传说中,猫咪有九条命,从再高的地方摔下都不会死?事实真的如此吗?
在前面的文章中,我们借助日本网友的实验成功证明了“猫咪是液体的”。实验中的小肥猫为了从门缝中通过,可以把自己压缩到8厘米高却能毫发无损,这是因为猫咪天生关节灵活,身体柔软,而且有极强的平衡能力,在挤压的过程中能够避免关节和肌肉的损伤。

那么有人就会问了:既然猫咪这么厉害,是不是再高都摔不死呢?
那可不一定。太低或太高都很危险。
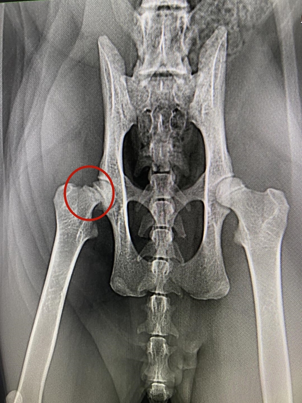
某位铲屎官在卧室玩游戏时,让猫咪独自在客厅玩耍。突然听见猫咪叫了一声,之后就再没动静了。铲屎官去客厅一看,找到了趴在角落里的猫咪,状态看起来不太好,把它放在地上观察,猫咪好像腿骨折了。铲屎官立即把猫咪送到医院去拍片,医生说右腿的腿根处有裂开,需要做手术。推测猫咪可能是从高处摔下时导致受伤。

可铲屎官无论如何也想不通猫咪是怎样受伤的,客厅里最高的地方就是一台小冰箱,但也不足一米六而已。怎么就会骨折了呢?
而另一位铲屎官,他的猫咪在七楼阳台上玩耍时不慎踩脱脚摔了下去。在草坪上找到猫咪时,它一动不动,嘴角还淌着血,低哼了两声再无动弹。送到医院抢救时,医生检查后发现猫咪不仅右后脚骨折,心脏、肝脏和膀胱还严重出血,最终因抢救无效死亡。

网上一搜,猫咪从高处坠落导致骨折甚至死亡的案例并不少。



既然猫咪有厚厚的肉垫和超强的平衡能力做加持,怎么还会受伤呢?
记住!千万别夸大了猫咪的生命力。
猫确实会靠旋转脊椎运动在空中调整姿势,保证从高处落下时四肢着陆减少伤害,但这并不意味着它会完好无损。
猫咪从高处落下之后,四肢会向外扩张。这样做可以减慢坠落的速度。

在高处坠落的时候,猫不管是头朝下、背朝下还是肚子朝下,它们都能很快意识到。

然后迅速扭转自己的身体,保持平衡,让自己最后保持四肢落地。据说,这段时间大概要2-4秒的样子,所以如果猫咪摔落的高度不够,它是来不及调整自己的姿势的,就会导致受伤。

那越高反而越安全?
当然也不是。猫咪又没有翅膀,怎么可能再高都摔不死?
高度太高的话,冲击力过大,还是会受伤。一般来说,6-7层楼的高度对猫咪来说已经非常危险了,再高了就不敢想象了。

在着地之后,猫咪的四肢骨骼、肉垫和尾巴都能起到一定的减震作用,如果高度适宜,猫咪姿势也正确,足够幸运的话,那就没事。
但是!这只是理论!无论高低,猫咪都有受伤的可能,千万不要真的以为它们摔不死。请勿迷信这种并不严谨的说法,关好门窗、装好纱窗才是防止猫咪坠楼最行之有效的办法。