老王今天又来“叨扰”杨大夫了?究竟是什么事,让好久没见的老王重出江湖呢?原来是老王的宝贝大孙子前几天在幼儿园和几个小朋友一起玩耍,不知道怎么的就被另外一个小朋友推了一下,当时就跌倒了,擦破了点皮,老王当时没在意,可是晚上回到家,宝贝孙子一直嚷着手臂疼,连吃饭都不能自己吃了。老王开始还以为是小孩子撒娇,没在意。可是一连三天孩子都不愿动手,连买了他最爱吃的曲奇饼干,孩子也不愿意用疼的那只手拿,老王觉得不对劲,这就带着孩子来找杨大夫了。
我让技术员给拍了片子,桡骨骨折!而且是典型的青枝骨折。

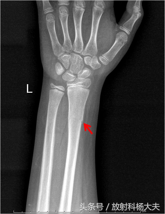
这是一个11岁孩子的青枝骨折。红箭所示的地方翘起来一点,就是骨折的部位。

老年人的骨折,骨质断裂,成角
骨折?听到这个词,老王当时就懵了,骨折不是要那种血肉模糊的情景下才会发生吗?我大孙子不过就是跌了一跤,至于到骨折的程度吗?
其实骨折并不都是我们想象的那样,皮开肉绽、森森白骨露在外面,这种骨折我们称为开放性骨折,一般需要很大的*力暴**,经常发生于车祸现场等。医学上的骨折是指只要外力足以使骨质的正常连续性中断, 失去支架的作用, 比如不能负重, 不能迈步了, 就是骨折。因此,读者们千万不要只看着表皮没有破就以为没事了, 应立即到医院诊治,照个X片,一般可发现。
老王的大孙子桡骨远段骨皮质有翘起,而并没有完全的骨质中断。我们称这种骨折为青枝骨折,因为没有明显的骨折线,骨折端也没有移位,有时候甚至仅仅表现为局部骨皮质的皱褶。因此这类骨折很容易漏诊。形成这种现象的原因在于儿童的骨骼中含有较多的有机物,外面包裹的骨外膜由特别的厚,因此在力学上就具有很好的弹性和韧性,不容易折断,遭受*力暴**发生骨折就会出现与植物青枝一样折而不断的情况。就好像植物的青嫩枝条,撅一下可听到里边折断的声音, 但是还连着一样。青枝骨折时,骨骼虽“折”却仍然未“断”,因而一般都属于稳定骨折,治疗起来也相对简单,通常是不需要手术治疗的,只要用石膏外固定治疗都有很好的效果。

老王听了杨大夫的解释,明白不是所有骑白马的都是王子,也不是所有的骨折都要皮开肉绽,血肉模糊。小孩子的骨折,更有特殊之处,那就是像新鲜树枝一样的青枝骨折。