
作者:haixin
来源:医脉通呼吸科
本文为作者授权医脉通发布,未经授权请勿转载。
导读
IgG4相关性疾病(IgG4-RD)是一种与IgG4相关,IgG4阳性浆细胞大量增生性浸润而导致多器官和组织硬化和纤维化的慢性系统性自身免疫性疾病。可累及多个系统和器官,导致器官肿大、组织破坏甚至功能衰竭。最常见的受累器官为胰腺、胆道、主要唾液腺、泪腺、腹膜后及淋巴结,肺受累的报道也不少见,国内外报道肺受累比例为19.2%~28.0%。

IgG4 是浆细胞分泌的免疫球蛋白(IgG)的一种亚型,健康人体中为最少的亚型。过敏反应或慢性炎症刺激时升高,IgG4 与抗原形成的免疫复合物是小分子、低亲和力的,且激活补体的能力较弱。

一临床表现
约50%患者表现为咳嗽、劳力性呼吸困难、胸痛等呼吸道症状,其余患者仅出现影像学异常而不表现出躯体症状。全身症状如发热、体重减轻较为少见。
胸内表现不仅可以累及肺实质,也可累及胸内淋巴结、纵膈和胸膜。
二影像分型
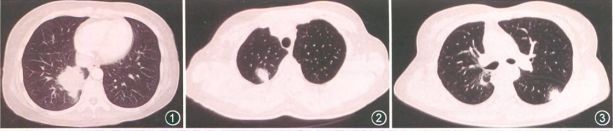
1. 实性结节型

单发或多发的结节状实变影,边界不清,常疑为肿瘤性病变。
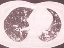
2. 支气管血管束型

支气管血管束及小叶间隔增厚,可伴小囊腔形成。
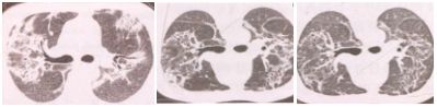
3. 肺泡间质型

双肺磨玻璃影或条索状阴影,可伴有支气管血管束增粗弥漫网格影,伴支气管扩张症。
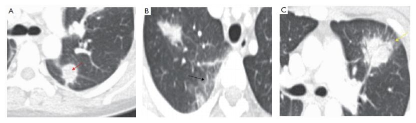
4. 圆形磨玻璃影型

A、红箭-左肺上叶可见一软组织密度结节,显著强化;
B、黑箭-右肺下叶可见增厚的小叶间隔;
C、结节边缘不规则、可见长毛刺,周围可见明显的晕征,可见血管集束征,并且部分牵拉临近胸膜导致胸膜增厚。
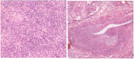
三病理
IgG4相关肺疾病的组织病理学与其他肺外病变的组织病理学相似,主要的3个特征包括淋巴浆细胞浸润性炎症,席纹状纤维化和闭塞性静脉炎,也可见闭塞性动脉炎,为肺部特有表现。

四诊断标准
(1) 临床检查显示单一或多器官特征性的弥漫或局限肿胀;
(2) 血液检验显示血清 IgG4 水平升高( > 1350 mg /L);
(3) 组织病理学显示: 显著淋巴细胞及浆细胞浸润和纤维化; 浸润的 IgG4 浆细胞每高倍视野下>10 个和 IgG4 / IgG浆细胞率>40% 。
符合全部 3 条者为确定诊断;符合第1 条和第3 条者为疑似诊断;符合第 1 条和第2 条者为可能诊断。
五治疗
糖皮质激素治疗:
(1) 报告文献中糖皮质激素治疗方案并未见详细说明,但基本上都包括了口服泼尼松(起始剂量从30mg/d至1mg/d/kg治疗);
(2) 通常需要2周时间显现效果;
(3) 1~2周后,泼尼松剂量可逐渐减少;
(4) 但在后几个月中仍需要持续监测病情,以确定病变是否完全消退,及警惕间歇期复发的可能;
(5) 关于IgG4相关性肺疾病激素治疗的最佳剂量和疗程仍有待研究。
(6) 尽管糖皮质激素治疗法在IgG4-RD患者中已经得到广泛应用,但对于经受过完整病灶切除(如单独肺内结节或团块样病变)的患者而言并不必要。
硼替佐米(一种蛋白酶体*制剂抑**)的应用,以及环孢霉素的辅助糖皮质激素治疗已有研究。
在胸腔外IgG4-RD的治疗中,硫唑嘌呤、麦考酚酯、甲氨蝶呤和环磷酰胺有时用于预防长期复发。
参考文献:
[1] Wallace Z S, Deshpande V, Mattoo H, et al. IgG4-Related Disease: Clinical and Laboratory Features in One Hundred Twenty-Five Patients[J]. Arthritis & Rheumatology, 2015, 67(9):2466-2475.
[2] 羽佳,刘双.IgG4相关肺疾病的临床特征[J].中国继续医学教育,2018,10(20):79-81.
[3] 刘松涛, 刘燕敏, 黄云丽,等. IgG4相关性疾病6例分析及文献复习[J]. 疑难病杂志, 2016, 15(4):416-420.
[4] 高彦定, 韩锋锋. IgG4相关性肺疾病研究进展[J]. 中国呼吸与危重监护杂志, 2014(3):308-312.
[5] 施举红. IgG4相关性肺疾病[J]. 中国实用内科杂志, 2013(12):923-924.