【编者按】健康所系,性命相托;对重危患者来说,抢救生命,分秒必争! 此次“生死营救”,医院各相关科室反应迅速、衔接有序、配合娴熟,在极短的时间内组建了强大的医疗救护体系;多学科团队全力以赴、精诚合作,成功挽救了患者生命;这充分体现了平邑县人民医院抢救创伤急危重症患者的综合技术实力,彰显了医院多学科联合救治齐心协力的团队精神和医护人员“敬佑生命、救死扶伤、甘于奉献、大爱无疆”的崇高职业素养。
近日,平邑县人民医院成功救治一例颅脑、胸部、腹部多发严重外伤患者,经过多科联合手术治疗,病人恢复良好已出院。
患者青年女性,20岁,因交通事故伤由120接诊入平邑县人民医院创伤中心并收住急诊重症监护室。入院后完善相关检查发现患者存在颅脑、胸部、腹部多发伤。因创伤及腹部出血已出现创伤性休克及失血性休克表现,医院通过创伤绿色通道紧急启动创伤救治预案,输血科、检验科、影像科、胃肠外科、神经外科、胸外科、手术室等相关科室人员紧急到位进行相关检查并进行急症手术。

腹部彩超示大量腹腔积血
腹部损伤由胃肠外科紧急剖腹探查发现患者存在结肠破裂、肠系膜损伤、肠系膜血管损伤致腹腔大出血,术中清除腹腔血肿并行结肠破裂修补,肠系膜损伤修补、肠系膜血管损伤缝合修补术。

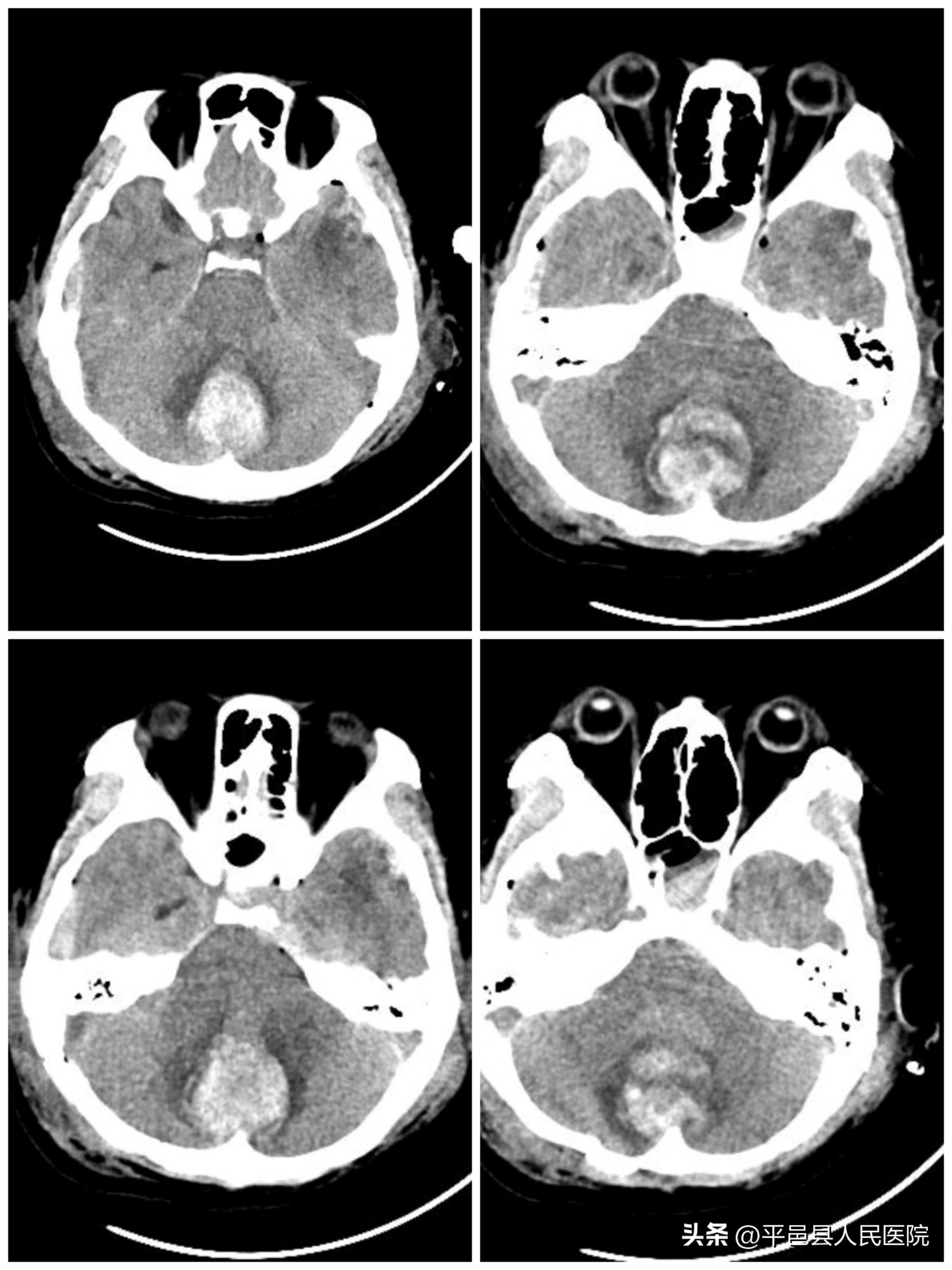
小脑挫裂伤并脑内血肿压迫脑干

枕骨粉碎性骨折累及枕骨大孔
随后多发性小脑挫裂伤、小脑血肿、枕骨凹陷、粉碎性骨折由神经外科二病区紧急行小脑血肿清除、枕骨粉碎骨折清除减压手术,同时给予输血、补液纠正休克,手术顺利完成。术后转入神经外科二病区继续治疗额颞叶多发大脑挫裂伤、硬脑膜下血肿、硬膜外血肿。

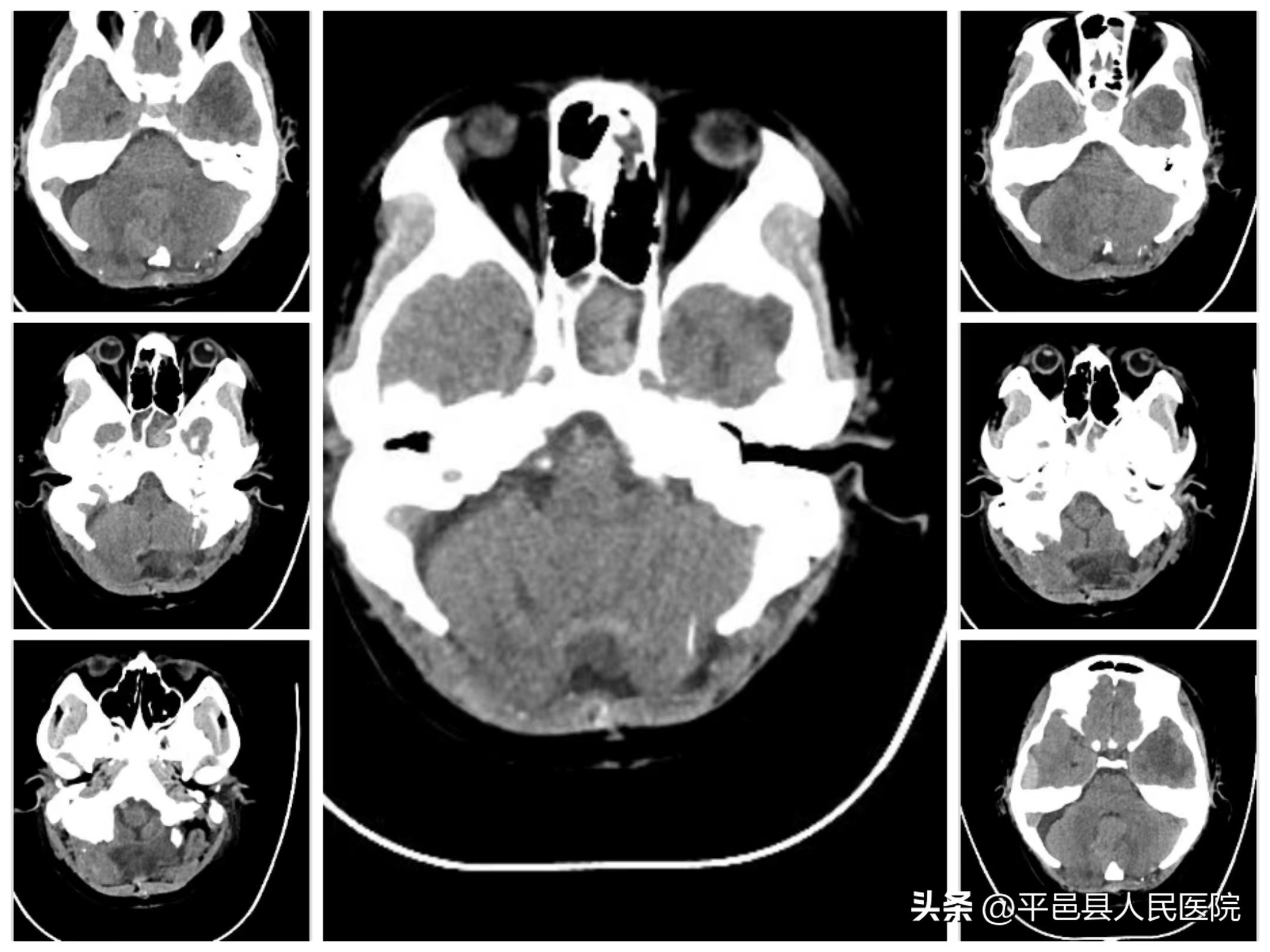
术后颅脑CT示血肿清除
这是一场惊心动魄的抢救,无论是谁,都像是在经历一场战斗,大家全力以赴,与死神抢时间,当看到病人抢救回来,一个个都如释重负,同时那一份医者的职业自豪感和对生命的崇敬也会在每个人的心中激荡。

粘连性小肠梗阻空肠管置入减压
因患者术后昏迷卧床,住院1月后患者出现粘连性小肠梗阻,再次经胃肠外科、放射介入科会诊后由放射介入科行小肠梗阻空肠管置入减压术,小肠梗阻得以治愈。患者病情稳定后经高压氧治疗及康复功能锻炼治疗后逐渐康复,出院时仅存行走时轻度步态不稳的小脑损伤后遗症。
患者入院病情十分凶险,因创伤性休克及失血性休克,很可能出现多器官功能衰竭,稍迟一点或处理不当,都可能会导致患者死亡。对于此类患者的成功抢救需要正确把握手术时机、娴熟的技术和各专科团队高度的责任心紧密配合才能顺利完成!”本例患者的成功救治,充分体现了平邑县人民医院作为市级创伤中心的综合救治能力。