对这个多囊肾不熟悉的朋友听到这个名字以为就是普通的肾囊肿,或者有多个囊的肾囊肿,并不是什么不治之症。其实这是一种和遗传密切相关的疾病,多囊肾的确不是癌症,但是它的可怕之处在于这个病却不能根治,指能眼睁睁的看着它腐蚀着患者的肾功能,最终会变成尿毒症,依靠透析才能维持生命。

我在临床上差不多每个月都能遇到一个多囊肾的患者,来了主要就是做穿刺抽液,减轻囊肿对肾的压迫,每次做完都会好一段时间,然后过一段时间会再来医院。我个人感觉这个病的发病率要比统计出来的发病率要高一些,今天就和大家聊聊多囊肾的一些危害和治疗办法。
多囊肾的病因
简单来说多囊肾是一种遗传病,也就是和基因有关,具体来说病因病因比较复杂,目前并没有晚期搞清楚。我遇到的多囊肾患者,问他们家族史的时候,基本上都是父母其中一个是多囊肾,再问细一点,爷爷辈的也有多囊肾。

多囊肾的危害:
多囊肾主要的危害就是晚期肾功能的丧失,在这个过程中会产生各种相关病变,并且有一半的多囊肾的患者会合并多囊肝。多囊肾虽然是遗传病,但是并不是一出生就会出现,很多人到了中年才出现,出现越早,病情越严重。
1、肾囊肿压迫肾实质,导致肾功能减退。多囊肾和普通肾囊肿不同的就是多囊肾会一直不停的生长,这样就会对肾实质造成压迫,对肾功能产生影响。如果治疗且护理的较好,大多数人在70岁还能保证肾功能的使用,如果不治疗或者高血压、糖尿病控制不佳就会加速肾功能减退的速度。

2、高血压。在肾功能出现明显的异常之前,就会有50%的患者出现高血压的表现。我们都知道肾性高血压,原理是一样的,主要与肾受压激活肾素-血管紧张素-醛固酮系统有关,醛固酮的主要作用就是保钠保水排钾,因此血压会升高。高血压的危害不用多说,长期血压控制不佳就会增加各种心、脑血管意外等风险。
3、疼痛、血尿、感染等症状。我接诊的多囊肾患者中有些是体检的时候发现的,没有任何症状,但是有些是因为发热、疼痛入院的。发热其实就是因为囊肿或者泌尿系感染所致,细菌或毒素扩散到全身就会出现发热。疼痛往往是因为压迫和感染,也有一些是因为并发了结石或者血块梗阻所致。这类症状虽然不致命,但是对生活质量会造成影响。
多囊肾的诊断
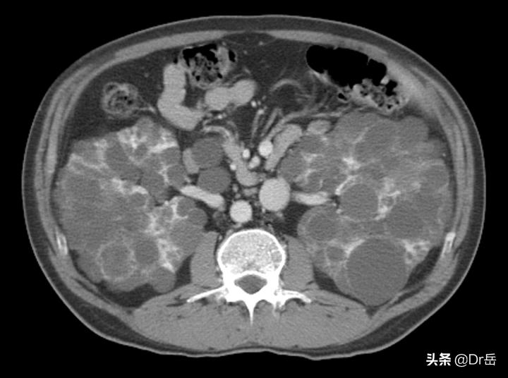
多囊肾最直接的诊断就是影像学,做个肾彩超、CT一目了然。有一半的患者合并有多囊肝,影像学也是能够发现的。前面提过多囊肾虽然是遗产病,但是发病是在中青年,也是就是说如果父母有多囊肾的,一定让孩子定期检查彩超,做到早发现,为治疗做准备。

多囊肾的治疗
多囊肾虽然最终会发生尿毒症,但是如果治疗的恰当,会大大延长这个时间,现在平均寿命将近80岁,如果能够延长到80岁以后也是可以接受的。多囊肾的治疗思路就是尽量减少囊肿对肾实质的压迫,控制相关并发症,如高血压以及感染等。
1、控制高血压、感染以及出血等并发症。很多多囊肾患者高血压出现较早,因此控制血压是多囊肾内很重要的一项。血压高会对肾血管造成伤害,会加速肾功能衰竭。多囊肾进展到一定程度以后会出现破溃出血,进一步造成感染,如果不及时治疗会有生命危险。
2、肾囊肿外科治疗。如果囊肿较小可以先观察,定期随诊,随着囊肿的增大就需要外科处理了,主要两种方式:一是超声下肾囊肿穿刺抽液,二是腹腔镜下肾囊肿去顶减压术。这两种治疗各有优劣,穿刺简单一些,而且创伤小,术后恢复较快,但是有些囊肿的位置并不是很好穿刺;腹腔镜创伤稍微大一点,但是治疗效果更好。
#健康真相馆# #清风计划#