安徽的患者秦先生今年30岁,和大多数人一样过着普通平淡的生活。小日子虽平凡但幸福,然而一场突如其来的疾病打破了这份平静。
事情要从2017年说起,过往身体康健的秦先生突然出现头痛、呕吐的症状,一开始以为是普通小毛病没太在意,后来发作得越发频繁,在家人的催促下秦先生没敢再拖延去了当地医院就诊。经头颅MRI检查,发现脑室系统扩张伴四叠体池囊性扩张,脑干推挤受压,当年年底在当地医院进行了手术治疗-“经枕下小脑上入路松果体区蛛网膜囊肿切除术”,后因术后发热进行了抗感染治疗。
秦先生和家人看着病历上晦涩难懂的专业术语,没想到这场病马拉松一样,断断续续地折腾了好几年,而在这之前完全没听说过还有脑积水、蛛网膜囊肿……这些病,竟然还会落在自己身上。

术前肖主任为患者讲解病情
2022年的时候,秦先生仍然出现间断性头晕,后续开始头部胀痛,眼睛复视,呕吐,经休息后症状会有所缓解,进行头颅MRI复查仍可见幕上脑室系统扩张,四叠体池囊性扩张,脑干受压移位。秦先生和家属决定听从当地医生的建议,慕名到北京航空总医院找肖庆主任进行软性神经内镜治疗。

手术前后视力视野改变
入院后,肖庆主任团队医生对秦先生病情进行详细问诊,查看以往的病历影像等资料,并现场进行查体评估。眼科会诊时发现患者左眼角膜异物、双眼视盘水肿、左眼眼外肌不全麻痹,进行了左眼浅层角膜异物剔除术。随后,肖庆主任团队立即组织相关专家进行会诊,讨论研究制定治疗方案。经过团队综合诊断评估,手术可选择神经内镜检查术,术中酌情行囊肿造瘘术及第三脑室底造瘘术,借助基底动脉搏动进一步改变脑脊液循环动力。

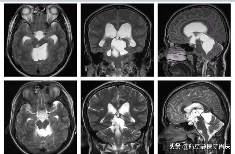
手术前后核磁对比
手术非常顺利成功,术后继续抗感染、营养神经等对症治疗。经过治疗,脑脊液逐渐恢复清亮,脑室外引流夹闭四日,患者病情稳定,头颅CT复查无明显扩张,囊肿较前缩小,后续进行了外引管去除术。

术后恢复良好,重现笑容
历经28天的治疗,秦先生恢复良好,不再有发热、头痛、呕吐的症状,视力也恢复正常,已经可以出院休养。没想到困扰了全家几年的问题就这样在软性神经内镜的加持下以微创的方式解决了,一家人的脸上终于浮现出久违的笑容,对肖主任团队的准确诊断以及精湛手术表示衷心感谢。
延伸阅读:
电子软性内镜柔软纤细光滑,其直径仅有3.8mm,与硬性神经内镜相比柔软、纤细、灵活,可以仅通过头部一个3cm左右的小切口,即可对脑室系统包括第四脑室进行全面探查,在各种类型脑积水、颅内囊肿、颅内各部位血肿特别是铸型性脑室内血肿、脑室感染、脑室脑池内囊虫及脑室内肿瘤的诊治过程中具有无可替代的优势。