
人生七十古来稀
但随着社会的发展和医疗技术的进步
如今越来越多的高龄老人
可以享受到幸福健康的晚年生活
84岁高龄的梁爷爷
出现进行性排尿困难、排尿无力
夜尿、间有血尿
他偶然一次读报发现
自己的症状与前列腺增生大致吻合
机智的他前往医院诊治
但却发现了另一个更大的健康隐患:
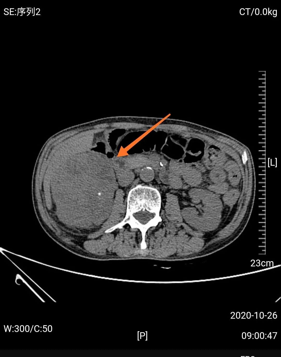
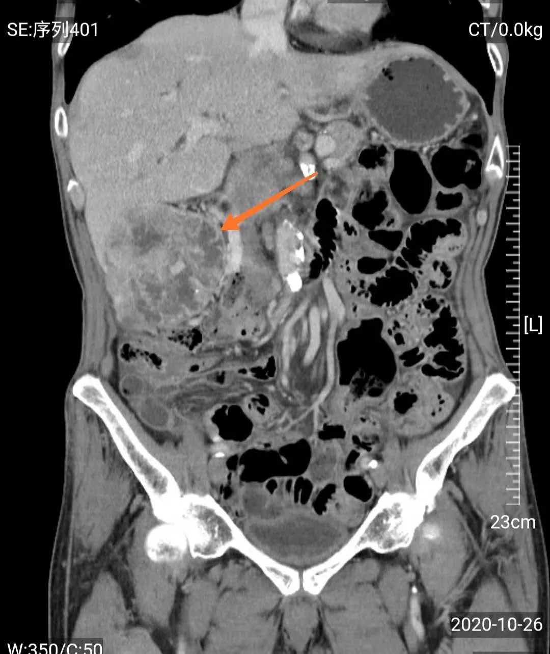
右肾巨大肿瘤
由于高龄,手术风险巨大
经我院术前多科诊疗和充足的准备
泌尿外科予3D腹腔镜微创治疗
最终梁爷爷顺利摘“瘤”
痊愈出院
回归家庭

梁爷爷平素有高血压,随着年龄渐长,还出现了进行性排尿困难,排尿无力,夜尿1-2次,间有右侧腰腹痛和血尿,但生活可自理。
他告诉医生,入院前2周,他在阅读佛山日报时,看到佛山市中医院泌尿外科关于前列腺增生科普报道,自行比对了自己的症状与该病基本吻合,于是就萌生了到我院泌尿外科门诊求诊的想法,希望得到治疗。
然而,门诊泌尿系超声检查发现,梁爷爷除了前列腺增生外,还有一个可怕的问题——右肾巨大肿瘤,考虑右肾癌可能性大。

检查结果令梁爷爷一家陷入焦虑,老人高龄,手术风险高,儿女非常紧张。老人入院后,主管医生、我院泌尿外科主治医师林富祥先采用了中西医结合方案改善老人的排尿困难和血尿问题,提高老人抵抗力和手术耐受力,同时联系多学科诊疗(MDT),评估老人的疾病诊断以及心肺功能和手术风险,是否有其他治疗方案选择。
经MDT团队研究,影像学团队分析认为老人诊断右肾癌相对明确,手术治疗是首选方案;心血管及肺病科团队认为老人虽然年龄大,高血压病史,但血压控制较好,心肺功能评估认为手术风险属于轻度;肿瘤科认为患者手术指征很明确,目前一般情况好,预期寿命长,内科治疗效果不及外科手术;中医治疗可以在外科手术后辅助,不能仅靠中医治疗。泌尿外科团队认为患者诊断考虑右肾癌,且左肾功能正常,右肾肿瘤巨大,建议根治性手术切除,考虑老人年纪大,开放手术创伤大,出血多,建议采用3D腹腔镜微创治疗。

多学科会诊
手术前准备充分,我院泌尿外科主任徐战平主任医师主刀手术,手术过程非常顺利。梁爷爷术后恢复非常好,继续中医药调理,目前已能正常饮食和自理,痊愈出院。

徐战平带领团队为患者进行3D腹腔镜微创治疗
特别提醒:老年人需要注意血尿
尿液颜色变红,很多人会不以为然,觉得是日常饮食导致的。事实真的如此吗?
林富祥介绍,人体正常尿液一般为黄色或无色。如果在饮食方面,食用火龙果、甜菜、紫萝卜等含色素较多的食物会导致尿液变红,但是一般停止食用或饮水后会变淡或消失;服用某些药物,如利福霉素类药物也会出现尿液变红。除此之外,就要警惕是否为疾病所致的血尿,如泌尿系结石,泌尿系感染,慢性肾炎,链球菌感染后肾炎,肾结核,先天性泌尿系畸形,泌尿系创伤、肿瘤、血管病等。

比如肾癌,又称肾细胞癌,约占成人肿瘤的3%,50~70岁是其高发年龄,男女发病比例为2:1,目前病因尚不明确,可能与吸烟、肥胖、饮食、职业接触(如石棉、皮革等)、遗传等有关。发达国家的发病率高于发展中国家,城市高于农村。肾癌早期一般没有明显的症状,大多患者是在体检中被发现。

如前所说的血尿,是肾癌的常见症状,而当肾癌患者发现有肉眼血尿时,表示肿瘤已经侵入肾盏、肾盂了。随着肿瘤生长,会牵拉肾包膜,或者侵犯到邻近的腰肌和器官,此时会产生腰部的疼痛,一般呈钝痛或隐痛;肾内的血块通过输尿管还会引起肾绞痛。假如是比较大的肿瘤,还可以在患者腰部或腹部触摸到肿块。血尿、疼痛、肿块称为肾癌的“三联征”,但多数患者只会出现其中之一或两项,而这时肾癌都已经发展到较晚期了。

20%的肾癌患者会出现“副瘤综合征”,即发热、高血压、高钙血症、高血糖、红细胞增多症、肝功能异常、消瘦、贫血、男性精索静脉曲张等等。这些症状非常容易和其它疾病混淆,因此要特别注意。
此外,肾癌还可以不出现症状,它的确诊要依靠超声、X线、CT、MRI等影像学检查。
目前外科手术是肾癌最主要的治疗方法,视情况选择根治性肾切除术或者保留肾单位的肾部分切除术。
“当然,也不是说出现以上症状就要怀疑自己得了肾癌。”林富祥表示,市民平时要多注意自己的身体状况,养成定期体检的习惯,一旦身体出现不适信号要及时就医,早发现才能早预防和早治疗。
供稿:泌尿外科
佛山市中医院全媒体团队出品
专家简介
徐战平

大外科主任,外三科(泌尿外科)主任,教授,主任医师,研究生导师。从事泌外工作20余年,曾在广东省人民医院工作13年,2014-2015年赴美国Cleveland Clinic 、Wake Forest University访问学习,获评岭南名医、南粤好医生等称号。
擅长各类泌尿系肿瘤如:腹腔镜肾上腺肿瘤切除、腹腔镜肾癌、肾盂癌根治术、腹腔镜膀胱癌、前列腺癌根治术、膀胱肿瘤电切术等的微创治疗及结石、前列腺增生及小儿泌尿外科疾病的诊治。
