又到了秋风起蟹脚痒的时候,很多人已经在摩拳擦掌等待大闸蟹上市了,但要注意的是,螃蟹这个美味,吃不对,那可是要肺里、脑子里长虫子的,重则一辈子留下后遗症!

仙居4小伙生吃螃蟹
全部中招
近日,28岁的仙居小伙子骆某(化名)带着自己的好兄弟张某(化名)找到浙江大学医学院附属第一医院感染病科副主任、中华医学会寄生虫病诊治学组组长黄建荣主任医师,主动说他俩很有可能得了肺吸虫病。
原来,不久前,骆某与张某其他三个儿时就玩在一块的朋友相约周末郊游仙居,四人见到一溪滩,就想重温儿时时光,纷纷下到小溪里一起打闹,到处翻石头抓小螃蟹。抓了七八只螃蟹后,其中一个小伙突然提议,这里溪水清澈,没有污染,这些小螃蟹肯定鲜得很,于是四个人坐在溪边,把螃蟹分了,扯掉螃蟹脚和螃蟹壳生吃了下去,“果真鲜嫩!”四个人吃完还意犹未尽。

没过几天,除了骆某和张某,另外两个小伙开始发热、咳嗽、肚子痛,到仙居当地医院当肠胃炎治疗了几天后还是没好转,后经寄生虫检测后为肺吸虫感染。
什么事情都没有的骆某和张某得知其他两位朋友因为拉肚子进医院还被查出有虫子,还开玩笑地说他们抵抗力真弱。结果没过几天,骆某和张某也陆续出现了反复发热、腹痛、咳嗽、拉肚子症状,有了朋友的就医经历,骆某和张某暗想自己肯定也中招了!
“去浙大一院感染病科找专家!”于是,骆某与张某两个“难兄难弟”出现在了浙大一院感染病科,并且“自招”得了肺吸虫病,于是黄建荣以怀疑寄生虫感染收治了骆某与张某。

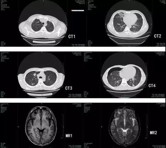
肺吸虫感染后的肺部团块影和颅内软化灶
果然,经过寄生虫检测,两人均为卫氏肺吸虫抗体阳性,均在腹部和肺部发现肺吸虫,骆某更是在脑子里发现肺吸虫囊性灶,比较严重。幸好两人发现及时,并且就医及时,经过药物治疗后康复出院,没有留下后遗症。
肺吸虫的百科全书
虫卵期:在水里
婴幼儿期(毛蚴):侵入川卷螺中发育
青少年期(囊蚴):侵入淡水蟹和蝲蛄
成年期(肺吸虫):寄生在犬、猫、猪和野生动物
肺吸虫的感染途径
其实,真正有危害的是囊蚴,就是青少年期的肺吸虫,人在进食未经煮熟的带有囊蚴的淡水蟹或蝲蛄,或食用半熟的被囊蚴感染的野生动物肉,或生饮被囊蚴污染的溪水后,囊蚴通过口感染,在胃和十二指肠内囊蚴破裂,幼虫脱出并穿过肠壁进入腹腔,穿过横膈入胸腔和肺,在肺内发育为成虫,还可寄生于多种组织器官,如脑、脊髓、胃肠道、腹腔和皮下组织等,产生相应症状,严重时会造成不可逆的后遗症。

人体寄生的肺吸虫,在国内主要有卫氏肺吸虫和斯氏肺吸虫两种。卫氏肺吸虫病分布于浙江、台湾、辽宁、吉林、黑龙江等省。斯氏肺吸虫病分布于四川、江西、云南、福建、广东、贵州、陕西等省。
感染肺吸虫的症状
肺吸虫病是以肺部病变为主的全身性疾病,临床表现复杂,症状轻重与入侵虫种、受累器官、感染程度、机体反应等多种因素有关。起病多缓慢,肺吸虫病潜伏期多在6个月左右,也可短至数日或迟至2年。
患者可有低热、咳嗽、咳烂桃样痰和血痰、乏力、盗汗、食欲不振、腹痛、腹泻或*麻疹荨**等临床表现。
按其侵犯的主要器官不同,临床上可分为4型:胸肺型、腹型、皮肤型、脑型。肺脏为卫氏肺吸虫最常寄生的部位,斯氏肺吸虫常引起皮下结节,部分有游走性。
改变生食习惯
远离肺吸虫病
看完骆某四兄弟的遭遇,很多人会暗自庆幸还好没吃过生螃蟹,但注意了!醉蟹也是生食,经过酒泡一下根本就不能杀死肺吸虫,所以吃醉蟹有感染风险。另外,还有别乱喝看似清澈的溪水,说不定被感染过,也有感染可能性。但也不要害怕,经过高温煮沸后,肺吸虫可以被完全杀死。
(来源:新浪网)