“背痛”在日常生活中很常见 ,有些人到医院做了好几次手法治疗后发现,疗效只维持了几天,然后背又开始痛了起来,心想着治疗根本没有效果呀!
这是因为大家做治疗的重点放错了,当出现背部疼痛的症状时,尤其是 上背部及肩胛内缘 为主的疼痛,不要忘了一条重要的肌肉—— 斜角肌 。

一位42岁的男士,2周前因背部疼痛不适来到龙脊康就诊,主诉自己近2周低头伏案工作后出现了 背部的疼痛 不适,及 上背部及右侧肩胛内缘疼痛 为主,无活动受限,无胸闷心慌,做背部推拿治疗,症状改善得不明显。
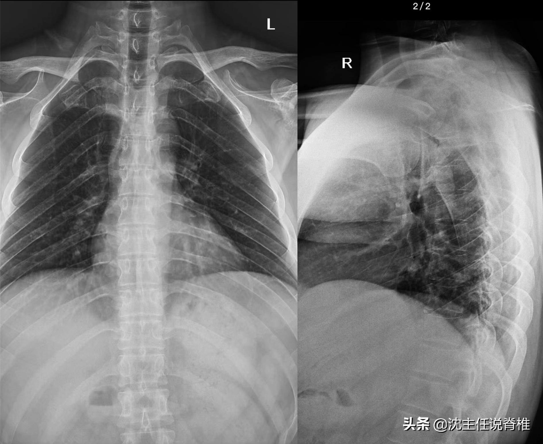
体格检查:右侧前中斜角肌紧张压痛,胸椎T4-5右压痛。胸椎X光检查:胸椎生理曲度存在,胸椎小关节不稳。

该患者于门诊检查治疗时,按压右侧的前外侧颈部肌肉时,可 诱发背部 症状,因此我们重点 处理了右侧斜角肌 后,背部疼痛症状明显改善。
原来“斜角肌”和“背痛”也有关系!
其实在我们上背部疼痛的处理中,常常会忽略 斜角肌的激痛点 ,斜角肌激发的上背部疼痛常被错认为是 背部菱形肌 引起的。

激痛点是一个 高度易激惹点 ,为紧绷的骨骼肌筋膜内可触摸到的结节。直接的压力或肌肉收缩可诱发出Jump体征(患者感到剧烈疼痛),局部疼痛,局部抽动以及牵涉痛。该牵涉痛通常以 某种疼痛模式出现在激痛点的远处 。
斜角肌位于颈部侧面,起自颈椎横突,纤维斜向外下,分别止于第一、第二肋骨,是深层肌肉,是上肢神经支配和营养的咽喉地带,其紧张僵硬容易 压迫神经 ,引起 手臂麻木,颈肩背部疼痛 等症状。对于一些长时间保持 一个姿势伏案工作、头前倾 的人,都容易引发斜角肌的问题。

斜角肌的激痛点通常表现在:
1、胸前区上方。
2、肩胛骨内侧缘。
3、肩外侧→上臂后侧/外侧→前臂后侧/外侧→大拇指/食指。

因此,若出现了上背部疼痛,尤其沿着肩胛骨的边缘、单侧肩胛区,要注意检查斜角肌, 斜角肌也是这类背痛的重要原因之一。
#家庭健康守护官#@头条健康@头条健康情报局