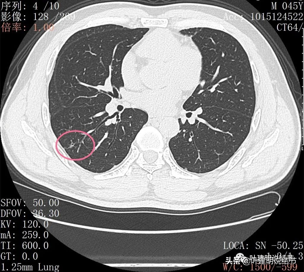
丽水的某A,今年45岁,男性。几个月前检查发现右肺下叶磨玻璃病灶,在当地医院检出后,某市医院胸外科专家看过后考虑恶性可能性大,建议其手术。但他听朋友介绍于2022年2月份来我门诊就诊,予以查了胸部CT平扫加右下叶靶扫描。我们先来看他当时的影像:
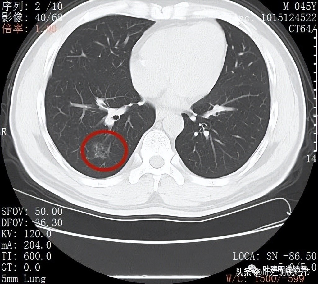
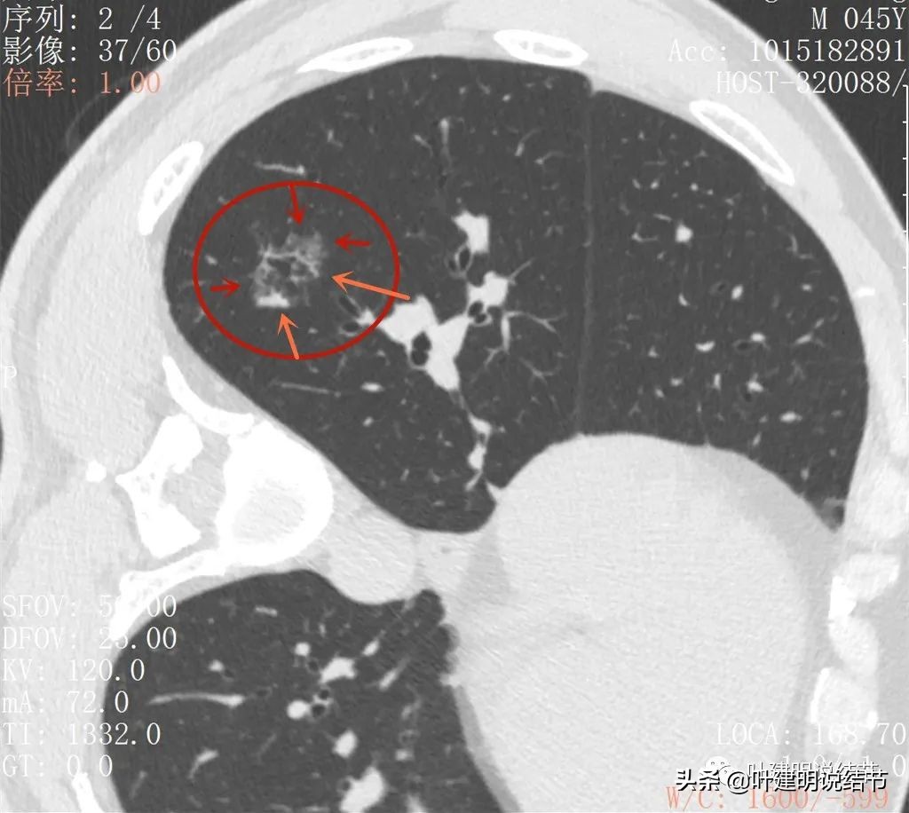
2022年2月平扫:

右下叶淡而散在的磨玻璃影

整体轮廓有点清楚,似见血管走行于病灶处

密度略不均
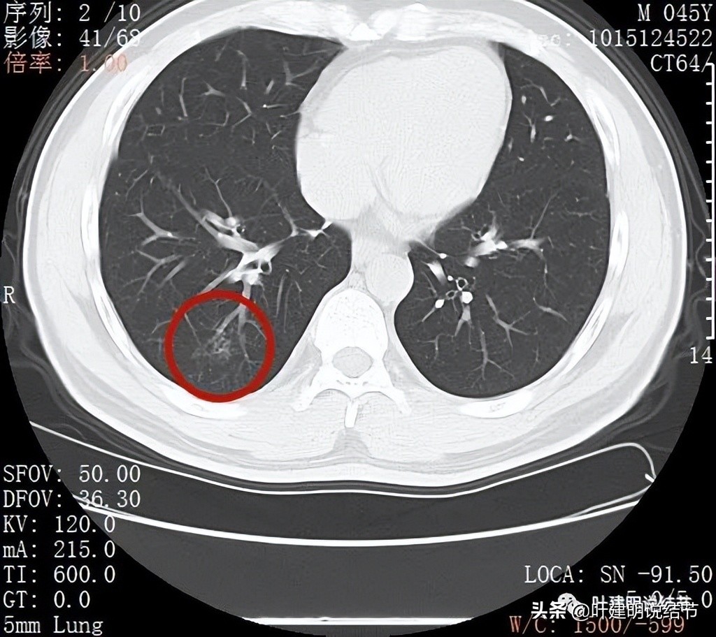
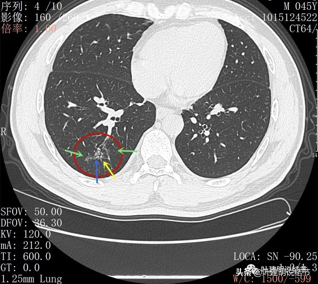
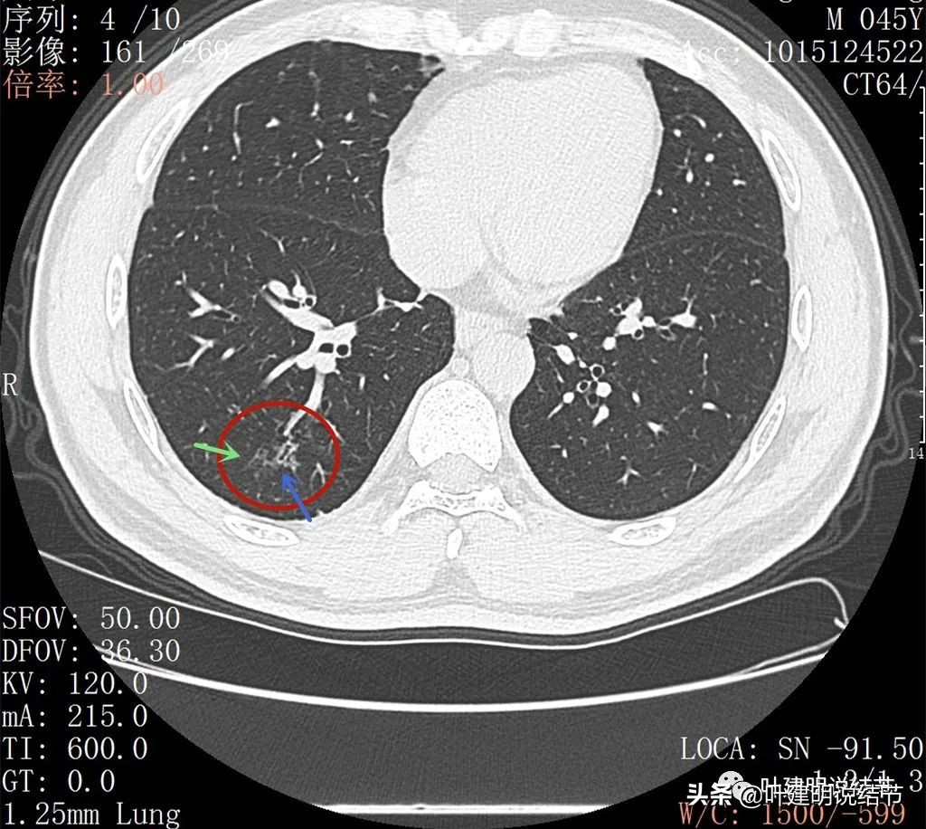
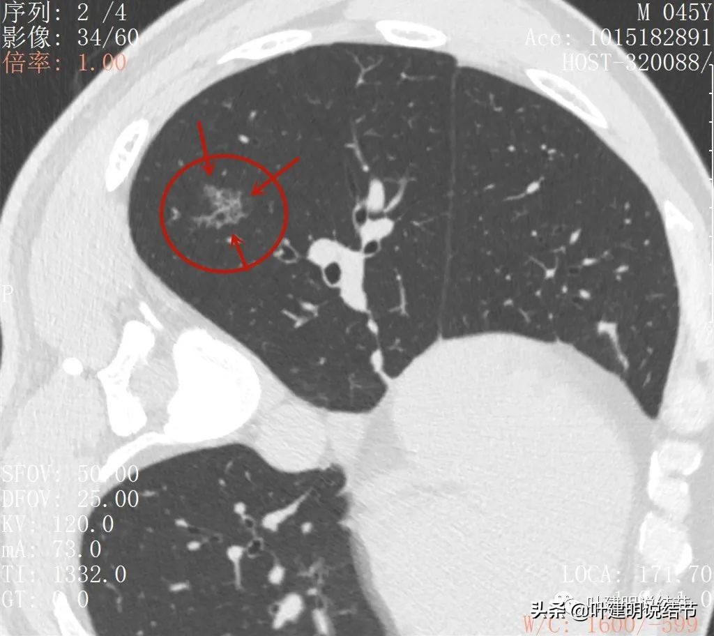
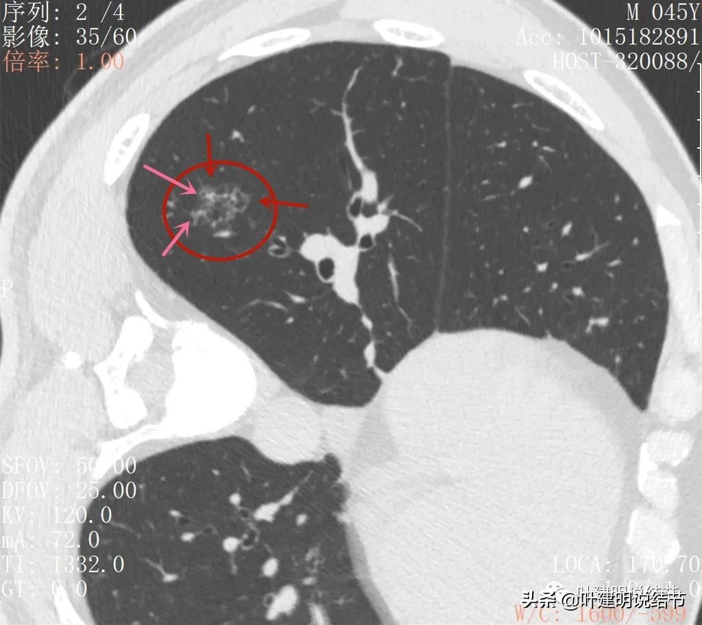
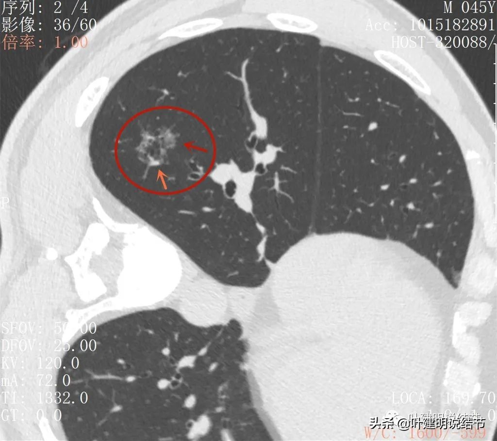
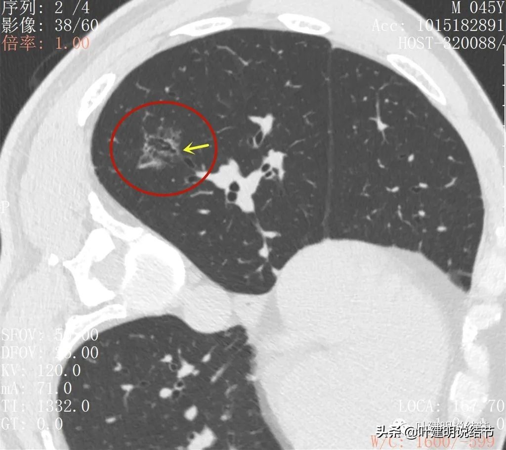
再来看薄层扫描:

病灶感觉很散在,但内部有扩张的细支气管(黄色箭头)、边缘略显不清(绿色箭头),部分有偏实性(粉色箭头)。

边缘血管异常增粗(桔色箭头),边缘显糊(绿色箭头),细支气管扩张(黄色箭头)

病灶似乎非圆形或类圆形,扩张的细支气管壁密度偏高(蓝色箭头),感觉比较僵硬(黄色箭头),病灶轮廓显模糊(黄色箭头)

扩张细支气管壁密度较高,病灶轮廓显糊

病灶边缘部分

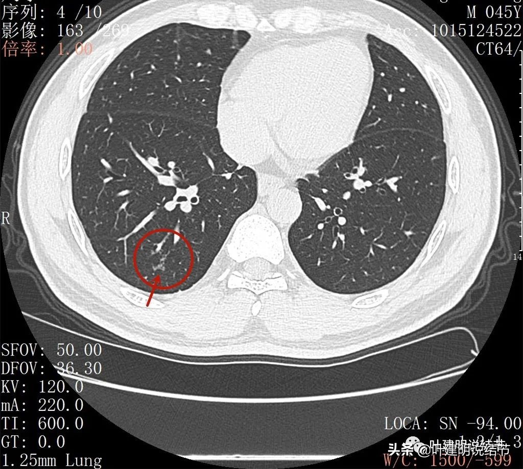
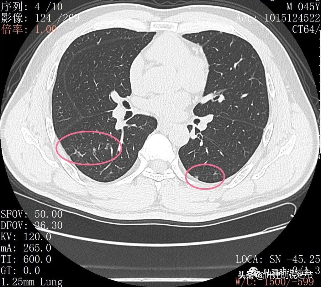
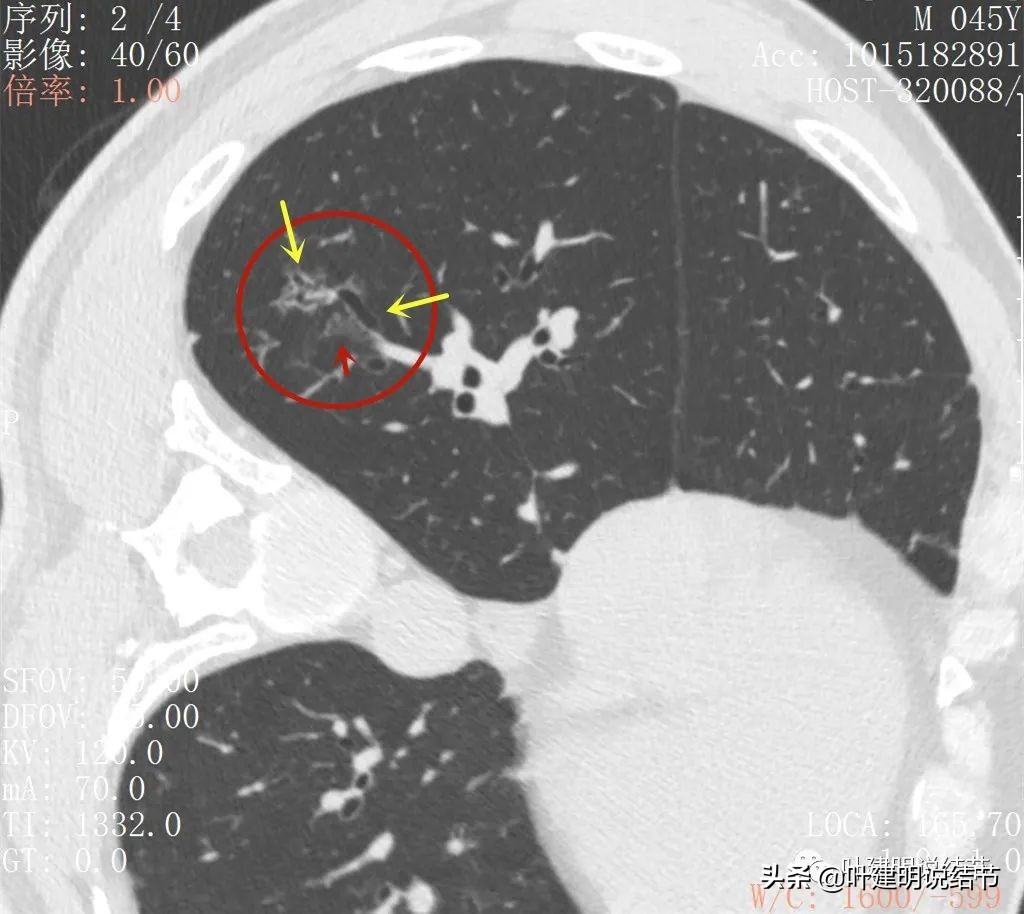
右下叶背段有散在斑点状病灶,形态类似,但较主病灶小得多;左侧也有小结节状。

邻近病灶的下叶背段处也有形态类似的病变
因靶扫描与后来复查的变化不明显,后文展示2022年5月份的靶扫描图像。
影像初印象:
这样的病灶虽然基本上仍算磨玻璃密度,但中间有过多空泡(扩张的细支气管),且管壁显得僵硬,慢性炎可能性大些,不能完全排除恶性,但若恶性,感觉有形成分不太够一点。况且余肺也有异常病灶,只是较主病灶小得多而已,所以当时我认为考虑慢性炎可能性大,肿瘤待排,建议3-4个月后复查靶扫描后再定。
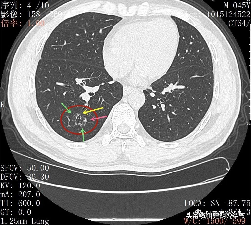
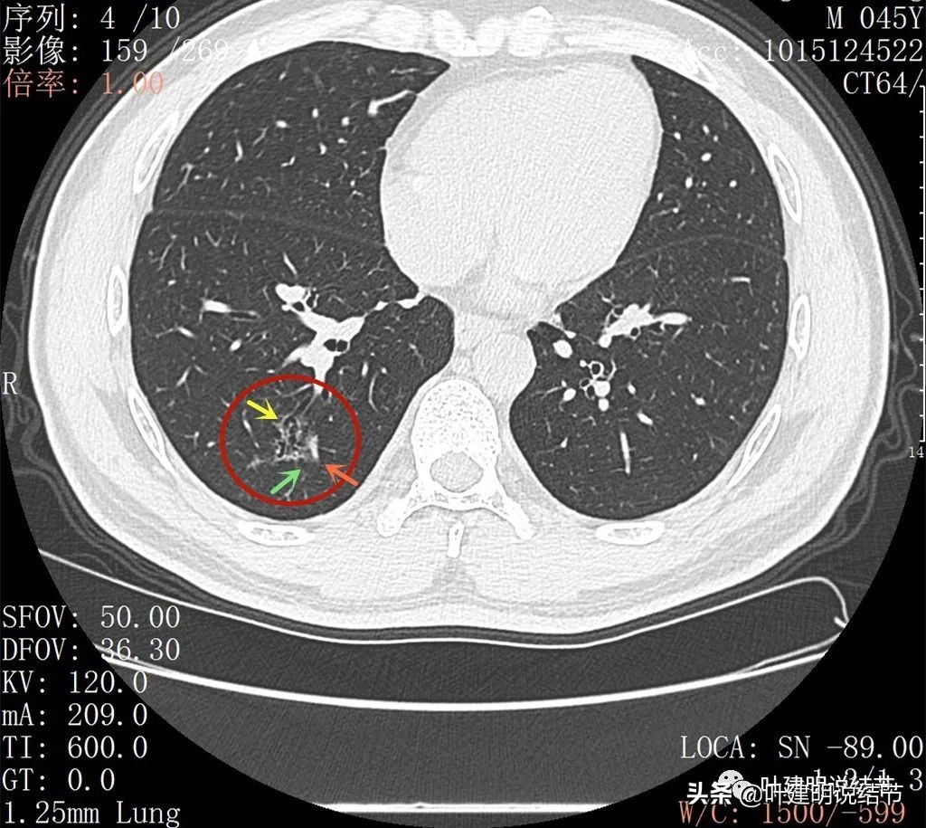
2022年5月复查靶扫描的图像:

病灶出现,磨玻璃密度,非圆形或类圆形,感觉比较散

病灶虽然不密,但轮廓较清,磨玻璃成分明显,感觉偏向恶性

病灶有少许实性成分(粉色箭头)

病灶似有血管进入(桔色箭头),而且血管异常增粗,整体病灶轮廓较清,似有分叶,中间有空泡征呈蜂窝状

病灶内部见血管穿行,轮廓与瘤肺边界清楚

扩张的细支气管感觉较为僵硬

少许区域有密度较高的部分,扩张细支气管明显,且显僵硬

病灶较散在

病灶形态不规则,不是圆形或类圆形

此层见病灶边缘显糊

病灶显模糊,感觉过于散在了些

病灶形散,密度低
影像再考虑:
这样的靶扫描影像,感觉较平扫与薄层扫描来看恶性的可能性有所加大,但不太符合的一是整体看上去没有聚拢性,过于散了点;二是有形成分相对偏少,细支气管扩张的区域较大;三是虽有些层面瘤肺边界与轮廓清,但也有的层面显糊,不太像一般磨玻璃为表现肺癌的样子。但要除外恶性是万万不能的。所以我当时考虑6成的可能是恶性,4成可能是良性。可是如果真恶性,这样的病灶有血管穿行也有病灶边缘区域异常增粗血管,长径超过2厘米,已经随访过3个多月了,口服抗炎没有吸收好转(慢性炎抗炎一般不会有用)。是存在一定风险的。所以再请影像科同事进行了图像后处理重建。
后处理影像:

病灶不规则形,中间多空泡状结构,轮廓较清

似有棘突或少许毛刺样(紫色箭头),边缘血管异常增粗(桔色箭头)

病灶有偏实性成分(粉色箭头),有扩张的细支气管(黄色箭头),轮廓较清(红色箭头),有血管穿行与血管进入(桔色箭头)

病灶有血管进入(桔色箭头),有分叶(砖色箭头),整体轮廓清(红色箭头),支气管扩张明显(黄色箭头)

血管征明显,从不同角度与方向进入,并在病灶内增粗

扩张的细支气管较为僵硬,病灶整体轮廓清,磨玻璃成分明显

病灶内部血管联通以及偏高密度成分,血管进入并分支

上图这个层面非常不舒服:病灶多处血管进入,并图像下方这个区域是较粗血管穿过病灶区域,而且有血管被病灶侵蚀的感觉,分支发出进入病灶后也未见穿出;管壁也不平整;病灶整体轮廓很清楚,瘤肺边界也清;病灶内部密度不均杂乱;有分叶与毛刺样征。感觉是较为典型的恶性影像。

上图也是多处血管进入,整体轮廓清,内部密度不均。唯一不是很符合恶性的是病灶密度不够密实,显得有点散

到这个层面是更为典型的恶性影像特征:病灶表面分叶不平整(砖色箭头);多支血管进入(桔色箭头);病灶轮廓很清(红色箭头)。而且磨玻璃成分明显,密度杂乱不均,内部有偏实性密度。

三维重建看病灶整体还是类圆形的,只是有的方向延伸出去而已,与血管关系密切。
影像终判断:
我找出以前收集的所有良性与恶性的蜂窝状病灶,没有找到与这个一样的。虽然这个病灶在平扫与薄层扫描上有一些不符合恶性的影像表现,但在靶扫描细节上显示更倾向恶性,特别是生处理重建后多个层面是典型的恶性表现。
临床决策:
我与结友沟通:我认为经过靶扫描后处理图像的仔细阅读,恶性可能性从原来认为的6成提高到8成;目前病灶大于2厘米,随访无好转,两次靶扫描对比磨玻璃的有形成分范围似略有增加;继续随访也是可以的,但不太放心,因为病灶较大,有偏高密度成分,血管有异常增粗。建议手术干预为宜。手术方案有二:1、先定位后楔形切除。但是是大的楔形切除,术中送快速切片,如果良性结束手术,如果恶性前面的切割缝合器浪费(要使用进口的,大概4个钉匣左右,约8000块钱),继续将下叶切除并清扫淋巴结;2、因为病灶位置较深,恶性可能性较大,也可考虑直接肺叶切除。但若最后良性,略显可惜。
最后结果:
患者选择先楔形切除。我们为其术前定位后用强生切割闭合器楔形切除,切下标本见病灶质地较硬,切面灰白,肉眼看与肿瘤也较为符合,但仍是整体显得略散了点。

病理示:细支气管增生伴纤维组织增生及慢性炎细胞反应。
感悟:
肺结节的影像我们仔细再仔细分析,也按常规进行了随访,感觉也具有诸多恶性的影像特征,只是有的层面感觉不太符合;肉眼也是像恶性的,只是不是十分吻合而已。但病理的结果就真的不是恶性。有没有影像上能总结的经验?我想是有的,病灶整体过于散在,不够密实,确实是不是太像。但因为有些层面过于符合恶性,真的无法排除恶性。若从我们一直强调的风险大小来决定是否手术干预来说,这个病灶是需要处理干预的。好在,患者选择先楔切,从而避免了肺叶切除。当然,这个病例更重要的一点经验也是: 肺叶切除要慎重,没有病理依据前,尽量别过于武断直接切肺叶!

(此处已添加医疗卡片,请到*今条头日**客户端查看)