勃起功能障碍( ED) 是一种常见的男性疾病,主要与丁丁的血供、精神、神经、内分泌等因素异常有关。
由阴部内动脉发出的分支———YJ动脉是供应丁丁海绵体的重要血管,其病变或异常是导致 ED的主要原因之一。
CT血管成像作为一种无创检查,能够作为数字血管造影(DSA)的有效补充,初步判断血管解剖结构异常、血管狭窄、外伤等。
为临床诊断、手术方案制定提供便利。以下为阴部内动脉CT血管成像MIP、VR图。仅供交流。

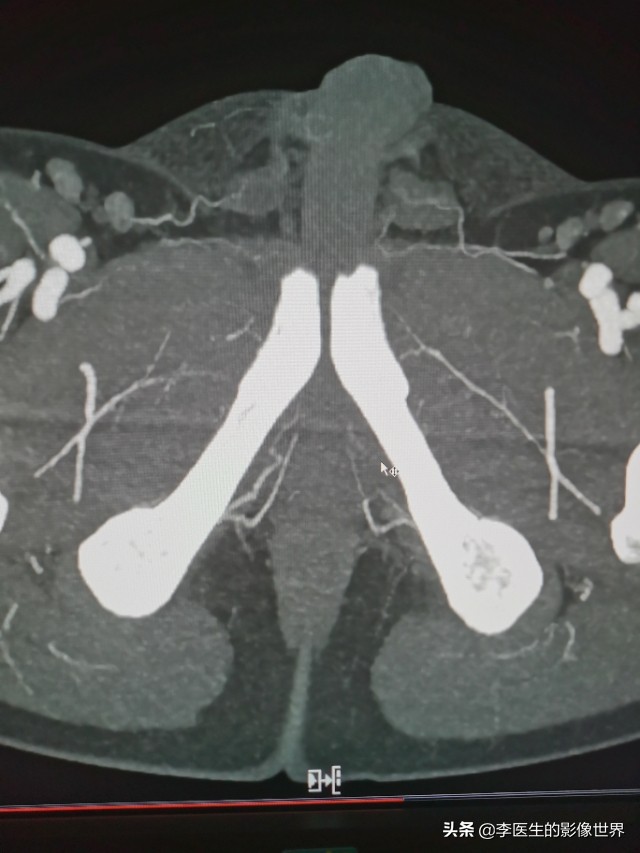
右侧阴部内动脉显示清晰,分出YJ动脉、会阴动脉。

右侧阴部内动脉显示清晰,分出YJ动脉、会阴动脉

鼠标所指左侧YJ动脉狭窄、显示不清。

鼠标所指左侧YJ动脉狭窄、显示不清。

冠状位VR显示

台湾王宗道相关研究
糖尿病、高血压多累及双侧的阴部内动脉及分支,表现为阴部内动脉中、远段不同程度的狭窄或闭塞,导致供应组织、器官( 特别是丁丁) 的供血不足,骨盆外伤的骨折片或软组织肿胀及瘢痕直接压迫阴部内动脉引起局部的狭窄,也可致丁丁的供血不足或缺血而出现相应的 ED 表现。
另外,有研究表明血管狭窄所致ED可做为多种疾病预测因素,如冠心病、心肌梗死、心脏骤停、高血压、高血脂等,其与上述多种疾病具有密切相关性。
另因读者留言关心治疗方法,请咨询泌尿生殖科专科医生,由专科医生详细了解病情后,结合相关检查(如超声、本文所写下腹部CTA、DSA等),判断可能的病因,是外伤导致?盆腔肿瘤压迫?高血压高血脂所致动脉硬化狭窄闭塞?精神心理因素?然后采用相应的治疗方法,如药物、手术等。切不可在病情还没了解清楚之前就相信什么秘方、神药之类,也不能自己乱吃药,以免耽误病情!
参考文献:兰永树,等. 阴部内动脉的多层螺旋 CT 血管造影成像及价值. 中华男科学杂志National Journal of Andrology Zhonghua Nan Ke Xue Za Zhi,2012,18( 4) : 296 - 301.
这里是李医生的影像世界。
欢迎交流、点赞、互粉!