近日,山西医科大学第一医院口腔颌面外科与神经外科、麻醉科、手术室等多学科协作,成功切除了一例巨大颅底沟通性肿瘤,目前患者恢复良好。

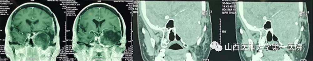
患者是一名老年女性,早在7年前诊断为颅底“胆脂瘤”,7年来已经接受了三次开颅手术治疗,近期出现的头痛、视力减退、面部麻木等症状预示着肿瘤可能再次复发。经MRI和CT检查后发现其肿瘤不仅复发,而且较以往体积明显增大,最大直径达8.5cm,最麻烦的是肿瘤所处的位置非常“尴尬”,像一颗“*弹炸**”深深地卡在了中颅底,约1/4部分瘤体位于颅腔,其余3/4凸向翼腭窝、颞下窝。“巨大的肿瘤体积、复杂的解剖位置、既往多次手术史”等不利因素,为本次手术治疗带来了巨大挑战。术前由医务处牵头组织由口腔颌面外科、神经外科、麻醉科、手术室等组成的多学科团队对手术方案进行了周密部署,对术中风险进行了充分评估并制定了应急预案。


经过对“手术入路、硬脑膜修补、颅底缺损重建、颈内动脉和海绵窦等毗邻结构保护”等系列高风险环节的反复研究,最终定为由口腔颌面外科先行颈-颌入路、上颌骨、颧骨部分切除,充分显露后先切除颅外3/4部分瘤体,再通过颅底骨缺损“窗口”由神经外科完成颅内部分瘤体的切除与硬脑膜的修补,最后采用股前外侧肌皮瓣游离移植修复颅底、翼腭窝、颞下窝巨大无效腔。为了使手术方案进一步可靠,口腔颌面外科团队术前采用数字化技术对手术入路进行了虚拟验证,并从三维立体方向对肿瘤周围的重要结构进行全方位掌握。
最终经过近10小时的鏖战,手术团队按照既定方案为患者彻底切除了肿瘤。患者术后送神经外科监护室进一步观察治疗,目前已转至普通病房。

负责主刀的口腔颌面外科南欣荣主任介绍,这是口腔颌面外科和神经外科2021年合作完成的第三例颅底沟通性肿瘤切除术,相较前两例,其体积更为巨大、更富有挑战性,因为肿瘤毗邻的海绵窦、颈内动脉等重要结构的损伤往往是致命性的,翼腭窝、颞下窝等解剖结构位置深在,要获得充分显露是件很不容易的工作。更棘手的是,术中需要设法消灭巨大颅底肿瘤切除后的死腔,以防引发严重术后感染。此外,颈-颌入路还需保证患者的面型、张口、咬合等重要生理功能的最低程度干扰,可见颅底交通性肿瘤的切除是一项多学科、系统性工程。
本次手术的成功实施是又一次多学科合作的成果,也是对山西医科大学第一医院口腔颌面外科在头颈肿瘤切除及修复重建方面技术力量的又一次检验,标志着山西省颅底肿瘤外科实力跨入国内先进行列。
来源:口腔颌面外科 责编:李琳 汤华