张阿姨离婚多年,一直单身生活,最近单位体检, 查出来张阿姨HPV阳性 ,张阿姨非常恐慌。虽然每年体检都有HPV选项,但是并不了解HPV到底是什么病。同时也不明白自己多年单身,身体健康、作息规律 怎么会被感染HPV?

医生指出张阿姨是低危HPV,配合医生治疗,几个月后就会康复,张阿姨也放下心来,其实HPV分为低危和高危,低危HPV在生活中非常常见,关于HPV的详细信息,男女都应该了解:

一、什么是HPV
HPV是人乳头状病毒的简称 ,是一种乳多空病毒科的乳头瘤空泡病毒,是导致肿瘤、尖锐湿疣、人类寻常疣的黏膜赘生物。
HPV病毒大概有200多种类型,在人和动物中分布广泛,有高度的宿主特异性 ,但只有人类会被HPV感染 。

已知的HPV病毒会引起人类良性的肿瘤和疣,常见的瘊子就是HPV的一种,生长在生殖器官附近皮肤和黏膜上的人类寻常疣、尖锐湿疣、生长在黏膜上的乳头状瘤都属于HPV。

HPV病毒可以分为高危型和低危型,低危HPV病毒通过医学治疗,几个月后就可康复。高危型的HPV病毒具有潜在的致癌性,其中16和18型HPV很容易导致宫颈癌。
二、HPV的传播方式
1、 *生活性**传播
*生活性**传播,是目前人们认为最主要的传播途径 。HPV病毒主要感染人体鳞状上皮,而女性外阴、阴道壁、宫颈表面都被鳞状上皮所覆盖,同时也是*生活性**接触摩擦最多的部位。

如果长期与HPV阳性的*伴侣性**发生*生活性**而无保护措施,则容易受到感染。
2、接触传播
病人接触被HPV患者污染的物品 ,如浴巾、床单、浴盆、衣物、坐便器、游泳池等都容易引起感染。如果自身免疫力强大,可以及时消灭病毒,相反免疫力低下,很容易被感染HPV。

3、母婴传播
母亲患有HPV,在分娩的时候传播给了下一代。
4、医源性感染
病人免疫力低下,医源性感染 ,如医院检查器械消毒不彻底也可能会感染HPV。

三、HPV的感染症状
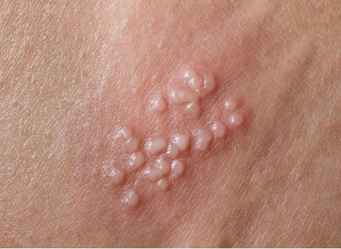
1、形态多样
HPV感染初期的典型症状是 细小的淡红色丘疹 。
随着时间增长,慢慢在逐渐增大、增多,而且表面会隆起,质地坚硬,全部都是高低不平的疣状增生。 HPV感染形态多样,目前临床统计大部分为鸡冠状、菜花状、乳头状等。

2、颜色多样
HPV感染引发的尖锐湿疣颜色居多,有红色、灰色 、还有正常的皮肤颜色。
3、局部湿润、糜烂、出血
HPV感染引起的尖锐湿疣局部较湿润, 少数病人还会有阴部瘙痒、*交性**的时候疼痛甚至出血的症状。

因为瘙痒,病人会不停地抓挠病毒疣体,导致疣体受损,从而引发糜烂、出血,最终导致继发感染。
4、HPV感染发病部位
HPV感染出现在生殖器的周围 ,或者肛周会出现外阴和肛周的疣状的改变,高危型的HPV感染也可能会造成外阴癌和宫颈癌。

四、感染HPV后的严重性
HPV病毒是对人体危害很大的一种疾病 ,在确诊HPV后,要及时到医院接受治疗,如治疗不及时,会引发并发症, 其中最常见的就是宫颈糜烂,高危HPV还会导致宫颈癌 ,但是在安全、有效、科学的治疗后完全可以治愈的。

五、HPV的预防方式
1、 疫苗预防
通过接种疫苗来预防HPV, 目前有2价、4价和9价,分别可以预防2种、4种、9种HPV类似病毒。只要达到接种疫苗的最低年限就可以,年龄越小接种效果越好。
2、 行为预防
避免与患有寻常疣、扁平疣的人接触,同时避免接触他们的日用品。 由于HPV是通过皮肤表层黏膜破损进入身体,因此要注意外伤、多汗等破坏皮肤黏膜行为。

3、提高自身免疫力
免疫力低下很容易被HPV入侵,生活中要注意提高自身免疫力, 进行一定量的体育运动,饮食要全面营养丰富。
4、洁身自好
HPV主要传播方式是通过*交性**, 洁身自好可减少渐染HPV病毒的风险。

总结
生活中我们对HPV闻之色变, 但低危HPV通过医学治疗,一般几个月就可以治愈,高危HPV只要发现及时、积极配合治疗也是有希望痊愈的。

同时要 注意不要接触扁平疣、寻常疣的病人 ,更不要触碰他们的日用品,同时自身要洁身自好,避免与多个*伴侣性**进行性接触,平时住酒店时,最好使用自己自带的毛巾和床单。