一年又一年,万家灯火团圆时,却总有一群医务工作者选择坚守。灯火阑珊,见证平凡;一年365天,每一个日夜都同样用心守候。
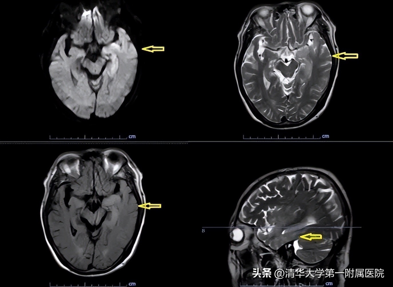
1月12日,北京华信医院(清华大学第一附属医院)神经内科监护室收治了一名发热10天,伴精神行为异常5天的老年患者。入院当天患者淡漠木僵、言语不能,全身可见散在出血点。经头部核磁共振显示左侧岛颞叶与海马区异常信号;脑电图显示额颞区慢波,左侧额颞区及蝶骨电极较多尖波、尖型慢波散发,偶可波及左半球。初步诊断:症状性癫痫(继发性癫痫)、脑炎。立即完善腰椎穿刺,脑脊液宏基因组测序提示I型单纯疱疹病毒感染。给予抗癫痫、抗病毒、脱水降颅压等对症治疗。

入院后,患者意识障碍逐渐加重,发热、呼吸较急促,胸CT显示双肺粟粒状结节影及大片状磨玻璃影,血白细胞介素6显著升高(3019ng/L),痰培养提示金黄色葡萄球菌感染。呼吸与危重症医学科副主任医师安树昌会诊考虑为病毒性肺炎合并细菌性肺炎,调整抗生素强化抗感染治疗,同时加强翻身叩背和气道护理。
1月20日除夕的前一天,患者呼吸浅快、血氧饱和度下降,血气分析提示II型呼吸衰竭、呼吸性酸中毒,旋即呼吸骤停。感染科副主任医师曾琴兵立即会诊并参与抢救,经家属同意给予气管插管,呼吸机辅助通气。在副院长、神经内科主任刘芳的带领下,神经内科群策群力,考虑患者免疫力低下,予加强抗病毒及抗感染治疗方案。该患者目前诊断明确:单纯疱疹病毒性脑炎、病毒性肺炎合并细菌性肺炎,其中任何一种疾病都是致命的,三种疾病同时发生在老年患者身上,更是雪上加霜……
经过医护人员紧张而有序的抢救,间断翻身、叩背、吸痰、体位引流等精心护理下,患者的呼吸性酸中毒得到及时纠正,血氧饱和度维持在95%,生命体征逐渐平稳。在全科医护人员的守护下,患者平安度过了极其危险的一关,迎来了新春佳节的到来。

有光明的地方也会有黑暗,却有人负重前行,将黑暗遮挡在人们目不能及的地方。兔年春节,神经内科医护人员值守任务依旧艰巨,我们全力以赴坚守生命防线,帮助危重患者闯过重重难关!
祝福祖国癸卯兔年繁荣昌盛,祝福大家佳节幸福安康,向阳而行,共同迎接美好春天!
作者:神经内科 李言洵/王丽
摄影:神经内科