换牙期的孩子总是让爸妈操碎了心,不是乳牙不掉恒牙就长出来,要不就是乳牙掉了恒牙迟迟不长。如果乳牙掉了大半年恒牙迟迟没有动静,就该及时看牙医查明原因了,可能是多生牙阻碍了恒牙的萌出。

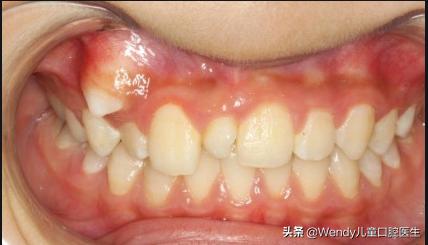
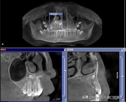
前天小泽妈带着小泽来看牙,乳牙按时掉了可惜新长出的恒牙怎么看都不对劲,形态怪异,一般这种情况首先考虑多生牙,建议拍摄全景片。果不其然,新长出的的确是多生牙,除外还发现颌骨里长了另一颗倒置的多生牙,这颗多生牙斜着挡在恒牙的上方,对恒牙萌出一定有影响,建议拔除。
小泽妈妈说幸好及时来诊,不然多生牙都发现不了,到时候因为父母的疏忽影响了孩子恒牙的萌出发育,就该后悔不已了。

其实像小泽孩子这种多生牙现象临床上真的挺常见了,有些多生牙是长出来被发现而即使拔除没有让恒牙受影响,可有些多生牙是埋伏在颌骨里暗地里对恒牙造成影响,所以换牙期的孩子定期看牙是很必要的,特别是7岁左右的孩子都建议拍摄一张全景片,能够很清楚知道颌骨下方恒牙胚发育的情况。
什么是多生牙?
多生牙是人类正常牙列以外发生的牙齿。人类正常乳牙列有20颗牙齿,恒牙列有28-32颗牙齿。除此之外发生的牙齿即为多生牙。

多生牙在牙列中多生一颗或者几颗,较少见于乳牙列,多见于混合牙列和恒牙列。最常见发生于上颌前牙区域,上颌发生率是下颌的8倍。最多见的多生牙是正中牙,位于两颗上颌中切牙之间。男性多于女性。
多生牙的病因?
多生牙的病因至今仍未认定,遗传被认为是多生牙发生的一个重要致病因素。有报道,孪生兄弟在相同部位发生了形态相似的多生牙。许多病例报告发现在同一家族里面多个成员发生多生牙。

可能的其他原因就是牙胚发育过程中的异常导致。另外最常见的两种疾病唇腭裂和颅骨锁骨发育不全综合征,可出现多个埋伏多生牙。
多生牙有哪些危害?
多生牙可位于颌骨的任何部位,可萌出于口腔内,也可以埋伏在颌骨内。有些多生牙呈冠根倒置,有的甚至位于鼻腔,上颌窦内。

多生牙的形态变异很多,发育完整型多生牙与正常的牙齿形态相似,但最常见的还是发育不足的畸形牙。如果长在牙列中有碍美观。
多生牙常常导致正常的恒牙发育和萌出障碍,比如恒牙迟萌或阻生,牙根弯曲,牙齿移动或萌出的方向改变。伴随的表现还有乳牙滞留,邻牙扭转,牙间隙变大等。
但大多数多生牙的发生都是因为有碍美观,才被家长们发现并被处理。
多生牙的治疗?
为减少多生牙对恒牙和恒牙列的影响,应尽早发现,及时处理。
对于已经萌出的多生牙及时拔除,有利于邻近的恒牙顺利的萌出并减少恒牙的错位。
对于埋伏的多生牙,如果影响恒牙的发育,萌出以及排列,在不损伤恒牙胚的情况下也应尽早拔除。
若不影响恒牙胚的发育和萌出,可以等恒牙牙根发育完成后再进行拔除。
多生牙的确诊以及治疗拔除都需要在X线片下才能明确,常见的X线片有根尖片,全口曲面断层片和CBCT。

正因为多生牙多发生在换牙期,所以对于5-7岁的儿童进行一次X线片的拍摄是非常有必要的,便于早发现早诊断早处理。
多生牙的拔除难度有高有低,伤口有大有小,所以家长务必带孩子到专业的口腔医疗机构进行相关的检查和处理,不可疏忽。
我是儿童口腔医生Wendy,每日科普口腔小知识,关注我,父母多知道一些孩子笑容更灿烂。
#健康科普排位赛# #育儿经# #健康乐享官#
@儿科医生雨滴 @头条健康 @头条育儿