来源:复旦大学附属中山医院青浦分院
张阿姨4个多月前出现全身乏力,步态不稳,以为中风了,到医院一查确诊为听神经瘤。但因肿瘤过大、位置不佳,手术难度和风险非常大,再加上年纪、基础疾病等等因素的牵绊,张阿姨辗转市里多家医院都被告知手术意义不大。家属决定回区里医院保守治疗。因张阿姨头晕不适加剧,在家人的陪伴下来到中山医院青浦分院神经内科就诊。

入院后,头颅磁共振检查提示右侧桥小脑脚低密度病灶,最大直径5cm,脑干受压明显。神经内科吴卫文主任团队开展了病例讨论,并与家属进行了充分的沟通,考虑到颅内占位脑干受压明显可能危及生命,建议提前干预和治疗,家属同意后,请神经外科会诊。

(术前头颅MRI) (术前头颅MRI)
张阿姨入住神经外科当晚,突然病情恶化,神志不清,呼吸微弱,值班的周林主治医师立即安排患者转入监护室,气管插管呼吸机辅助呼吸。李季林副主任医师接到周医生的通知后第一时间从家里赶到医院,在与家属进行充分沟通并获得家属同意后,急诊全麻下施行“脑室外引流术”以缓解颅内压力。一群医生、麻醉医师、护士围着张阿姨忙碌了一晚,天蒙蒙亮时,张阿姨醒了。
“我们同家属详细地说明了目前的病情和预后的情况,家属和患者的手术意愿比较强,希望改善生活质量。上一次突发情况下的全力救治后,家属更加信赖我们。”神经外科李季林副主任医师说。
正当神经外科团队为张阿姨研究最佳手术方案时,张阿姨再次出现意识不清,呼吸急促且心率增快。全力救治下,张阿姨的生命体征平稳下来,李季林副主任医师团队为患者施行ommaya囊植入+囊肿穿刺引流术,术中顺利,术后再次转入外科重症监护室治疗。几天后,张阿姨醒了……

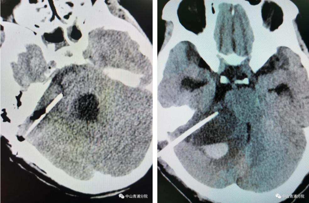
(术后头颅CT影像)
虽然两次手术有惊无险,都成功让危机化险为夷,但医生们清楚,虽从ommaya囊中抽吸肿瘤中的囊液能达到缓解症状的目的,但对于疾病本身而言,“治标不治本”,必需找到行之有效的解决问题的方案。
李季林副主任医师团队请来麻醉科蒋晖主任会诊,从手术方案、突发情况应对、麻醉风险预案等等方面反复推敲探讨,形成最佳治疗方案。2月19日,在麻醉科的全力协助下,一台“听神经病损切除术”正在紧张进行。虽说分离神经如履薄冰,但胆大心细、技术娴熟的神经外科医生团队怀着对生命的敬畏,对职业的信念,有条不紊地进行着。

(第三次术后CT)
手术成功!张阿姨术后恢复良好,于3月8日康复出院。
科普:听神经瘤

起源于内听道前庭神经鞘膜的良性肿瘤,发病年龄多在30-60岁。常以听力下降、耳鸣、眩晕等为首发症状,如肿瘤压迫三叉神经可有面部感觉减退的症状,若肿瘤较大压迫小脑脚及小脑半球则会出现步态不稳、共济失调、辨距不良等表现,当然,肿瘤生长导致脑脊液循环通路闭塞可引起脑积水(意识淡漠、步态不稳)、颅内高压(头痛、恶心呕吐、视乳头水肿)等症状。虽然听神经瘤的症状明显、发病迅速但目前听神经瘤的治疗方式已非常成熟,因此早期诊断、及时治疗是提高患者生存率及生活质量的关键。