【导读】本例患者27岁,9年前接受脊柱侧弯手术后,逐渐出现左侧胸壁的突起,形成不对称型的鸡胸。该畸形成了脊柱手术的“并发症”,是明显的继发性改变。此患者的病情表明,脊柱与胸廓是一个整体,二者的改变互为因果,因此在治疗的过程中,必须同时关注两个部位的畸形。

患者,男性27岁,9年前因脊柱侧弯在北京某医院接受了手术治疗。术后脊柱侧弯消失,但左侧胸壁逐渐隆起,形成不对称型鸡胸,由于无明显症状,早期没有在意,而随着时间的推移,胸廓的畸形导致心理压力巨大,渴望早日实施手术。
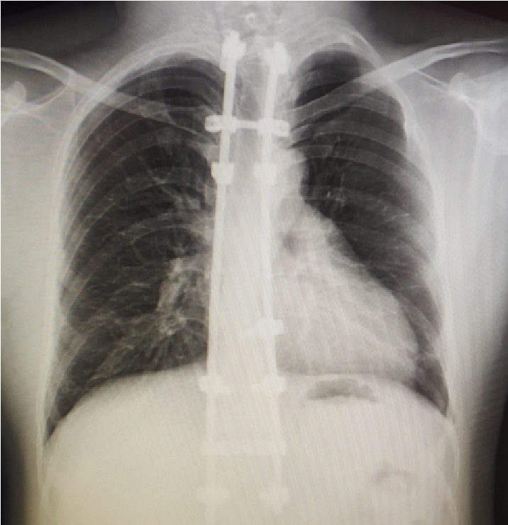
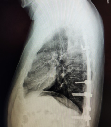
入院查体,患者左侧胸壁突起,右侧低平,呈不对称型鸡胸。背部有长约30cm长的手术疤痕。X线检查提示前胸壁双影。经充分术前准备,我们采用无管技术为患者实施了微创手术。术中使用两条钢板做塑形,手术历经30分钟完成,操作顺利,未出现并发症,术后畸形完全消失。


此患者脊柱侧弯为原发病,此前并无胸廓畸形。但脊柱的完全被矫正后,左侧前胸壁突起,说明脊柱形状的改变导致了肋骨形状的改变,因此二者出现了明显的因果关系,很显然,鸡胸成了所谓的并发症,成了明确的继发性病变。
脊柱一直被认为是胸廓的一部分,但由于历史的原因,脊柱疾病先是归属于传统的骨科,然后又与神经外科有某些牵连,两个专业都对相关疾病做过治疗,这样的架构显然不利于疾病的治疗。随着技术的进步,脊柱外科最终与骨科和神经外科脱离,成了独立的专业。这对专业的发展甚是有益。但是,从力学结构来看脊柱与周围结构的关系,联系最紧密的倒是胸部的骨骼,也就是解剖结构上的胸廓,因此胸廓畸形的出现,往往会导致脊柱的异常。
在过去的文章中,我们已经对脊柱与胸廓畸形的关系做过深入的探讨。总的来说,脊柱与胸廓是一个整体,二者结构和形态的改变互为因果,一种结构的改变必将引起另一种结构的改变。这样的关系为认识畸形的特征提供了依据,另外,从治疗的方面来看,也为更精准的治疗提供了参考。这些参考如下:
1,胸廓畸形发展到一定阶段,多会导致脊柱侧弯,因此,即便胸廓畸形不是特别严重,也要尽早完成治疗。
2,胸廓畸形矫正后,脊柱两侧受力趋于均衡,有助于消除脊柱侧弯,或者抑制侧弯加重。
3,不彻底的矫形可能加重脊柱手术的不均衡,可能诱发脊柱侧弯,或者使原有侧弯加重。
4,脊柱侧弯手术可能导致新的胸廓畸形。
5,脊柱侧弯与胸廓畸形同时存在时,需要同时考虑两种畸形的治疗问题。如果一种畸形的治疗并不能消除另外一种畸形,则需要考虑额外治疗。
(王文林,广东省第二人民医院胸壁外科主任,工作微信:wangwenlindaifu,公众号《胸廓畸形手术专家》:wangwenlinyishi )