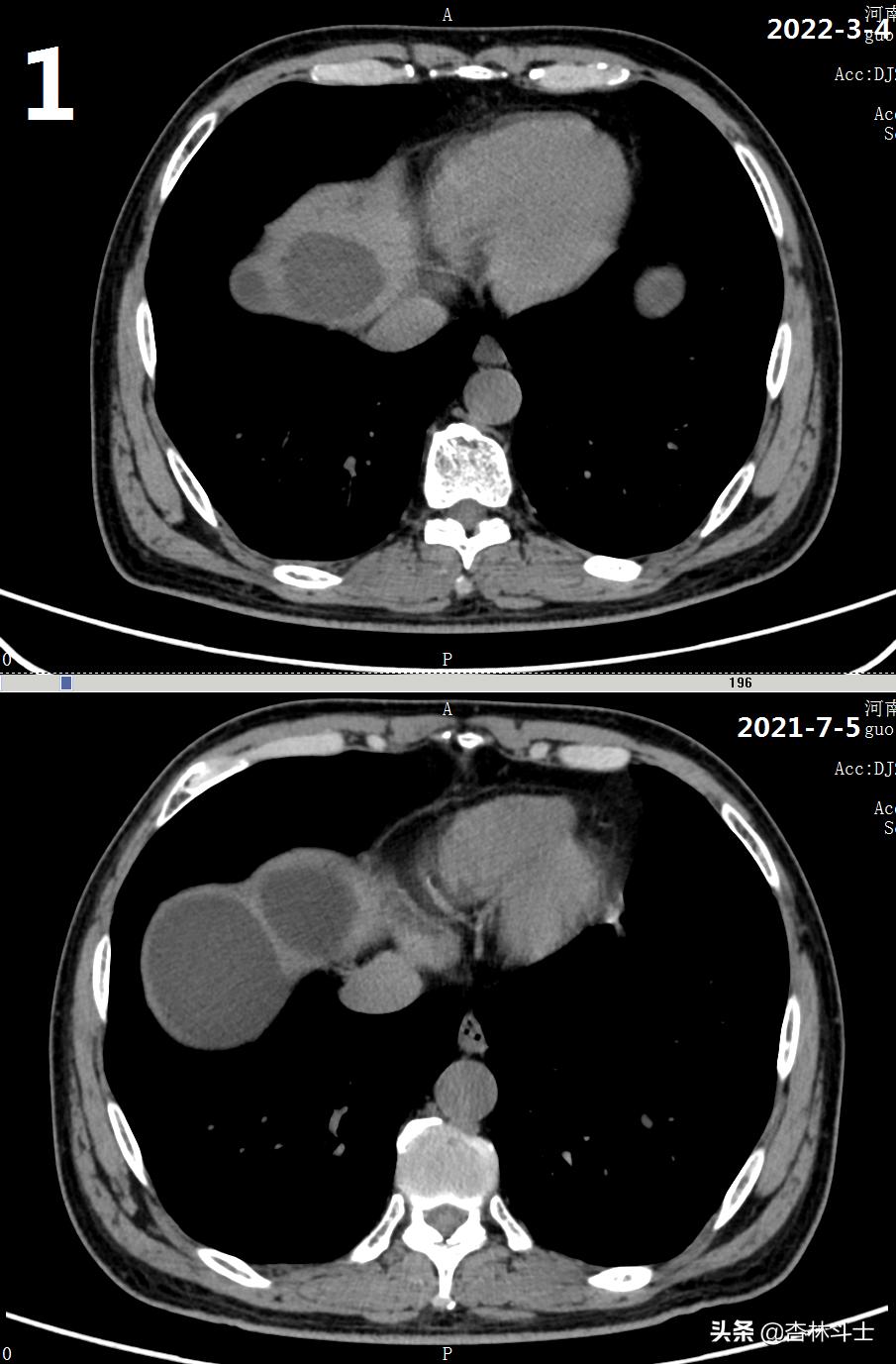
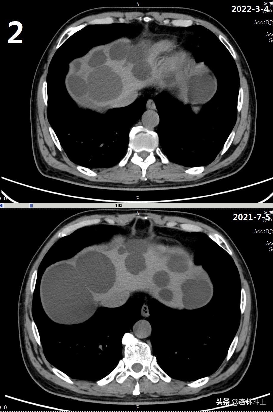
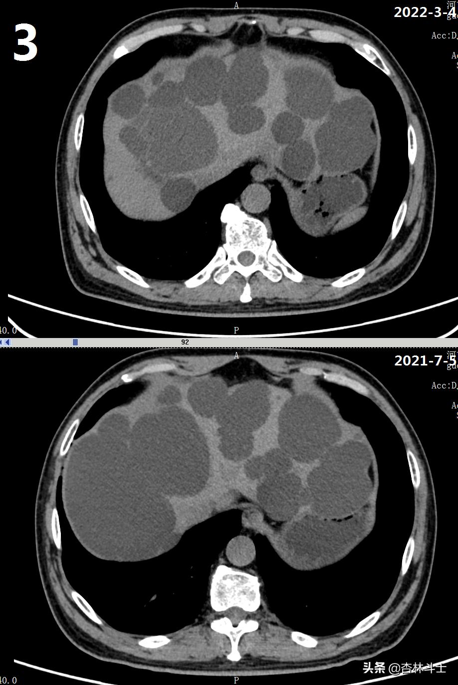
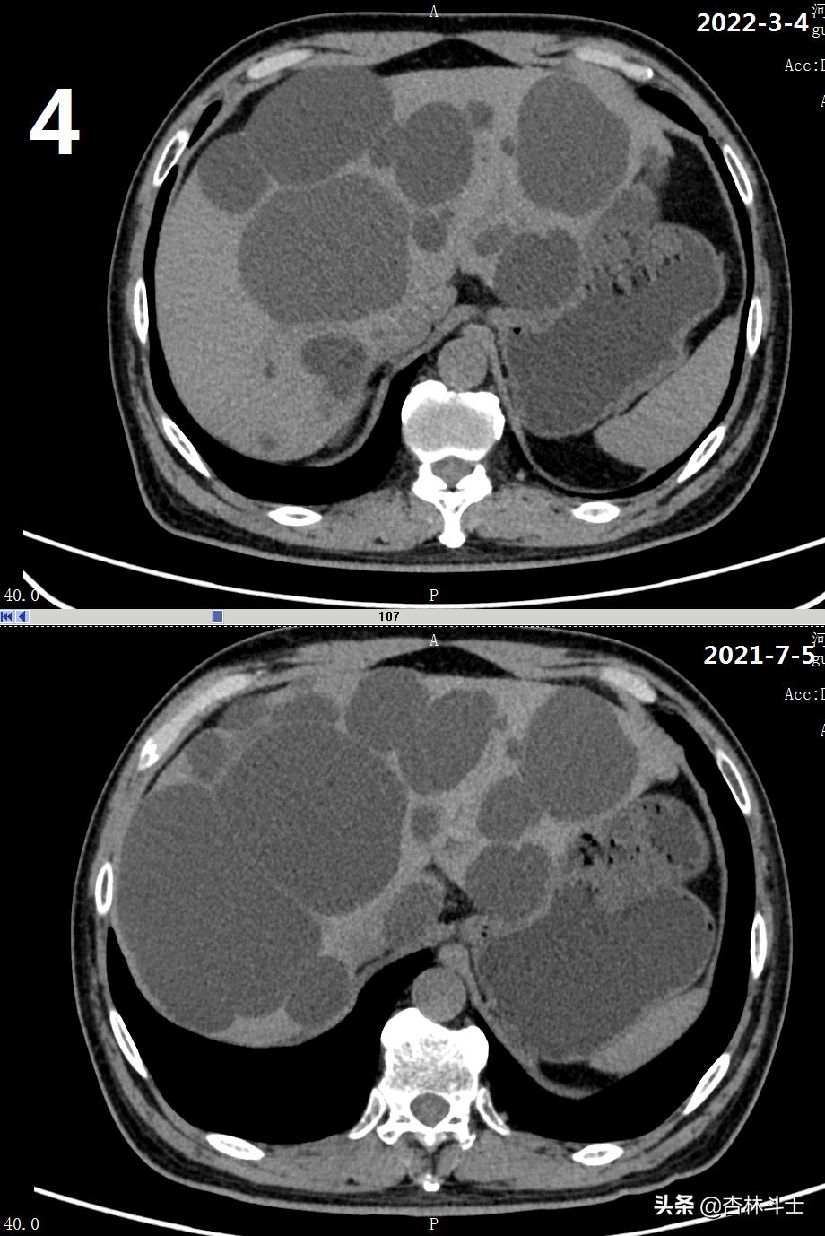
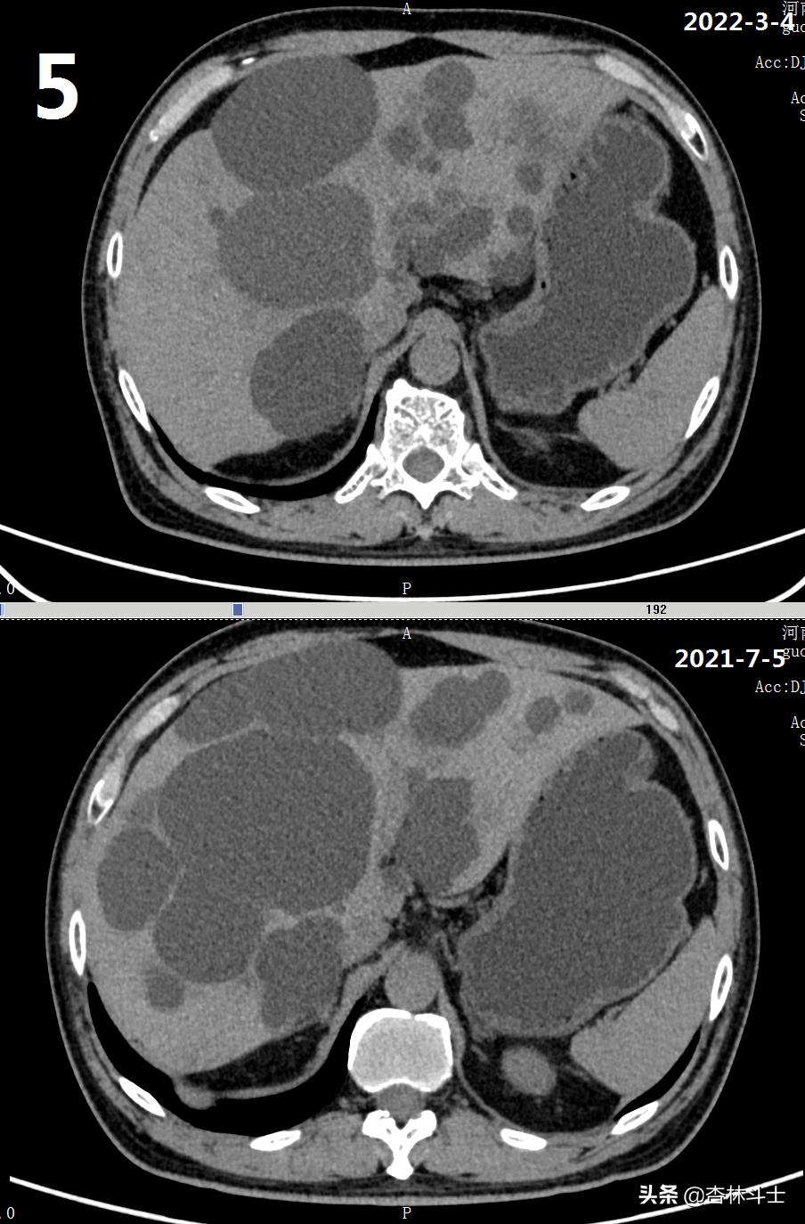
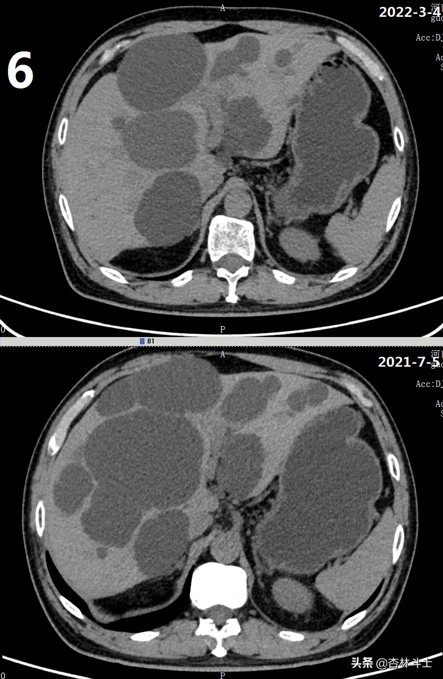
64岁退休银行职员,腹胀5年,加重2月,第二次入住我院消化内科。下图1-6为本次复查上腹部CT与2021-7-5肝囊肿经皮肝穿刺抽吸无水酒精硬化术前的对比图。
可明显看出,肝内囊肿较前减少,肝实质所占体积明显增加。






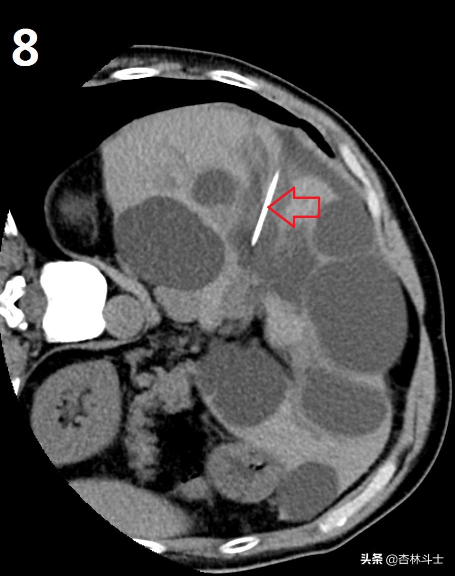
图7-8-9为上次做微创手术术中部分图像,红箭头所示为超细酒精抽吸硬化针,直径约0.79㎜,图9中五角星为囊腔内囊液被抽吸干净,最后一幅图是抽出来的黄色清澈囊液。同时被注入的无水酒精所代替。




黄色清澈囊液
本次入院后打算剩余部分囊肿再次进行经皮肝穿刺囊肿抽吸酒精硬化治疗。期待下次复查结果。
银行真是好单位,怪不得难么多人挤破头皮也要进去,手术的时候,跟他交谈才发现,看病不需花钱,还能挣钱。
话说还有什么单位比银行福利待遇好呢?
看完了,麻烦顺手点一个免费的赞呗