今天有一位患者提到过牙齿颜色的问题。他说:“大夫,为什么我的牙齿有点发黑?”通过诊断后,大夫给他下的诊断是牙髓坏死。但是能够导致牙齿变色的原因往往不止这一种,希望通过本篇文章,能对有这方面疑问的患者有所帮助。
牙髓坏死
牙髓坏死的牙齿往往是暗黄色或者是灰黑色,说是坏死了,但并不意味着一定要疼的死去活来的。通常是他变颜色变得很明显,你才能发觉。
常见的牙体缺损可以导致牙齿坏死,牙周组织疾病也可以导致感染通过根管使牙齿坏死。

氟斑牙
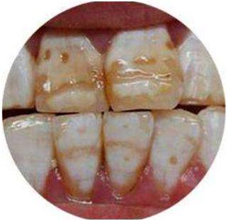
这种牙齿和生活地区的水质息息相关,在牙齿发育阶段摄入过量的氟元素会导致牙齿发黄甚至缺损。
但是氟元素对我们牙齿而言是把双刃剑,补充一定量的氟不止不会导致牙齿变色,甚至还能使牙齿抵御龋坏的能力增强。
在网上购物的人能看到含氟牙膏,它的使用却是个学问,还是要结合当地情况、小孩年龄,医生的指导才能够起到真正的作用。

四环素牙
四环素这种抗生素在国内用的已经比较少了,这与它的副作用不无关系。因为牙本质、牙釉质代谢缓慢,所以这种染色基本上是永久的。

牙釉质发育不全
还有的人的牙齿明明是同一颗却有的地方白的特别明显。这可能是牙发育期间某种原因导致的牙釉质发育不全。

有老人认为这是缺钙了,多吃点钙片就好。缺钙确实是导致釉质发育不全的原因之一,但是后期补钙是影响不了已经发育完成的牙齿的。
所以注意预防才是防止原则的第一条。