不入此行,怎能深谙此行术语。父母不是口腔专家出身,也并未接触口腔行业,对于宝宝的牙齿状况更多的都是道听途说,或者前辈经验传授。没有接受专业的口腔知识教育,不清楚口腔健康的重要性和关联性,意识中认为“牙病不是病”,宝宝乳牙并未接受任何防护措施,蛀牙也没有及时治理。所以乳牙蛀牙一直是口腔病症中的患病率最高的一种。

直到一次口腔体检,父母看着报告单才提出了疑问:我的孩子口腔检查显示“深窝沟”,请问深窝沟是什么意思?得治吗?

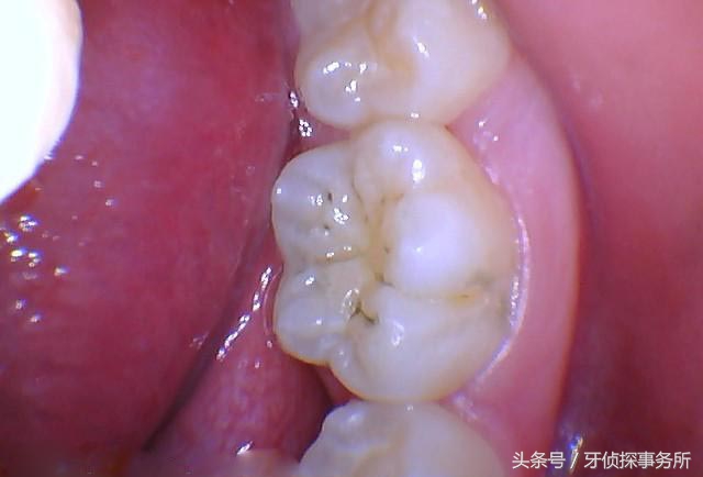
什么是深窝沟?
◆窝沟:窝沟是我们“大牙”表面凹凸不平的沟痕,这些沟痕能够起到增大咀嚼面积、增加摩擦力的作用,有利于把食物充分嚼碎。
◆深窝沟:深窝沟就是磨牙上面的这些沟痕裂缝比较深,食物和细菌容易嵌塞进去,且不易清洁,牙齿就容易被这些细菌侵蚀蛀坏形成蛀牙。医学上称这种蛀牙为窝沟龋。

深窝沟的应对措施——窝沟封闭
根据口腔流行病学调查,我国青少年90%以上的蛀牙发生在窝沟部位。“六龄齿”就是窝沟龋的好发部位,它是萌出时间最早的恒磨牙,其咀嚼功能最强大,也最容易发生龋病,甚至造成过早脱落,所以保护儿童的第一恒磨牙很重要。窝沟封闭是预防恒磨牙窝沟龋的最有效方法。

◆ 窝沟封闭防龋原理:
牙齿窝沟封闭剂形成一层保护性屏障,阻止细菌及食物残渣进入窝沟,同时使窝沟内原有细菌因断绝营养而逐渐死亡,从而预防窝沟龋的发生,还可使早期龋损停止发展。

◆ 窝沟封闭最佳时间:
理想的窝沟封闭手术应做4次,即三四岁时乳磨牙做1次,6岁左右第一恒磨牙做1次,9-13岁做双尖牙,11-13岁再做第二恒磨牙(双尖牙和第二恒磨牙可同时做)

◆窝沟封闭的过程:

◆窝沟封闭后的注意事项:
1、孩子刚做完窝沟封闭后几天内,假如发现封闭的牙齿有咬合过高、吃东西时不适、疼痛时,应该及时就诊,让医生把填充材料高出牙齿的部分磨合一下就可以了。假如发现部分或全部填充材料脱落,也应该及时重新封闭窝沟,否则无法达到防龋的效果。

2、若窝沟封闭剂欠密合或脱落,使封闭失败,而暴露的窝沟可能再次发生龋坏。因而,窝沟封闭之后进行定期复查是十分重要的,窝沟封闭后6个月应进行复查,以后每年复查一次。若有脱落,则需要重新封闭。
3、窝沟封闭能很好地降低咬合面的龋坏机会,但对邻面龋坏无明显预防效果,因此,窝沟封闭并非给牙齿上了万全的保险,仍需认真刷牙,不能忽视这一最基本的防龋措施。

宝宝牙不好,除了本身父母不重视,还有就是父母根本不知道牙病是一种病,不知道病因病果,不知道如何采取防护措施,所以放任宝宝的牙齿病情不断恶化。提醒看到此文的爸妈:牙病亦是病,为了宝宝的健康需谨慎对待!