车祸后双眼失明
9月27日,家住清远的30岁男子赵某外出时不慎发生车祸。据家属回忆,赵某当时整个人被撞倒在地,脑袋先落地,全身多处擦伤。“流了好多血。”幸运的是,赵某很快就被路人送到当地医院治疗。“我们在医院看到他时,意识还是模糊的。”
当地医院检查提示颅骨骨折伴脑挫裂伤。经对症治疗后,赵某恢复了意识,能够说话,但他却看不见东西了!“我们都担心他瞎了,他还一直说头好痛。”外院医生怀疑赵某是在车祸过程中造成了视神经受压。为寻求进一步治疗,赵某家属将他送到广东三九脑科医院。
微创手术助其恢复光明
我院神经外二科副主任林涛在接诊时,发现患者神志清醒,能够正常交流。在查体中,发现患者头部及面部有多处挫裂伤;双眼眼睑肿胀伴淤紫,对光反射消失,视力检查无光感。我院头颅CT检查提示患者左侧颞部、双侧额部畸形硬膜外及硬膜下血肿,双侧额叶脑挫裂伤,颅内积气,双侧多发颌面骨骨折。
针对该患者情况,神经外二科团队进行了反复讨论。患者发生车祸后,虽然出现颅骨多发骨折、肋骨骨折、锁骨骨折、双侧额叶脑挫裂伤等,但幸运的是,暂无明显生命危险。林涛分析,“颅底骨折所致视神经嵌压后造成患者失明,并有脑脊液漏。解除视神经受压是当务之急。”

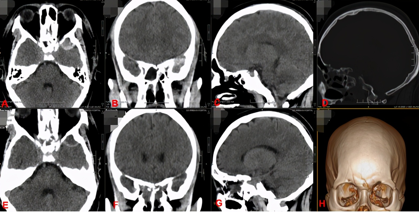
图A、B、C、D、H所示为患者发病后出现颅骨多发骨折,视神经受压。
图E、F、G所示为患者术后改善情况。
综合考虑后,神经外二科团队急诊为患者实施“经鼻内镜下经筛蝶入路视神经减压+脑脊液漏修补术”。该术法不仅解除了患者骨片直接压迫和积血的局部刺激,还解除了视神经骨管引起的局部高压力状态。
术后麻醉醒后,赵某高兴地拉着家人的手说:“好像能看见了一点点光了!”住院一段时间后,赵某的视力逐渐恢复正常。出院时,他已经能够正常看东西,生活自理。
神经内镜微创手术
林涛介绍,颅脑外伤伴发的视力下降中,约九成以上属于管内段视神经损伤。视神经管骨壁的破裂变形,会导致视神经同样发生弯曲变形,局部受压;骨折片嵌插也会导致视神经割裂。两者都可继发视神经水肿、出血,产生继发性神经传导功能障碍。
通过手术开放视神经骨管,不仅可以解除骨片的直接压迫和积血的局部刺激,还可以解除视神经骨管引起的局部高压力状态,有利于缓解视神经水肿,减轻动脉血流阻力,改善视神经的微循环,从而减少不可逆损伤发生、帮助视神经功能恢复。“一个微创手术可以同时解决患者的两个问题。”
随着神经内镜的广泛应用,神经内镜手术范围已超出鼻腔和鼻窦,向邻近区域如鼻眼区域、前颅底和侧颅底等延伸。神经内镜下经筛蝶入路视神经减压术具有手术视野清晰,进路直接,手术标志清晰,邻近组织损伤少,并发症少;手术时间短,术中止血方便、出血少;术后处理简单,面部不留疤痕,易为患者接受等优点。