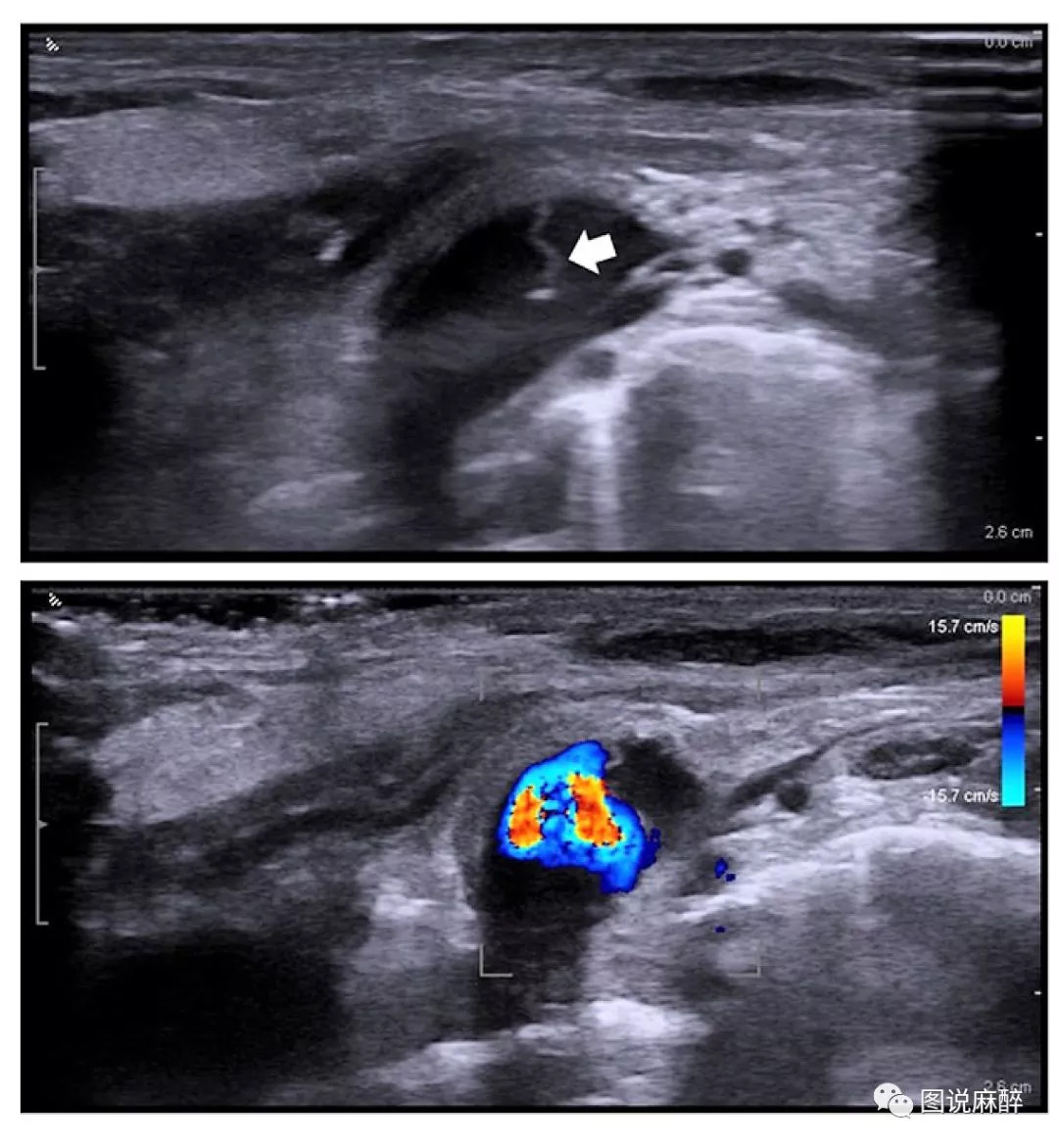
上:颈内静脉的2D超声图像,箭头所指为一瓣状物;
下:多普勒图像,横截面瓣状物右侧无血流;

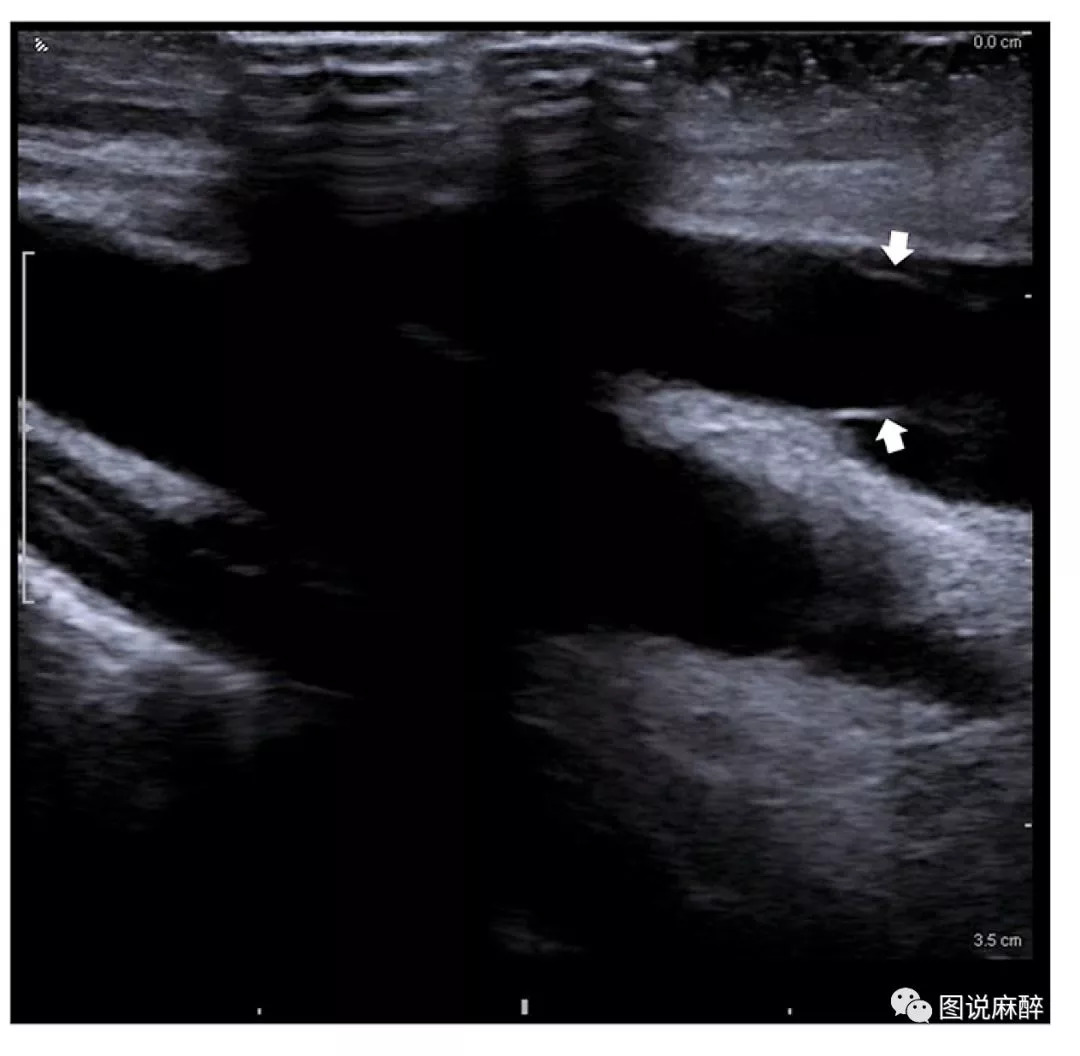
颈内静脉长轴观,可见瓣状物为颈内静脉瓣。
病例介绍
56岁行肝移植术患者,行左侧三腔深静脉导管置入(三金注:右侧可能考虑行肺动脉导管置入),穿刺点平环状软骨。
Seldinger穿刺技术,导丝置入15cm感觉阻力增加。退出导丝,回抽有血确认针尖位于血管内。
重新置导丝,同样位置遇到阻力,其后稍撤回导丝置入导管,深度12cm,置管顺利。
然而
奇怪的是主管回抽不畅,但是推注却没问题。同时,两个侧管推注、回抽都很畅。
作者担心有静脉内膜损伤,安全起见,拔除此导管,体外测试主管是OK的。后在超声引导下右侧置入中心静脉导管,手术顺利进行。
术后,超声扫查在左颈内静脉内发现瓣状物(如上图),位于穿刺点下方5cm,担心可能是血栓或者静脉内膜撕裂形成的夹层。但穿刺过程顺利,夹层发生的可能性极小,并且右侧颈内静脉超声也发现类似的结构,遂决定先观察。
术后一周,再行超声检查,未见变化,多学科会诊后共同认为是颈内静脉瓣(IJV valves)。
三金说
颈内静脉瓣存在于大多数的个体(88-100%),大多双侧对称,且大多为双瓣叶(77–98%)。
声像图上颈静脉瓣呈带样强回声,根部附着于静脉壁上,瓣膜游离缘指向心脏方向。
临床穿刺中碰到不多,主要是因为静脉瓣大多位置较低,有一半位于锁骨后方。且导丝“J”型头柔软,可随血流方向顺利穿过。
颈内静脉瓣可以承受100mmHg的压力,作用是防止右心房血液逆流入脑,例如在咳嗽和行Valsalva动作的时候。
三金粗略看了几篇个案报道,好几个是终末期肝病患者,考虑可能是长期的静脉压增高,导致了瓣膜结构的改变。
另外,大家以后看术前超声报告的时候留意,有时候会打上“颈内静脉瓣冗长”的描述,也可能导致颈内静脉置管失败。
今天就到这里,最后来一张ANESTHESIOLOGY杂志2010年发的高清大图。让我们脑中留下印象,下次钢丝遇到阻力了多留个心眼,超声看一下。

Reference:
-
Sun, M. S., C. Y. Chen, et al. (2018). "Valves in internal jugularvein: A reason of difficult central venous catheterization." J ClinAnesth 44: 60-61.
-
Fukazawa, K., L. Aguina,et al. (2010). "Internal jugular valve and central catheterplacement." Anesthesiology 112(4): 979.
本文经授权转载自公众号“图说麻醉”
声明:本微信公众号所刊载原创或转载内容不代表新青年麻醉论坛观点或立场。文中所涉及药物使用、疾病诊疗等内容仅供参考。

点击“阅读原文”探索新青年医学之家