一名13岁的少年因为严重脊柱畸形,经过天津市人民医院脊柱外科3专家成功手术救治,终于脱掉穿了三年“铠甲”,能够站正站直了。
这位少年从3年前开始,身体外观出现变化,两肩膀不一样高。到医院检查诊断为脊柱侧弯,配置了矫形支具保守治疗,孩子无论春夏秋冬,只有洗澡的时候,才能摘下“铠甲”一样的支具。不仅生活学习都非常不方便,治疗效果也不明显,少年的右侧后背渐渐隆起,像一座小“驼峰”,开始出现运动时呼吸困难等症状。随着病情的加重,孩子的心理也越发自卑,沉默寡言不愿意与同学交流。
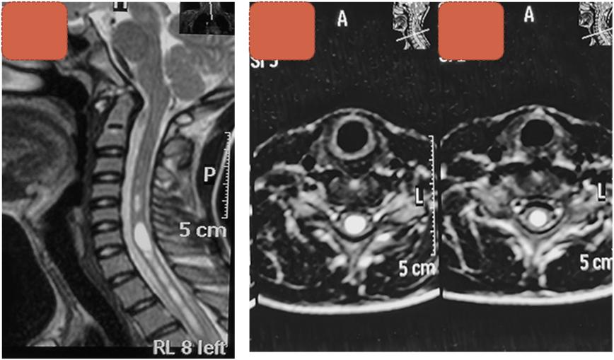
详细检查发现,这位少年患有罕见的严重脊柱侧弯伴脊髓空洞症,核磁共振显示,在其颈髓和胸髓内均有明显的脊髓空洞。脊柱侧弯本身会影响脊髓功能,严重侧弯又会造成脊髓空洞的加重。

这种类型的脊柱侧弯非常僵硬,加大了矫形手术难度。而且由于脊髓空洞的存在,如果矫形术中操作不当就会导致患者脊髓损伤,出现截瘫等灾难性后果。但是再不治疗,孩子的病情会迅速加重,后背“罗锅”抬头困难,影响心肺功能发育,而且由于畸形的加重可能造成脊髓空洞的扩大,甚至引发神经功能障碍、不全截瘫等。

术前X线患者胸椎55度侧弯

术前核磁可见脊髓空洞
专家团队与少年和家属充分沟通,约请手术中心麻醉科、输血科等会诊,制订周密的手术方案和问题预案。
手术中,团队密切配合,采取胸腰椎后入路固定手术,同时在5个节段的脊柱进行截骨,通过直接去旋转技术,将少年高达55度的脊柱侧弯进行全面矫正。保证矫正效果,降低内固定节段过多带来的并发症。“我们还为患儿实行了皮内缝合,伤口无需拆线,孩子身体外观几乎看不出来大手术的痕迹”夏主任说。
术后,对少年的脊柱功能和身体康复情况进行密切观测。术后一周,少年顺利出院。术后3个月复查,脊柱矫形效果维持良好,身高从153厘米升高到164厘米。

术后X线脊柱侧弯基本矫正

术后3个月复查侧弯矫形维持良好
该例严重脊柱侧弯伴脊髓空洞症手术的成功施行,标志着天津市人民医院在青少年脊柱侧弯诊治领域里又向前迈进了一步。
来源:天津市人民医院