口腔健康 全身健康



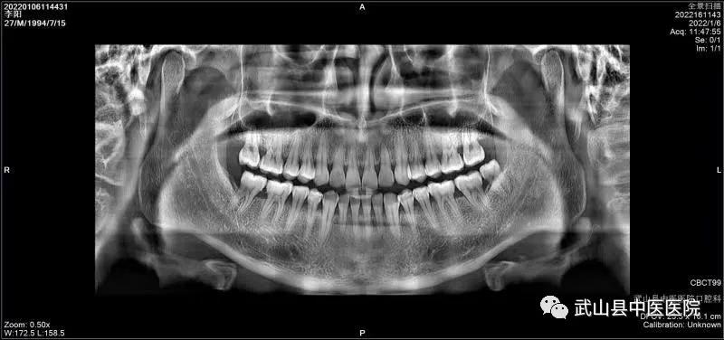
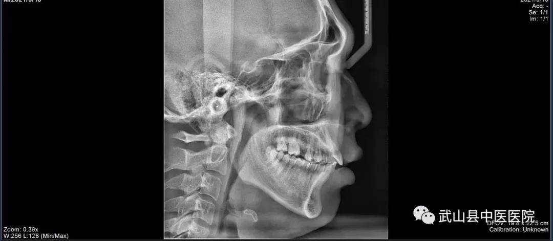
为了更好地服务全县人民,满足人民群众口腔健康需求,实现“口腔健康、全身健康”的目的。武山县中医医院口腔科引进集全景、头颅、CBCT功能于一体的三合一口腔CBCT设备,该设备可以清晰地显示牙齿颌骨的细微结构及牙体牙髓牙周组织,进一步增强了县中医医院口腔科诊疗水平 。

(伯爵口腔CBCT)
CBCT的应用领域非常广泛,可以运用于口腔学科的各个细分领域,包括种植、正畸、口腔颌面外科、牙体牙髓病、牙周病、颞下颌关节疾病等细分领域。三合一口腔CBCT具有自动咬合定位、三点头颅定位系统、主动侦测颌弓形态、快速投照功能,是更加精细化、专业化的诊断工具,适用于颌骨骨折、骨质破坏(肿瘤、囊肿、骨髓炎、骨结核)、牙齿损伤(牙折、牙脱位)、阻生牙拔除前的治疗计划,为检查修复的牙体邻面及旧修复体周围牙体组织有无龋坏、牙周组织的损害、牙槽骨吸收情况、根管治疗情况、根尖病变情况、牙体发育异常的诊断提供依据。



武山县中医医院口腔科拥有现代化的一流口腔医疗设备:口腔牙片机、卡瓦产专业种植设备、数台牙科综合治疗机、根管长度测量仪、VDW根管治疗仪、热牙胶充填仪等高精设备,为全县人民提供优质的口腔医疗服务,助力武山县中医医院高质量发展
