导读
双侧丘脑病变的病因有哪些?对于既往有大量饮酒史并经隐球菌治疗后突发嗜睡的患者该如何诊断和鉴别诊断?最新一期Neurology杂志(4月23)临床推理报道的病例给我们展示了双侧丘脑病变的诊断思路,一起学习一下吧。
翻译:倒影无痕
医脉通编译整理,未经授权请勿转载。
病史和查体
患者为71岁男性,因“低烧和头痛”就诊。随后2周,患者出现尿*禁失**和视力模糊并逐渐加重。既往大量饮酒史,就诊前1个月停止饮酒。
急诊室,体温为39.1℃,基础实验室检查均未见异常。头颅CT和MRI平扫显示轻度脑积水(图1,A-E)。腰椎穿刺显示初压为925px H2O,CSF葡萄糖为13 mg / dL,蛋白为152mg / dL,白细胞计数为209个细胞/ mm3(中性粒细胞为4.8%和淋巴细胞为95.2%)。CSF隐球菌抗体滴度为1:1024,CSF培养显示新型隐球菌。艾滋病毒滴度为阴性。患者为此接受连续腰椎穿刺和抗真菌药物(两性霉素和氟胞嘧啶)治疗。

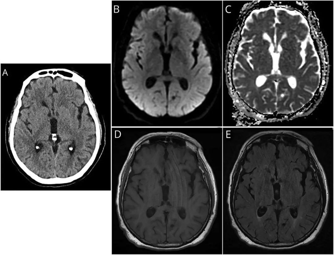
图1 入院时CT和MRI扫描结果
(A)首次入院时头部CT扫描显示轻度脑积水。患者在精神状态下降之前的弥散加权成像(B)、ADC影像(C)、FLAIR影像(D)和T1序列影像(E)。
治疗后症状改善,但10天后突然出现昏睡,刺痛能醒,刺痛消失则立即入睡。清醒时,自我定向好,能够遵循简单的命令,但间歇性对时间和地点定位差,缺乏对住院治疗的洞察力。患者垂直和水平头眼反射正常,但无垂直性视动震颤。步态未评估,余神经系统检查无明显异常。
思考:
1.尽管进行了抗真菌治疗,该患者新发嗜睡的可能原因是什么?
2.对于新发症状,该进行或复查哪些检查?
鉴别诊断及进一步检查
对于该患者新发的症状,可能的鉴别诊断有:
➤ 颅内压升高(ICP)
隐球菌通常会导致CSF流出阻塞,ICP升高(通常定义为> 20 mm Hg)。ICP升高的症状包括头痛、恶心、视力改变和警觉性降低。腰椎穿刺是最好的评估和治疗手段。
➤ 癫痫发作
癫痫发作可由累及皮层的任何炎症或感染引起,包括CNS隐球菌感染。非惊厥性癫痫发作可导致该患者所表现的嗜睡和意识模糊。但癫痫发作不能解释其垂直性视动震颤阴性。非惊厥性癫痫发作可使用视频脑电图(vEEG)进行评估。
➤ 隐球菌肉芽肿
隐球菌肉芽肿是由隐球菌感染引起的占位病变。隐球菌肉芽肿更常见于格特隐球菌感染患者,其症状取决于病变部位。但隐球菌肉芽肿可以通过破坏CSF通道导致ICP增加及随之而来的警觉性降低。隐球菌肉芽肿患者需要长期使用抗真菌药治疗,但一般预后良好。最好的评估方法是头颅MRI,在FLAIR中呈高信号,且强化信号多样。
➤ 缺血性血管病
鉴于患者症状的突发性,缺血性卒中、出血性卒中和血管炎都需考虑。脑干或双侧丘脑的病变可损害网状激活系统(RAS)并引起警觉性降低以及颅神经麻痹的症状。头颅MRI是最好的评估手段,卒中急性/亚急性期在弥散加权成像(DWI)和表观扩散系数(ADC)上可见弥散受限,且无增强或仅有轻度增强。
➤ Wernicke脑病
患者既往大量饮酒,鉴别诊断需考虑硫胺素缺乏引起的Wernicke脑病。Wernicke脑病的临床表现包括意识模糊、共济失调和眼肌麻痹。头颅MRI检查、血清硫胺素水平检测和经验性硫胺素治疗是最好的评估手段。头颅MRI通常可见背侧丘脑、乳头体、顶盖和导水管周围呈FLAIR高信号,DWI / ADC中呈弥散受限,可见强化病灶,尤其是乳头体。
因此,为了进行相关鉴别诊断,患者进行了相关检查。腰椎穿刺复查显示CSF初压为10 cm H2O,葡萄糖为32 mg / dL,蛋白质为99.3 mg / dL,白细胞计数为38个细胞/ mm3(中性粒细胞为13%和淋巴细胞为87%);隐球菌滴度为1:2560。vEEG显示弥漫性慢波但无癫痫发作或癫痫样活动。以上结果排除了颅内压增高和癫痫发作的可能性。头颅CT扫描显示双侧丘脑新发低密度病灶(图2A)。该结果可以把病因缩小至隐球菌肉芽肿、缺血或炎症病变(如Wernicke脑病)等。为此,患者进一步进行了头颅MRI平扫和增强检查(图2,B-E)。

图2 隐球菌性脑膜炎治疗后10天进行CT和MRI扫描
(A)隐球菌性脑膜炎入院治疗10天后的头颅CT扫描。箭头表示双侧丘脑低密度病灶。(B)弥散加权成像显示双侧丘脑高信号,这些区域在ADC(C)上显示低信号,提示急性缺血,在FLAIR序列中(D)也显示高信号,但在T1增强(E)未见明显强化。
思考:
1.如何解释MRI检查结果?
2.患者症状最可能的原因是什么?
3.接下来该如何诊断和治疗?
最终诊断
头颅MRI显示双侧丘脑弥散受限,FLAIR为高信号,无增强。综上所述,头颅MRI结果和症状的突发性符合双侧丘脑梗死,可能机制为机械性阻塞或炎症引起。虽然这些发现也可能与Wernicke脑病一致,但Wernicke脑病通常可见强化,且病灶不仅仅局限于丘脑。
对于由栓塞或血栓形成引起的双侧丘脑卒中,最可能的机械性阻塞原因是Percheron动脉阻塞。炎症引起的缺血性血管疾病需考虑血管炎,也与隐球菌有关。无论具体机制如何,双侧丘脑梗死都可引起嗜睡和睡眠障碍,并能解释患者的症状。
为此患者接受了超声心动图以及头颈部CTA检查,均未见明显异常。由于血管成像未见节段性血管狭窄,炎症标志物(红细胞沉降率和C-反应蛋白)也低,因此血管炎的可能性不大。为了排除Wernicke脑病,进行了硫胺素水平检测,结果显示低于<7,因此患者接受了高剂量的IV硫胺素和叶酸治疗。同时,患者继续抗隐球菌治疗并显示ICP在改善和隐球菌滴度在降低。尽管完成了硫胺素治疗疗程,以及隐球菌滴度很低,患者垂直性视动震颤仍为阴性,并且在整个住院期间和出院时显示缺乏活力。
对于脑梗死和Wernicke脑病的鉴别,后者在治疗后会消退或改善,因此在继续用高剂量硫胺素治疗后2周进行了头颅MRI复查。头颅MRI显示双侧丘脑病灶无明显改变,左后顶叶新发小的弥散受限病灶,与急性/亚急性脑梗死一致。这些发现进一步支持继发于隐球菌性脑膜炎的小血管梗死的诊断。
讨论
免疫功能正常的患者中隐球菌性脑膜炎的神经系统表现通常包括发烧和头痛,但可表现为记忆丧失、性格改变和嗜睡。该患者出现突发性嗜睡,进一步影像显示双侧丘脑卒中。
除了在感觉和运动信号的传递中起关键作用外,丘脑还包含RAS成分,包括丘脑网状核和板内核,在警觉性和睡眠的调节中起作用。双侧丘脑卒中很少见,常见于Percheron动脉闭塞。在这些患者中,缺血区域通常累及丘脑旁正中区,症状包括意识改变(睡眠过度或昏迷)、垂直凝视麻痹和认知障碍。根据解剖学和临床表现,该患者最大的可能是Percheron动脉闭塞。
既往研究显示隐球菌性脑膜炎主要与基底神经节、丘脑和内囊的缺血性腔隙性卒中相关。鉴于这些卒中的体积较小,大多数未被发现。该患者入院时影像正常,10天后发现双侧丘脑缺血性卒中,随后连续影像发现后顶叶有点状卒中。这些发现支持这样的假设,即隐球菌可能对中枢神经系统微血管系统产生炎症反应从而引起血管闭塞导致梗死。
参考文献:
[1] Graybill JR, Sobel J, SaagM, et al. Diagnosis and management of increased intracranial pressure inpatients with AIDS and cryptococcal meningitis: The NIAID Mycoses Study Groupand AIDS Cooperative Treatment Groups. Clin Infect Dis 2000;30: 47–54.
[2] Speed B, Dunt D. Clinicaland host differences between infections with the two varieties of Cryptococcusneoformans. Clin Infect Dis 1995;21:28–36; discussion 35–36.
[3] Perfect JR, Dismukes WE,Dromer F, et al. Clinical practice guidelines for the management ofcryptococcal disease: 2010 update by the Infectious Diseases Society ofAmerica. Clin Infect Dis 2010;50:291–322.
[4] Loyse A, Moodley A, RichP, et al. Neurological, visual, and MRI brain scan findings in 87 South Africanpatients with HIV-associated cryptococcal meningoencephalitis. J Infect2015;70:668–675.
[5] Bogousslavsky J, Regli F,Uske A. Thalamic infarcts: clinical syndromes, etiology, and prognosis.Neurology 1988;38:837–848.
[6] Zuccoli G, Santa Cruz D,Bertolini M, et al. MR imaging findings in 56 patients with Wernickeencephalopathy: nonalcoholics may differ from alcoholics. AJNR Am J Neuroradiol2009;30:171–176.
[7] Lazzaro NA, Wright B,Castillo M, et al. Artery of Percheron infarction: imaging patterns andclinical spectrum. AJNR Am J Neuroradiol 2010;31:1283–1289.
[8] Zimelewicz Oberman D,Patrucco L, Cuello Oderiz C. Central nervous system vasculitis forCryptococcosis in an immunocompetent patient. Diseases 2018;6:E75.
[9] Steinke W, Sacco RL, MohrJP, et al. Thalamic stroke: presentation and prognosis of infarcts andhemorrhages. Arch Neurol 1992;49:703–710.
[10]Mishra AK, Arvind VH,Muliyil D, et al. Cerebrovascular injury in cryptococcal meningitis. Int JStroke 2018;13:57–65.
医脉通编译自:Teng J. Peng, Tara Kimbrough and Benjamin D. Tolchin. ClinicalReasoning: A 71-year-old man receiving treatment for cryptococcal meningitis,developing new-onset lethargy. Neurology April 23, 2019 92:815-820.