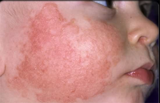
湿疹是一种常见的过敏性炎症性皮肤病。以剧烈瘙痒、反复发作、易演变成慢性为特征,可发生于任何年龄,任何部位,任何季节,但常在冬季复发或加剧。婴儿湿疹最早见于2-3个月婴儿,大多发生在面颊、额部、眉间和头部,严重时全身也有。初期为红斑,后转为小点状丘疹、疱疹,很痒,疱疹破损,渗出液流出,干后形成痂皮。湿疹有时为干燥型,即在小丘疹上有少量灰白色糠皮带脱屑。

湿疹性皮炎治疗方法:
1、 先要观察是不是食物过敏导致的,特别是牛奶、母乳或鸡蛋等过敏。
2、 喂奶期间母亲不能吃鱼、虾、蟹、鸡等,因为母亲吃了会通过母乳传递给婴儿。
3、 经常帮宝宝修剪指甲,睡觉的时候最好给宝宝带上手套防治抓破,少给宝宝洗澡,尽量让宝宝接触到良好的空气,以便增加宝宝免疫力。
4、 拒绝过敏源,远离潮湿,对宝宝消除湿疹性皮炎有帮助。
5、 可以用湿宁膏完全针对湿疹之发病机理而对症用药,对于各种湿疹之症均可直接涂抹于患处而强效修复皮损肌肤,用药方法简单,安全便捷,快速显效

食疗方法:
1、 薏米红豆煎:薏米30克,红小豆15克,加水同煮至豆烂,酌加白糖,早晚分服。
2、 马齿苋煎:鲜马齿苋30~60克,水煎,每日分数次服用,并可配合外洗。
3、 冬瓜汤:带皮冬瓜250克,切块,煮汤食用。
4、 黄瓜煎:黄瓜皮30克,加水煎煮沸3分钟,加糖适量,1日3次,分服。
5、 绿豆海带粥:绿豆30克,水发海带50克,红糖适量,糯米适量。水煮绿豆、糯米成粥,调入切碎的海带末,再煮3分钟加入红糖即可。

如何预防湿疹性皮炎:
1、尽量少用肥皂,不用碱性大的肥皂。除用适用婴儿的擦脸油外,不用任何化妆品;
2、宝宝不穿化纤、羊毛衣服,以柔软浅色的棉布为宜,衣服要宽松,不要穿盖过多;
3、为避免抓破皮肤发生感染,可用软布松松包裹双手,但要勤观察,防止线头缠绕手指;
4、头皮和眉毛等部位结成的痂皮,可涂消过毒的食用油,第二天再轻轻擦洗;
5、母乳喂养的,母亲应避免进食这类容易引起过敏的食物;
6、宝宝要避免碱性肥皂、化妆品或者香水等物的刺激;
7、在湿疹发作时,不作预防接种,以免发生不良反应;
8、要避免与单纯疱疹(俗称“热疮”)的患者接触,以免发生疱疹性湿疹。